Собака с хроническим кашлем: основы
К ветеринарным врачам общей практики часто обращаются по поводу хронического кашля у пожилых собак, причем его причинами обычно оказываются коллапс (трахеобронхомаляция) и воспалительные заболевания (хронический бронхит или лимфоцитарное воспаление) дыхательных путей. Кроме того, хронический кашель может быть связан с многократным повреждением дыхательных путей при аспирации или бронхоэктазии.
Хотя начало заболевания при инфекциях у собак часто острое, ряд микроорганизмов, такие как бордетелла и микоплазма, также могут вызывать хронические клинические проявления, сходные с наблюдаемыми при кашле другой этиологии.
К сожалению, отличительных признаков, облегчающих окончательную диагностику этих состояний, немного, и многие подобные заболевания нередко развиваются у собаки одновременно (1, 2) или друг за другом, поэтому может потребоваться расширенное диагностическое обследование, и ветеринарный врач даже при на первый взгляд очевидном диагнозе должен сохранять клиническую настороженность.
Одна из наиболее частых причин кашля и обструкции дыхательных путей у здоровой в остальном собаки — коллапс трахеи. Он характеризуется уплощением хрящевых колец в дорсовентральном направлении с удлинением дорсальной оболочки трахеи и ее выбуханием в просвет дыхательных путей. Этиология заболевания неизвестна, но у некоторых собак было выявлено уменьшение количества хондроцитов в кольцах трахеи, снижающее жесткость хряща.
При заболевании могут поражаться шейный и/или внутригрудной отделы трахеи, а также отдельно или в сочетании с коллапсом трахеи может наблюдаться коллапс бронхов (бронхомаляция). Шейный отдел трахеи спадается во время вдоха, а внутригрудной — на выдохе. Коллапс бронхов может быть статическим или динамическим и развивается на выдохе. При коллапсе происходит механическое раздражение противоположной стороны слизистой, что усиливает ее отек и воспаление и усугубляет кашель.
Хронический бронхит у собак — воспалительное заболевание, характеризующееся наличием кашля более двух месяцев в году, при котором невозможно определить конкретную этиологию. Воспалительное поражение дыхательных путей вызывает гипертрофию и плоскоклеточную метаплазию эпителиальных клеток, гипертрофию бокаловидных клеток, гиперплазию подслизистых желез, воспаление, отек и фиброз слизистой оболочки.
Это приводит к увеличению количества и вязкости слизи и хроническому раздражению дыхательных путей. Как правило, воспаление дыхательных путей нейтрофильное, хотя в некоторых случаях наблюдается лимфоцитарное воспаление (3).
Бронхоэктатическая болезнь характеризуется необратимым расширением бронхов и часто сопровождается гнойным отделяемым из дыхательных путей. Оно может быть обусловлено слабо контролируемым воспалительным или инфекционным заболеванием легких, аспирационным поражением или вдыханием дыма. Утрата нормального просвета дыхательных путей приводит к застою слизи и развитию рецидивирующей пневмонии.
В развитии всех описанных выше заболеваний играть определенную роль, а также усугублять причины кашля могут аспирация содержимого из желудочно-кишечного тракта или поражение при микроаспирации (4).
Расставить приоритеты в списке дифференциальных диагнозов при первичном осмотре собаки с кашлем помогает оценка ряда клинических проявлений. У собак мелких пород (шпицы, пудели, чихуахуа, йоркширские терьеры) часто встречается коллапс шейного отдела трахеи, а бронхомаляция встречается как у крупных, так и у мелких пород.
Точно так же собаки и крупных, и мелких пород могут кашлять при бронхите или бронхоэктазии. У ряда пород, особенно у кокер-спаниелей, но также у маламутов и стандартных пуделей, чаще встречаются бронхоэктазы, а у животных, страдающих дисфункцией гортани, особенно у пожилых собак крупных пород, более вероятны микроаспирация или аспирационное поражение (5).
Большинство пожилых собак с кашлем, связанным с заболеваниями дыхательных путей (коллапс или воспаление), остаются клинически здоровыми, за исключением непрекращающегося кашля. Коллапс трахеи часто развивается в молодом возрасте, а затем периодически проявляется на протяжении всей жизни собаки нарастающими и ослабевающими клиническими признаками.
Состояние может усугубиться при эндотрахеальной интубации, увеличении массы тела, инфекции или воспалении. У других собак при коллапсе трахеи или дыхательных путей в среднем возрасте могут проявляться преходящие или тяжелые клинические признаки.
Кашель обычно описывают как приступообразный, сухой и лающий, как правило возникающий после потребления пищи и воды или после физической активности, при волнении, а также в жарких или влажных условиях. При бронхомаляции собаки часто плохо переносят физические нагрузки, и кашель у них сочетается с выдохом с усилием.
Хронический бронхит, в зависимости от типа отделяемого из нижних дыхательных путей и тяжести заболевания, может проявляться резким или влажным кашлем. На поздних стадиях заболевания могут развиться непереносимость физической нагрузки или усилие на выдохе, а при тяжелом течении легочная гипертензия может проявляться обмороками. Однако других клинических проявлений или анамнестических данных обычно немного.
У собак с бронхоэктазами может наблюдаться влажный, продуктивный кашель, сопровождающийся накоплением гнойного отделяемого. Синдром заболевания наиболее близко напоминает пневмонию, имеет различную степень тяжести и частично поддается лечению антибиотиками.
При заболеваниях дыхательных путей у собак аппетит обычно не нарушается, и многие собаки имеют избыточный вес, что создает дополнительную нагрузку на дыхательную систему. У собак с вызванными аспирацией заболеваниями в анамнезе могут отмечаться рвота, регургитация или затрудненное глотание, а также симптомы со стороны нижних дыхательных путей, но у собак с микроаспирацией или аспирационным пневмонитом клинические проявления могут быть менее явными, например причмокивание или кашель после питья или лежания.
У них также могут наблюдаться рвота, позывы к рвоте или кашель из‑за скопления отделяемого в гортани. У других собак могут появиться признаки поражения гортани и изменения голоса, хотя и не всегда. В одном исследовании почти у 20% собак с хроническим кашлем наблюдался парез или паралич мышц гортани при отсутствии каких-либо данных анамнеза или клинических признаков заболевания гортани (5).
При непосредственном обследовании вначале следует оценить частоту дыхания и дыхательное усилие. Полезно отличать усилие на вдохе от усилия на выдохе, поскольку усилие на вдохе отражает заболевания вне грудной клетки, а усилие на выдохе указывает на внутригрудные заболевания.
Тяжелый коллапс шейной части трахеи может проявляться усилием на вдохе и хриплым дыханием. Его следует отличать от дисфункции гортани, которая иногда может сочетаться с коллапсом трахеи. Что еще более важно, паралич гортани может осложнять операции на трахеальном кольце, поэтому перед такой операцией важно восстановить нормальную функцию гортани.
Классические симптомы коллапса внутригрудных дыхательных путей, бронхомаляции или бронхита — усилие или толчок на выдохе. Лающий кашель на выдохе соответствует диагнозу внутригрудного коллапса крупных дыхательных путей. У некоторых собак при значительном усилии на выдохе краниальные доли легких во время дыхания или кашля выбухают через краниальную апертуру,
и их можно увидеть или пропальпировать у основания шеи (6).
Крепитация (на вдохе и/или выдохе) при аускультации грудной клетки может указывать на открытие и закрытие дыхательных путей при коллапсе дыхательных путей или на отхождение мокроты при сопровождающихся бронхоэктазами бронхите или пневмонии. Хрипы на выдохе считаются типичным симптомом бронхита, но их удается выслушать лишь у небольшой части пациентов.
Может быть полезно вызвать приступ кашля во время непосредственного обследования, чтобы подтвердить характер кашля, наблюдаемого в домашних условиях, но в целом повышенная чувствительность трахеи лишь отражает воспаление в дыхательных путях и не позволяет определить конкретный патологический процесс.
Крайне важно провести балльную оценку упитанности (BCS) собаки, чтобы определить, в какой степени на респираторные симптомы влияет ожирение, и разработать соответствующий план лечения. Большинство собак с заболеваниями дыхательных путей имеют избыточный вес или страдают ожирением, что увеличивает дыхательное усилие и усугубляет коллапс дыхательных путей. По шкале BCS от 1 до 9 баллов идеальным обычно считают показатель 5/9, хотя большинству пациентов с респираторными заболеваниями было бы полезно достичь оценки 4/9.
Тщательная аускультация сердца показана всем пациентам с респираторными заболеваниями, поскольку у многих собак мелких пород имеются сопутствующие сердечные шумы. Кроме того, при респираторных заболеваниях может развиться легочная гипертензия, а обнаружение новых шумов в сердце может сигнализировать о развитии вторичного заболевания сердца, которое усложнит лечение существующего респираторного заболевания.
В рамках обследования собаки с хроническим кашлем проводят анализы крови, чтобы определить приоритеты в дифференциальной диагностике и оценить безопасность проведения анестезии. Кроме того, хотя коллапс трахеи можно с уверенностью предположить только на основании симптомов, анамнеза и результатов непосредственного обследования, следует также провести диагностическое обследование, чтобы выявить сопутствующие нарушения и назначить соответствующую терапию.
Стандартные параметры анализа крови обычно находятся в пределах нормального диапазона, хотя нередко наблюдается стрессовая лейкограмма (нейтрофилия, лимфопения и моноцитоз). При бронхоэктазии с пневмонией или при аспирационной пневмонии можно ожидать развития нейтрофилии, в том числе со сдвигом формулы влево.
При периферической эозинофилии следует исключить эозинофильное заболевание легких, поскольку это изменение часто встречается при тяжелых формах легочной эозинофилии. При коллапсе дыхательных путей у собак часто наблюдаются повышение уровня печеночных ферментов и даже незначительное повышение уровня желчных кислот, причем причины этого явления неясны (7), хотя теоретически предполагают влияние гипоксемии и жировой инфильтрации печени.
Диагностика коллапса дыхательных путей по рентгенограммам шейного отдела и грудной клетки ненадежна (8), но иногда позволяет выявить сопутствующие легочные заболевания, например пневмонию или бронхоэктазы, и заболевания сердца. Если сделать рентгенограммы в боковой проекции и на вдохе, и на выдохе, можно лучше визуализировать изменение просвета дыхательных путей: на полном вдохе можно обнаружить коллапс шейной части трахеи, а на выдохе — уменьшение размеров просвета внутригрудной части трахеи или крупных бронхов (Рисунок 1).
В целом при рентгенографии часто получают ложноположительные результаты, в то же время степень коллапса часто остается недооцененной, место коллапса удается определить не всегда, а документирование внутригрудного коллапса дыхательных путей или долевого бронхиального коллапса ненадежное.
Рентгеноскопия для оценки динамической обструкции дыхательных путей более полезна и позволяет также соотнести коллапс дыхательных путей с сердечным и дыхательным циклами. В 70% случаев рентгеноскопических исследований у собак с кашлем выявлялась краниальная грыжа легкого через верхнюю апертуру грудной клетки из‑за нарушения фасциальных связей в этой области (6).
При компьютерной томографии (КТ) на вдохе и выдохе также можно подтвердить коллапс дыхательных путей (9), хотя получить изображение поперечного сечения всех бронхов непросто.
При рентгенографии органов грудной клетки у собак с бронхитом можно выявить бронхиальный тип легочного рисунка (Рисунок 2) или увеличение количества и толщины стенок дыхательных путей, но в некоторых случаях данные рентгенографии могут оказаться относительно неинформативными.
Бронхоэктазы характеризуются расширением стенок и отсутствием нормального сужения дыхательных путей к периферии (Рисунок 3), однако рентгенография для подтверждения этого состояния относительно малочувствительна. Более чувствительна для оценки диаметра дыхательных путей компьютерная томография, позволяющая описать распространенность заболевания.
Подтвердить коллапс трахеи и дыхательных путей и оценить тяжесть заболевания можно с помощью бронхоскопии (Рисунок 4). Вероятно, этот метод лучше всего позволяет диагностировать бронхомаляцию сегментов нескольких долей (Рисунок 5), а также подтвердить динамический характер заболевания при поражении небольших сегментов дыхательных путей.
Бронхоскопия также позволяет выявить бронхоэктазы (Рисунок 6) или другие необратимые изменения, такие как бронхитические узелки или воспалительные разрастания в дыхательных путях (Рисунок 7).
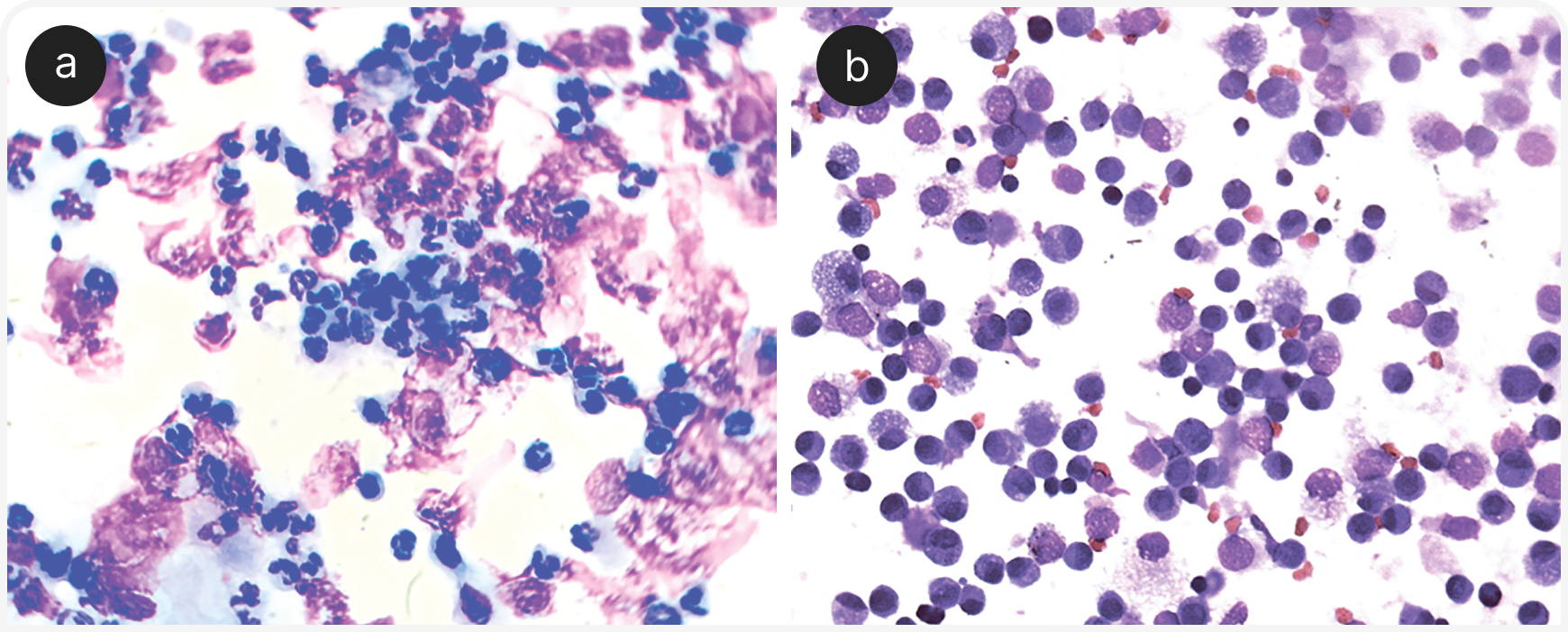
Наконец, она позволяет получить образцы из дыхательных путей для диагностики инфекционных или воспалительных заболеваний (Рисунок 8).
Однако проводить бронхоскопию собакам с коллапсом дыхательных путей, особенно при избыточной массе тела или при беспокойстве, при выраженной чувствительности трахеи или выраженном усилии на выдохе, может быть рискованно.
Анестезия может привести к утрате активных дыхательных движений, удерживающих дыхательные пути открытыми, что не позволяет собаке должным образом восстановиться после анестезии.
Кроме того, возбуждение во время пробуждения может привести к чрезмерному напряжению мышц брюшного пресса, что может вызвать коллапс нижних дыхательных путей.
Если бронхоскопия недоступна, а получить образец из дыхательных путей желательно, можно взять трахеобронхиальные смывы для цитологического исследования и посева, например при наркозе, который проводится для плановой процедуры, такой как профилактический стоматологический осмотр или удаление нескольких зубов. Восстановление после наркоза с добавлением кислорода, адекватных седативных препаратов, супрессоров кашля рекомендуется проводить медленно.
Начальная терапия
В экстренной ситуации, если у собаки с хроническим кашлем на фоне инфекции, стресса или осложнений аспирации развивается острый респираторный дистресс, показаны успокаивающие мероприятия. Необходимо дать кислород и обеспечить прохладные условия.
Можно применять ацепромазин (0,01–0,04 мг/кг п/к, в/м или в/в) в комбинации с буторфанолом (0,1–0,4 мг/кг п/к, в/м или в/в), при необходимости повторяя введение одного или обоих препаратов. Для оценки необходимости введения антибиотиков, противовоспалительных или муколитических препаратов можно провести рентгенографию органов грудной клетки, хотя в некоторых случаях требуется повторно получить образцы из дыхательных путей.
Лечение хронического процесса
Следует информировать владельцев о том, что при воспалительных или дегенеративных заболеваниях дыхательных путей у собак хронический кашель излечить практически невозможно. Цель терапии — снижение клинических проявлений минимум на 50% при приемлемом объеме вмешательства, хотя в наиболее благоприятных условиях может быть достигнута и более высокая степень контроля, однако умеренная цель позволит удовлетворить ожидания владельца.
Лечение подбирают по результатам полного диагностического обследования. При инфекции микоплазмой рекомендуется доксициклин, а при инфекции бордетеллой может потребоваться терапия гентамицином через небулайзер (10). Владельцам можно рекомендовать приобрести ультразвуковой небулайзер или небулайзер под давлением, который формирует частицы размером 2–5 мкм, способные достигать нижних дыхательных путей.
Антибиотик помещают в чашу небулайзера и дают собаке дышать им по 10–20 минут ежедневно в течение 6 недель. Аспирационное поражение не всегда требуется лечить антибиотиками (11), а в некоторых случаях для облегчения кашля может быть полезным снижение кислотности желудка в сочетании с изменениями в процессе кормления (например, приподнятое положение миски для кормления) для лечения дисфункции гортани или гастроэзофагеальной рефлюксной болезни.
При подозрении на рвоту желчью следует порекомендовать владельцам давать животному небольшую порцию корма перед сном, чтобы желудок не оставался пустым в течение длительного времени. При подозрении на нарушения со стороны желудочно-кишечного тракта показано полное обследование, включая оценку уровня витамина В12, фолиевой кислоты и УЗИ брюшной полости.
При хроническом бронхите можно прервать цикл повреждения слизистой оболочки и уменьшить чрезмерную выработку секрета с помощью противовоспалительной терапии кортикостероидами. Вначале назначают курс преднизолона в относительно высоких дозах (0,5–1,0 мг/кг каждые 12 часов в течение 5–7 дней), с последующим как можно более быстрым снижением дозы, сохраняя при этом контроль над кашлем.
Некоторым собакам требуется длительная терапия через день. Обострения заболевания лечат увеличением дозы преднизолона до достижения контроля клинических проявлений. При невозможности контролировать заболевание глюкокортикоидами внутрь или при чрезмерных побочных эффектах можно назначить стероиды в ингаляциях через лицевую маску и спейсер. Как правило, терапия кортикостероидами в ингаляциях предпочтительнее приема внутрь, поскольку способствует снижению веса и уменьшает другие побочные эффекты глюкокортикоидов, такие как одышка, которая может усугубить воспаление верхних дыхательных путей.
В одном исследовании собакам с пороком сердца классов В2 или С по ACVIM, у которых по данным клинического обследования и визуализации была диагностирована бронхомаляция, назначали стероиды (флутиказона пропионат через дозированный ингалятор со спейсером, по 110 мкг на ингаляцию 2 р/сут) без проведения бронхоскопии.
Во всех случаях было продемонстрировано уменьшение кашля по меньшей мере на 50%, а также улучшение качества жизни пациента, при этом владельцы выражали удовлетворение простотой лечения (12). Исследование может свидетельствовать, что ингаляционные стероиды применимы в некоторых случаях подозрения на бронхомаляцию у собак даже при отсутствии окончательного диагноза.
Собакам, не отвечающим на противовоспалительную терапию, можно добавить теофиллин пролонгированного действия (10 мг/кг внутрь 2 р/сут) для уменьшения усилий при дыхании и усиления эффекта кортикостероидов. Препарат считают бронходилататором, но, поскольку бронхит и бронхомаляция у собак не сопровождаются активным сужением просвета бронхов, этот механизм его действия здесь бесполезен. Однако препарат также может подавлять внутриклеточный механизм действия кальция или аденозина.
Побочные эффекты теофиллина включают беспокойство, анорексию и диарею, но при постепенном повышении дозы он, как правило, переносится хорошо. С другой стороны, в некоторых случаях бронхита или бронхоэктатической болезни у собак чрезмерно накапливается отделяемое, и может быть эффективно распыление физиологического раствора через небулайзер для облегчения выведения слизи. Как указано выше, владельцам можно рекомендовать приобрести подходящий небулайзер и увлажнять отделяемое распылением физиологического раствора из стерильных флаконов один или два раза в день.
При коллапсе трахеи и бронхомаляции у собак, если кашель сохраняется после купирования воспаления, для его подавления может потребоваться назначение наркотического противокашлевого препарата.
Наиболее полезны буторфанол (0,55–1,1 мг/кг внутрь 2–4 р/сут) и гидрокодон (0,22 мг/кг внутрь 2–4 р/сут); как правило, на начальных сроках заболевания их необходимо вводить часто, а через 24–48 часов дозу снижают.
Сначала седацию нужно проводить очень активно, чтобы прервать кашлевой цикл, но, если доза наркотического препарата останется высокой, он станет неэффективным. Аналогично, если начинать прием с низкой дозы и постепенно ее повышать, у животного возникнет зависимость, а препарат не будет эффективно купировать кашель. Можно рассмотреть возможность применения других препаратов, таких как трамадол (2–5 мг/кг внутрь 2–3 р/сут) или габапентин (5–10 мг/кг внутрь 2–3 р/сут), но они не столь эффективны.
Наконец, в популяции собак в целом часто встречается ожирение, и по-видимому, оно чрезмерно распространено у животных с хроническими респираторными заболеваниями. Ожирение затрудняет наполнение воздухом легких, уменьшает объем грудной клетки и усиливает работу системы дыхания, что может привести к усугублению кашля и дыхательного усилия. Следует рекомендовать владельцу программу снижения массы тела питомца, поскольку только это может улучшить газообмен и уменьшить кашель.
Первый шаг такой программы — точная оценка BCS. При идеальной оценке (5/9) ребра и тазовые кости собаки легко прощупываются и могут быть видны у гладкошерстных пород; талия видна сверху и сбоку. Каждый балл выше идеального значения означает превышение веса на 10%. Второй шаг — подсчитать потребляемое собакой количество калорий, чтобы достичь снижения веса путем сокращения калорийности ее обычного рациона.
Животным можно давать 80% от текущей потребляемой калорийности. Альтернативный способ — использовать для определения необходимой суточной потребности в калориях формулу потребления энергии в покое (RER) (70 × (масса тела в кг)0,75). Диета с низким содержанием жиров и пониженной калорийностью может повысить эффективность программы снижения веса за счет повышения чувства сытости и, следовательно, снижения выпрашивающего поведения (13).
Высокое содержание клетчатки снижает тенденцию к перееданию и улучшает качество стула. Однако, если поставить целью снижение массы тела на 1–2% в неделю, на достижение приемлемого и устойчивого веса могут уйти месяцы; снижение веса на 20% с 6/9 до 4/9 баллов займет 20 недель, или 5 месяцев.
Следовательно, важно давать владельцам конкретные рекомендации и назначать более частые повторные консультации, что повысит готовность владельцев следовать плану (14). Если оставить владельцу возможность предлагать животному низкокалорийные лакомства, это повысит общую эффективность снижения веса. Следует по возможности поощрять животное к постепенно увеличивающимся физическим нагрузкам, но нужно избегать применения ошейников и минимизировать чрезмерное воздействие жары и влажности.
Наконец, стоит отметить, что при коллапсе шейной части трахеи, не поддающемся активному медикаментозному и диетическому лечению, для стабилизации трахеи может потребоваться установка внешних протезных колец или, при коллапсе внутригрудной части трахеи, внутреннего стента в трахею. В настоящее время проводятся исследования возможных методов стабилизации состояния отдельных бронхов.
Клиническая картина при коллапсе трахеи или дыхательных путей у собак, как правило, довольно характерная, хотя для исключения сопутствующих инфекционных или воспалительных заболеваний дыхательных путей и подтверждения локализации и степени коллапса требуются рентгеноскопия и получение образцов из дыхательных путей.
Наилучший контроль кашля достигается в случаях, когда установлен окончательный диагноз,
но это не всегда получается по множеству причин. Владельцы могут не понимать ценности проведения специальных диагностических тестов, либо они могут быть для них слишком дорогими.
Владельцы также могут опасаться подвергать собаку анестезии, необходимой для проведения расширенной визуализации или получения образцов из дыхательных путей, и в некоторых случаях ветеринарный врач разделяет эти опасения; в такой ситуации необходимо выбирать наиболее рациональные методы лечения, которые могут принести пользу и не причинят пациенту вреда. С ожирением необходимо активно бороться путем изменения рациона и поведенческих привычек. Частота развития и распространенность
Анамнез
Физикальный осмотр
Диагностика
Лечение
Заключение
«Мой подход к решению проблемы. Кашель у пожилой собаки »!
Заработанные
баллы
были начислены ранее
телефона ниже для сброса пароля.
на номер
+7 {{ formatted_phone }}
Вы успешно прошли тест!
зарегистрироваться/авторизоваться
способ авторизации/регистрации.
{{ countries[country][1] }}
{{ value[0] }}
{{ formatted_phone }}.
Введите последние четыре цифры номера входящего звонка.
весь модуль
всех видеоуроков модуля