Введение
Овариореминантный синдром (ОРС), или синдром остаточной ткани яичника, — состояние, при котором в процессе овариоэктомии (ОЭ) / овариогистерэктомии (ОГЭ) часть или целый яичник остается неудаленным.
Ткань яичника может остаться на подвешивающей связке либо упасть в брюшную полость в процессе ОЭ/ГОЭ. Яичник остается живым благодаря быстрой реваскуляризации, продолжает секретировать половые гормоны, что приводит развитию симптомов эстрального цикла. У собак и кошек с ОРС могут наблюдаться регулярные или нерегулярные течки, признаки персистентной течки, у собак — лактация.
Бытует миф, что симптомы течек после ОГЭ/ОЭ могут быть связаны с секрецией половых гормонов другими органами, например надпочечниками. Это утверждение является мифом! На данный момент нет исследований, которые бы подтвердили эту гипотезу или достоверно продемонстрировали способность других органов секретировать достаточное количество половых гормонов, чтобы вызывать симптомы течки. Есть одно исключение, но оно будет рассмотрено ниже.
Диагностика: у кошек и собак половой цикл имеет значительные различия, потому каждый вид будет рассмотрен отдельно.
Нормальный половой цикл у сук состоит из проэструса и эструса, которые объединяются в течку, диэструса и анэструса. Каждый из этих периодов сопровождается секрецией определенных половых гормонов, а соответственно специфическими симптомами.
В проэструс и эструс (в течку) начинается активная секреция эстрогенов, что вызывает яркие клинические проявления — отек и увеличение вульвы, привлекательность для особей противоположного пола из-за секреции феромонов, поведенческие проявления (мочевые метки, суки могут заигрывать с кобелями, допускать вязку). Если в процессе ОГЭ матка удалена полностью, кровянистых выделений в течку не будет. Выделения будут слизистыми и скудными.
В диэструс внешние признаки не такие выраженные. Если остаточная ткань яичника способна пройти стадию эструса полноценно (рост фолликулов и последующая овуляция), формируются желтые тела, которые будут секретировать прогестерон чуть более двух месяцев. Может наблюдаться умеренное увеличение молочных желез.
Период анэструса, или половой покой, характеризуется секрецией пролактина в первые недели после окончания диэструса, что у некоторых собак сопровождается лактацией (около 20–40% сук). Далее до наступления очередной течки половые гормоны выделяются в базальных концентрациях, и симптомов не будет.
Подход к диагностике сук с подозрением на ОРС должен опираться на стадию цикла пациента на момент проведения обследования.
Сука с признаками течки.
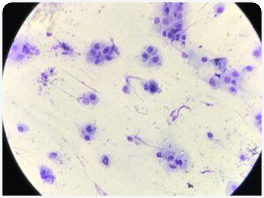
Оптимально начать с проведения вагинальной цитологии. Данный метод исследования оценивает эффекты эстрогенов на слизистую оболочку влагалища и позволяет легко дифференцировать течку от периода покоя. В организме кастрированных сук нет значимых источников эстрогенов, кроме яичников. Если в мазке картина проэструса или эструса (есть очевидные признаки эстрогенового воздействия и пролиферации), этого исследования достаточно, чтобы с высокой долей вероятности подтвердить ОРС.
Стоит не забывать о экзогенных эстрогенах. В анамнезе у пациентов с подозрением на ОРС вне зависимости от вида необходимо исключать прием препаратов эстрогенов владельцами. Обычно это кожные кремы или гели с эстрогенами, которые при контакте с животным могут также вызывать системные эффекты. Иногда питомцы поедают таблетирование препараты. В таком случае необходимо исключить контакт с препаратом у животного минимум на 2 недели (тканевые эффекты эстрогенов сохраняются около 7 дней) и переоценить симптомы.
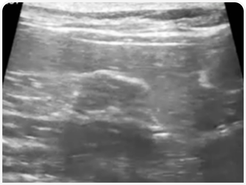
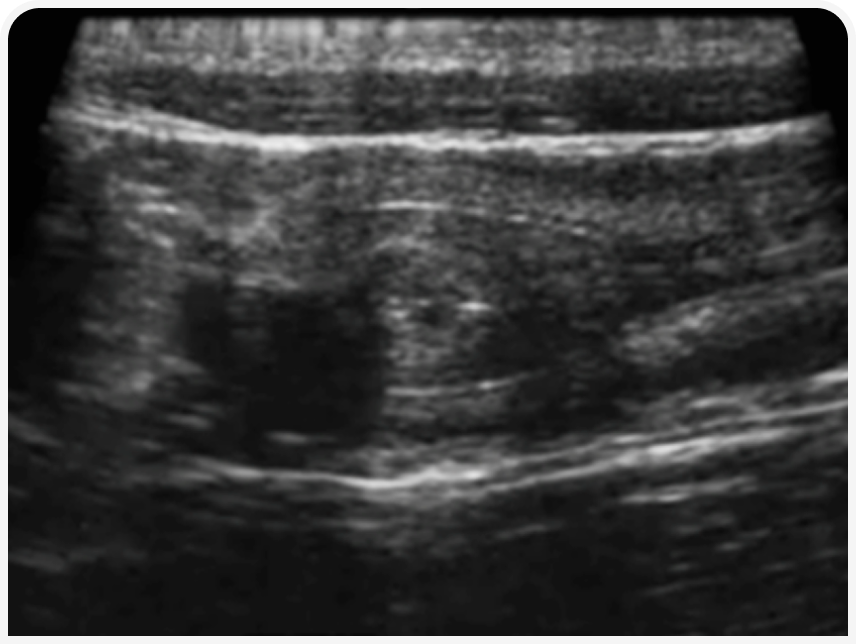
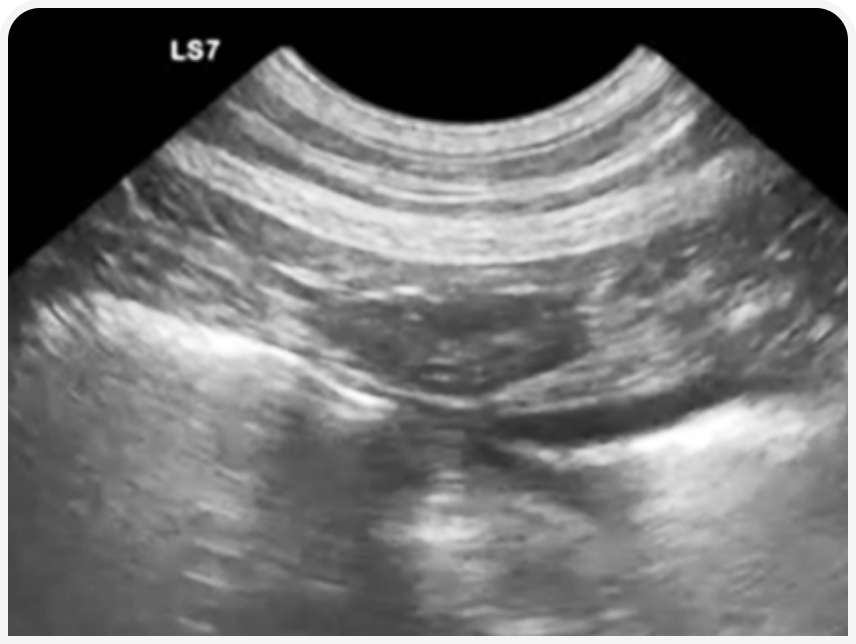
УЗИ в течку будет максимально информативно для определения ОРС. В этот период в корковом слое яичников начинается рост фолликулов, которые у собак около периода овуляции могут достигать размера 1-1,2 см.
При наличии фолликулогенеза яичник приобретает характерную «уникальную» УЗ-картину, что наряду с признаками течки и картиной вагинальной цитологии позволяет подтвердить диагноз ОРС с максимальной достоверностью.
При сканировании необходимо осмотреть не только место топографической локализации яичников.
Культя матки и краниальной части влагалища у собак и кошек в течку под действием эстрогенов значительно утолщается за счет отека, стенки становятся гипоэхогенными, картина отличается от периода полового покоя.
Также при ОРС можно обнаружить пиометру культи матки (развивается у сук с ОРС под действием половых гормонов, в отличие от культитов, которые в первую очередь являются следствием реакции на неподходящий/инфицированный шовный материал).
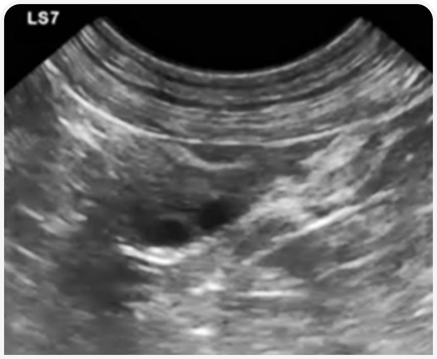
У некоторых животных в реминантном яичнике могут формироваться кисты, вызывающие персистентную течку. Тогда на УЗИ будут обнаружены единичная/множественные кистозные структуры, поликистоз или киста на фоне роста более мелких фолликулов.
У некоторых животных в реминантном яичнике могут формироваться кисты, вызывающие персистентную течку. Тогда на УЗИ будут обнаружены единичная/множественные кистозные структуры, поликистоз или киста на фоне роста более мелких фолликулов. В начале течки яичники могут не иметь хорошо различимых фолликулов. В таком случае стоит повторить исследование через неделю.
Если у пациента присутствуют все симптомы течки, но яичники в привычной локализации не обнаруживаются, далее проводится детальное сканирование всей брюшной полости от краниального полюса обеих почек до области шейки матки. Это позволяет обнаружить овариальную ткань, которая могла упасть в брюшную полсть в процессе операции.
Сука без признаков течки.
Таких пациентов условно можно разделить на 2 категории — собаки, у которых течка была менее двух месяцев назад, и собаки, у которых симптомы течки были более двух месяцев назад.
Если признаки течки владелец отмечал менее двух месяцев назад, оптимально начать с исследования уровня прогестерона крови. При нормально функционирующей ткани яичника прогестерон после окончания течки будет выделяться в течение двух месяцев. Других источников прогестерона кроме яичников в организме собак нет. Уровень прогестерона более 2 нг/мл будет с высокой достоверностью подтверждать ОРС.
Если ткань яичника изменена и не способна овулировать (например, киста реминантного яичника), течки могут протекать ановуляторно и прогестерон по окончанию будет оставаться базальным.
Если признаки течки владелец отмечал более двух, но менее трех месяцев назад, подсказкой может оказаться лактация. Лактация после окончания диэструса случается не у всех собак и у большей части она не очевидна. При осмотре необходимо оценить наличие отделяемого из молочных желез — оно может быть внешне похоже на молоко, желтоватую прозрачную жидкость, иногда иметь хлопьевидные коричневые включения.
Если признаки течки владелец отмечал более трех месяцев назад, ни один из описанных методов не будет высоко достоверным. УЗИ вне периода течки затруднительно из-за малого размера яичников. Часто овариальная ткань сливается с окружающим жиром. А гормоны будут оставаться на базальном уровне. В таких случаях оптимально перенести обследование до наступления следующей течки.
Антимюллеров гормон (АМГ) выделяется в организме собак и кошек только тканью яичника и участвует в регуляции половых циклов, секретируется гранулезными клетками развивающихся фолликулов (вторичные и преантральные) у сук и клетками сертоли у кобелей. Не видоспецифичен.
АМГ может быть использован для диагностики ОРС, но из-за особенностей секреции в течение цикла у собак он имеет меньшую диагностическую ценность, чем у кошек. В норме даже у некастрированных сук АМГ в значимых количествах начинает секретироваться примерно за месяц до начала течки и снижается до базальных уровней примерно за 3 дня до овуляции.
У пациента могут наблюдаться все клинические признаки течки, цитология и УЗИ будут говорить о наличии признаков течки и реминанта яичника, но АМГ будет на низком уровне, если овуляция происходит или уже произошла, условно указывая что сука стерилизована. В подобных ситуациях слепо доверять только результатам АМГ не стоит.
Ниже приведена схема, где указано, какие методы исследований в какую стадию полового цикла будут максимально достоверны.
У кошек, в отличие от собак, циклы повторяются регулярно с интервалами от двух недель до полугода (индивидуальные особенности, обычно 1 раз в 1-2 месяца). Длительность течки у кошек — 7-10 дней.
В процессе течки в яичниках начинается рост новой генерации фолликулов, которые достигают предовуляторного размера на 3-5-й день (обычно 3-4 мм). Но овуляция у кошек коитус-индуцированная. Если в течку не происходит коитуса/вязки, то фолликулы уменьшаются, подвергаются атрезии, и течка прекращается.
Симптомы течки у кошек могут быть не так очевидны, как у собак. Увеличение петли в эструс практически незаметно, хотя и происходит. Выделения — большая редкость. Чаще всего приходится ориентироваться на поведенческие признаки охоты, нередко в период течки животные могут оставлять мочевые метки.
Исследование прогестерона для подтверждения реминанта будет неинформативно. У кошек без вязки не происходит овуляция, а значит, после течки нет лютеальной фазы (периода секреции прогестерона). Небольшой процент может демонстрировать феномен спонтанной овуляции, но это бывает редко.
Для диагностики ОРС можно использовать вагинальную цитологию, УЗИ и исследование АМГ.
Как и у собак, в процессе течки у кошек происходит активная секреция эстрогенов и изменение эпителия влагалища. В вагинальной цитологии будет наблюдаться большое количество поверхностных ороговевших клеток (безъядерных), что говорит о значимой секреции эстрогенов и наличии ткани яичника.
Но из-за полицикличности даже в интерэструс (период между двумя течками) в мазке будет обнаруживаться небольшое количество поверхностных ороговевших клеток.
УЗИ у кошек с подозрением на ОРС часто затруднительно по причине меньшего размера и необходимости использовать высокочастотные трансдукторы.
Но, как и у сук, в течку яичники будут иметь характерную картину овального образования с множеством кистозных структур размером до 3-4 мм, а культя матки будет утолщаться. Алгоритм проведения исследования аналогичен алгоритму у сук.
АМГ у кошек будет более информативен. У данного вида течки следуют одна за другой, практически постоянно происходит рост новой генерации фолликулов, что сопровождается активной секрецией АМГ.
Потому он может быть на высоком уровне вне зависимости от стадии цикла. АМГ может быть низким, если кошка находится в длительном покое — в периоде зимнего анэструса, когда течки прекращаются на несколько месяцев. Но у домашних питомцев период зимнего анэструса не выражен, что связано с регулируемой хозяином продолжительностью светового дня.
У кошек возможно развитие симптомов ОРС, не связанных с остаточной тканью яичника. Есть несколько публикаций, описывающих случаи аденокарциномы/аденомы надпочечника, сопровождающиеся симптомами эстральных циклов / персистентного эструса, что может быть связано с секрецией стероидных гормонов данными новообразованиями.
Но в отличие от классического ОРС, когда симптомы возникают в течение от нескольких месяцев до двух лет после операции, все кошки в опубликованных случаях имели возраст старше восьми лет и были стерилизованы в молодом возрасте.
Если при обследовании ветеринарный специалист не может обнаружить реминант на УЗИ, АМГ низкий, кошка старше 6 лет и от момента ОГЭ/ОЭ прошло более двух лет, в план обследования необходимо включить УЗИ брюшной полости с исследованием надпочечников. У собак на данный момент подобных случаев не зарегистрировано.
В зависимости от симптомов в список дифференциальных диагнозов при подозрении на ОРС у сук необходимо включать: вагиниты, новообразования влагалища (в том числе трансмиссивную венерическую саркому), культиты. У кошек: культиты.
Оптимальным методом лечения ОРС является реоперация. При повторном хирургическом вмешательстве рекомендовано проводить ревизию не только области, где обнаружен реминант, но и противоположенной культи яичника и матки. Нередко в процессе реоперации обнаруживаются гранулемы культей. Их также необходимо удалить. Статистически рассасывающийся шовный материал имеет меньшие риски развития культитов. Если оставлен участок тела матки и шейка, стоит провести резекцию культи ниже цервикальной области.
В качестве альтернативы можно рассматривать медикаментозную кастрацию. Импланты Деслорелина (Suprelorine, Virbac) безопасны и успешно подавляют нежелательные симптомы у собак и кошек.
При использовании импланта 4,7 мг длительность эффекта у кошек обычно составляет 9-15 месяцев, у мелких собак — до 12 месяцев, у крупных — до 6 месяцев. Однако использовать такой метод стоит, если исключены другие проблемы — гранулемы культей матки и яичников, культиты, а владельцы готовы на регулярные финансовые траты.
Собакам с массой тела более 10 кг применение медикаментозной кастрации может оказаться нерациональным, так как для контроля симптомов течек необходимо повторно вводить Деслорелин каждые 5 месяцев.
Диагностика ОРС вызывает немало затруднений у врачей, что обычно связано с недостатком информации о физиологии и эндокринологии полового цикла сук и кошек. К сожалению, идеального метода исследования нет. Каждый из тестов должен назначаться и трактоваться с учетом стадии цикла.
Информативнее всего проводить диагностику в период течки, тогда вагинальная цитология и УЗИ будут максимально достоверны.
Если пациент обратился в период между течками, и вы получили сомнительные данные, стоит перенести диагностику на начало очередной течки, чтобы информативность исследований была максимальная. Собаки
Немного про АМГ
Кошки
Терапия
Выводы
телефона ниже для сброса пароля.
на номер
+7 {{ formatted_phone }}
Вы успешно прошли тест!
зарегистрироваться/авторизоваться
способ авторизации/регистрации.
{{ formatted_phone }}.
Введите последние четыре цифры номера входящего звонка.
весь модуль
всех видеоуроков модуля