Введение
Клинический анализ мочи — один из наиболее распространенных и простых тестов, выполняемых в клинической практике, но к потенциальным неточностям в его результатах может привести удивительно большое количество факторов. В этой небольшой статье рассказывается о некоторых часто встречающихся подводных камнях и предлагается ряд решений, позволяющих получить наиболее точные результаты.
Получение образцов мочи
Метод получения образцов мочи зависит от цели исследования. Для проведения посева мочи необходима процедура цистоцентеза, предпочтительно под контролем УЗИ (Рисунок 1), поскольку только таким образом возможно получение незагрязненного образца. В вентральную или вентролатеральную стенку мочевого пузыря под углом 45 градусов вводят иглу; такой угол позволяет мышечным волокнам мочевого пузыря быстро закрыть отверстие после выведения иглы. Пациент должен быть неподвижен и спокоен. Как правило, его размещают в положении лежа на боку или на спине, а область, куда будет введена игла, выбривают и дезинфицируют. После вмешательства часто развивается ятрогенная микрогематурия. Цистоцентез противопоказан при пустом мочевом пузыре, пиодермии и в случае если животное отказывается лежать спокойно. Обратите внимание, что при при переходноклеточной карциноме мочевого пузыря описано метастатическое распространение опухоли по ходу иглы (1).
Спонтанное мочеиспускание (Рисунок 2) — наименее травматичный способ получения мочи, хотя собрать мочу таким образом не всегда просто (например, у собак мелких размеров) или даже невозможно (у кошек). Следует проводить анализ только тех образцов, которые были собраны в специальные стерильные контейнеры. Результаты исследования с применением тест-полосок могут меняться из-за реакции с остатками моющих и дезинфицирующих средств, используемых для контейнеров и туалетных лотков.
Образец, полученный при спонтанном мочеиспускании, обычно позволяет провести «стандартное» исследование мочи (т. е. первичный скрининг), хотя может оказаться загрязненным секретом простаты, спермой или тканевым детритом из уретры и крайней плоти. Если помнить об этом, то определение протеинурии и соотношения белка и креатинина в моче (UPC) с помощью тест-полосок можно считать не зависящим от метода сбора мочи, что позволяет по данным такого анализа диагностировать и контролировать течение нефропатии с потерей белка. Кроме того, у кошек UPC не зависит от метода сбора образцов мочи (например, цистоцентеза или ручной компрессии мочевого пузыря).
Протеинурия
Первоначальная оценка протеинурии может проводиться при помощи тест-полоски (Рисунок 3). Пластинка для определения белка пропитана индикаторами (например, тетрабромофенолом синим), взаимодействующими с аминовыми группами белков мочи; при этом взаимодействии цвет полоски изменяется (с желтого до зеленого, а затем – синего), что позволяет численно оценить степень протеинурии, обычно по шкале 0–4 балла. Этот метод достаточно чувствителен для обнаружения альбумина, но менее чувствителен для выявления глобулинов или белковых фракций (например, белков Бенс-Джонса), обычно содержащих меньше аминовых групп.
К ложноположительным результатам могут приводить разные факторы, в том числе щелочная рН, гемоглобинурия, пиурия или бактериурия, а также использование дезинфицирующих средств на основе четвертичного аммония или хлоргексидина при сборе мочи.
У собак интерпретация результатов, полученных при применении тест-полосок в сочетании с показателем удельного веса мочи (относительной плотности мочи, ОПМ), может указывать на необходимость оценки отношения белка и креатинина в моче (Таблица 1). При отрицательном результате, полученном при применении тест-полосок, протеинурию можно исключить, при относительной плотности мочи <1012 и значении тест-полоски 1+ у пациента диагностируют протеинурию. При значении тест-полоски 2+ протеинурию считают доказанной.
Соотношение белка и креатинина в моче (UPC)
Значения выше 0,4 у кошек и 0,5 у собак свидетельствуют о ренальной протеинурии. Однако для правильной оценки результата важно помнить о возможной изменчивости ряда биологических и аналитических показателей.
Ежедневная изменчивость
Чтобы уверенно диагностировать протеинурию, требуется измерять соотношение белка и креатинина в моче несколько дней подряд и рассчитывать среднее значение. Также UPC можно определять в объединенном образце мочи, собранной в течение трех дней подряд. Поскольку при многократном определении в течение нескольких дней UPC может значительно изменяться, два серийных образца можно считать значимо различающимися только в том случае, если разница составляет около 80% для низких значений UPC (т. е. примерно 0,5) и около 35% для высоких значений (т. е. примерно 12). Для достоверной оценки UPC при значениях UPC <4 достаточно одного измерения, но при более высоких значениях UPC необходимы 2–5 измерений (Таблица 2).
Аналитическая изменчивость
Коэффициенты вариации (CV) значения UPC составляют 10–20% при UPC = 0,2 и примерно 10% при UPC = 0,5. Такая аналитическая неточность может привести к ошибке определения субстадии заболевания, особенно при значениях, близких к пограничным, т. е. протеинурию можно ошибочно исключить при значениях UPC около 0,15–0,25 или ошибочно диагностировать при значениях UPC около 0,45–0,55 (Рисунок 4).
Лабораторные методы
Соотношение белка и креатинина в моче рассчитывают при помощи разных методов (кумасси бриллиантовый синий и пирогаллоловый красный), которые могут показывать разные результаты (в среднем разница составляет 0,1–0,2). Таким образом, для снижения изменчивости результатов исследование всегда желательно проводить в одной и той же лаборатории.
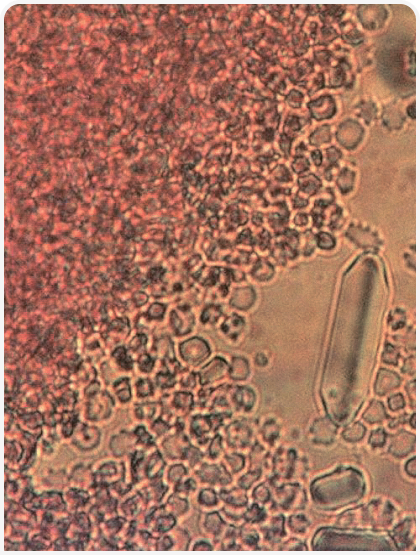
Мочевой осадок
Наличие загрязняющих веществ, например примесь крови (макроскопическая гематурия) (Рисунок 5), и/или пиурия (Рисунок 6), вызывает значительное увеличение UPC. У кошек UPC возрастает также при микрогематурии. В образцах с «активным» осадком предпочтительно не рассчитывать UPC, и в случае уролитиаза, инфекции мочевыводящих путей или идиопатического цистита кошек целесообразно определять UPC после разрешения болезни.
Пол
У интактных кобелей UPC может составлять 0,2–0,5, но после кастрации может снизиться до <0,2.
Место сбора
При сборе мочи в клинике, а не в домашних условиях, показатель UPC обычно выше.
Обработка и хранение образца
Хранение образца мочи перед проведением анализа может служить потенциальным источником ряда проблем.
Билирубин
Важно отметить, что билирубин — нестабильное соединение, которое на свету или на воздухе легко окисляется с образованием биливердина. Поэтому при использовании тест-полосок билирубинурию следует определять в течение 30 минут после сбора мочи.
«
Первоначальную оценку протеинурии можно провести с помощью тест-полоски; этот метод чувствителен для обнаружения альбумина, но менее чувствителен для выявления глобулинов или белковых фракций».
Кетоны
Исследование на наличие кетонов в моче с использованием тест-полосок может привести к ложноотрицательным результатам, в случаях если анализируемый образец находился на воздухе более двух часов, либо полоска находилась на свету или во влажной среде, или при высокой температуре воздуха, либо если моча очень кислая.
Температура
Хранение образцов в холодильнике позволяет сохранить многие химические и физические свойства мочи, но перед проведением анализа с использованием тест-полосок образец следует довести до комнатной температуры, чтобы избежать ошибок, например ингибирования реакции на глюкозу. При хранении в холодильнике также подавляется рост бактерий, но происходит осаждение оксалатов кальция и струвитных кристаллов; их количество и размеры со временем будут возрастать (Рисунок 7). Для расчета UPC образец стабилен как при комнатной температуре, так и при температуре +4°C в течение 12 часов после получения образцов; позже UPC будет постепенно увеличиваться, поэтому при долгосрочном хранении надосадок желательно заморозить, чтобы избежать искажений.
Метод
Контейнер с тест-полосками должен быть всегда плотно закрыт, перед проведением анализа следует проверить срок годности тест-полосок. Для получения точных результатов необходимо определять изменение цвета в указанный для каждого параметра период времени; при необходимости можно использовать таймер. Очень темная или концентрированная моча может влиять на цвет тест-полоски, поэтому исследование при необходимости.
-
1.Vignoli M, Rossi F, Chierici C, et al. Needle tract implantation after fine needle aspiration biopsy (FNAB) of transitional cell carcinoma of the urinary bladder and adenocarcinoma of the lung. Schweizer Archiv für Tierheilkunde 2007;149;314-318.
-
2.Zatelli A, Paltrinieri S, Nizi F, et al. Evaluation of a urine dipstick test for confirmation or exclusion of proteinuria in dogs. Am J Vet Res 2010;236(4):439.
-
3.Nabity MB, Boggess MM, Kashtan CE, et al. Day-to-day variation of the urine protein: creatinine ratio in female dogs with stable glomerular proteinuria caused by X-linked hereditary nephropathy. J Vet Intern Med 2007;21(3):425-430.
-
4.Rossi G, Giori L, Campagnola S, Zatelli A, et al. Evaluation of factors that affect analytic variability of urine protein-to-creatinine ratio determination in dogs. Am J Vet Res 2012;73:779-788.