Введение
Системной гипертензией называют стойкое повышение системного артериального давления — состояние, которое в современной ветеринарной практике встречается все чаще. Главным образом это связано с возрастанием понимания ветеринарными врачами влияния, которое оказывает гипертензия на продолжительность и качество жизни собак и кошек. В то же время увеличение распространенности системной гипертензии может быть и следствием роста продолжительности жизни животных, который приводит к увеличению частоты развития заболеваний, характерных для пожилого возраста, включая гипертензию. Значительную роль в понимании роли гипертензии сыграло появление надежных приборов для измерения артериального давления, которые теперь стали гораздо доступнее для практикующих ветеринарных врачей.
Системная гипертензия может быть вызвана рядом факторов:
• Стрессорами, связанными с окружающей средой или ситуацией, — ситуационная гипертензия.
Ситуативная гипертензия, также называемая эффектом «белого халата», — преходящее повышение артериального давления в результате активации симпатического отдела вегетативной нервной системы вследствие возбуждения или тревоги. Это состояние обычно приводит к повышению систолического артериального давления на 15–20 мм рт. ст. (1), иногда больше (но возможно также и его снижение) (2). Об этом эффекте очень важно знать, поскольку нейрогормональные изменения, вызванные стрессом от посещения клиники, могут привести к ошибочной диагностике гипертензии у кошки. Однако выявить такие изменения может оказаться нелегко, поскольку влияние беспокойства на артериальное давление, к сожалению, у отдельных животных непредсказуемо.
У мелких животных чаще всего диагностируют вторичную гипертензию — стойкое повышение артериального давления у животных с другими заболеваниями, которые могут вызывать гипертензию. Наиболее часто с системной гипертензией связаны заболевания почек, эндокринопатии (гипертиреоз, гиперадренокортицизм, диабет, первичный гиперальдостеронизм) и феохромоцитома. Вторичная гипертензия может также развиться у животных, получавших лекарства или употребивших токсичные вещества с гипертензивным действием, например глюкокортикоиды, минералокортикоиды, стимуляторы эритропоэза, фенилпропаноламин, кокаин, метамфетамин.
Идиопатическая гипертензия — стойкое патологическое повышение артериального давления в отсутствие какой‑либо идентифицируемой основной причины. В настоящее время это заболевание стали диагностировать чаще, и в недавних исследованиях его распространенность у кошек составила около 13–20% (3–5).
Возникновение, развитие и прогноз разных типов гипертензии различаются. Вторичная гипертензия встречается в основном у пожилых кошек (старше десяти лет) и связана с характерными для пожилого возраста клиническими состояниями, такими как хроническая болезнь почек, гипертиреоз и гиперальдостеронизм. После выявления и лечения основной причины вторичная гипертензия может исчезнуть. Первичную (идиопатическую) гипертензию у мелких животных диагностируют значительно реже, но она может встречаться у кошек любого возраста. Поскольку основного заболевания в этом случае не выявляют, лечение направлено на контроль артериального давления и предотвращение поражения органов‑мишеней.
У человека «гипертензия белого халата» считается фактором риска последующих гипертонических поражений, в связи с чем поднимается вопрос необходимости ее лечения. Доказательств ее существования у животных мало, поэтому в настоящее время предложения лечить ситуационную гипертензию у кошек не обоснованны.
Системную гипертензию иногда называют «тихим убийцей», поскольку она обычно протекает бессимптомно до тех пор, пока не наступает тяжелое поражение органов. Органы, наиболее уязвимые для системной гипертензии, — глаза, мозг, сердце и почки, поскольку они богато снабжены артериолами (6). Эти поражения в совокупности называются поражением органов-мишеней (target organ damage — TOD).
Синдром поражения глаз у животных с системной гипертензией называют гипертензивной хориоидопатией и ретинопатией (7). У кошек с высоким артериальным давлением часто отмечают поражения глаз, их распространенность составляет 68,1–100% (4, 8). Признаки, которые легко заметить владельцу, включая гифему (Рисунок 1) и фиксированные мидриатические зрачки (Рисунок 2), часто становятся причиной обращения к ветеринарному врачу. Однако наиболее часто диагностируют экссудативную отслойку сетчатки, риск развития которой возрастает, если систолическое артериальное давление превышает 180 мм рт. ст. Описаны и другие поражения, такие как кровоизлияние в сетчатку, мультифокальный отек сетчатки, извилистость сосудов сетчатки, периваскулярный отек сетчатки, папиллярный отек, кровоизлияние в стекловидное тело, вторичная глаукома, дегенерация сетчатки. Для диагностики поражений глаз требуется осмотр с офтальмоскопией.
Системная гипертензия может привести к поражению мозга в результате отека и кровоизлияния и классифицируется как гипертоническая энцефалопатия (9). Неврологические симптомы, связанные с системной гипертензией, описаны и у кошек (4, 8), и у собак (10), причем, по‑видимому, у кошек они встречаются чаще. Гипертоническая энцефалопатия чаще возникает при внезапном повышении артериального давления или при постоянном превышении 180 мм рт. ст.
Наблюдаемые клинические признаки типичны для внутричерепного поражения и могут включать изменение психики, вокализацию, дезориентацию, атаксию, наклон головы, нистагм, оцепенение, судороги или даже кому. Для подтверждения поражения мозга требуются неврологическое обследование и специализированная диагностика, например магнитно-резонансная томография.
Почки — одна из основных мишеней при системной гипертензии, но во многих случаях также имеется сопутствующее хроническое заболевание почек, и трудно определить, какое состояние возникло первым. В случае системной гипертензии нарушение местной системы контроля артериального давления приводит к повышению внутриклубочкового капиллярного давления, вызывающего протеинурию, что способствует развитию гломерулосклероза, который, в свою очередь, может усугубить исходную гипертензию (10).
В протоколы обследования пациентов с заболеваниями почек и гипертензией следует включать измерение артериального давления, анализ мочи, количественную оценку протеинурии или альбуминурии (11), измерение уровня СДМА и креатинина в сыворотке крови, рентгенографию и УЗИ брюшной полости. Для определения показаний к антигипертензивной терапии в отдельных случаях применяют подклассификацию на основе степени протеинурии с использованием соотношения белок/креатинин мочи (UPC), предложенную международным обществом изучения заболеваний почек IRIS (International Renal Interest Society) (Таблица 1).
Сердце при гипертензии является органом-мишенью как у кошек (12), так и у собак (13). Вызванное системной гипертензией хроническое увеличение постнагрузки приводит к компенсаторной гипертрофии миокарда, развивающейся для нормализации напряжения стенки сердца.
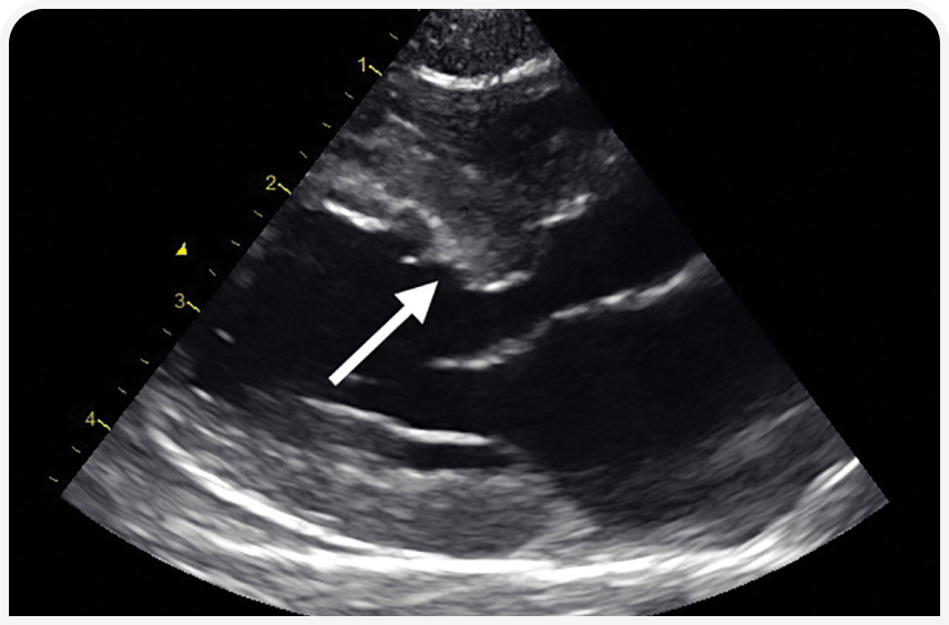
У собак чаще наблюдаются диффузная и симметричная концентрическая гипертрофия левого желудочка, расширение проксимальной луковицы аорты и аортальная недостаточность, в то время как у кошек выявляемые при эхокардиографии изменения сердца включают концентрическую гипертрофию стенки левого желудочка и межжелудочковой перегородки, гипертрофию перегородки в субаортальной области (Рисунок 3) и расширение проксимальной аорты. При клиническом обследовании выявление ритма галопа, аритмии или любого шума позволяет с высокой степенью вероятности подозревать поражение сердца, но для подтверждения диагноза необходимы дополнительные исследования, такие как рентгенография органов грудной клетки, электрокардиография и эхокардиография.
Измерять артериальное давление (АД) рекомендуется в нескольких ситуациях. Системную гипертензию считают заболеванием пожилых животных, поэтому рекомендуется измерять АД в рамках любого рутинного обследования пожилых животных. В недавно проведенном исследовании показали, что расчетный риск возникновения системной гипертензии у кошек старше девяти лет составляет 23,7% (14), поэтому рутинное измерение следует начинать именно в этот период. Также артериальное давление следует измерять при любых признаках заболеваний, сопровождающихся гипертензией, или при приеме препаратов, которые могут вызывать вторичную гипертензию. В частности, артериальное давление всегда определяют у кошек с клиническими проявлениями, соответствующими поражению органов‑мишеней, и в этой ситуации для подтверждения диагноза системной гипертензии может быть достаточно даже однократной фиксации высокого АД. В Блоке 1 показан алгоритм принятия решений при обследовании кошки с признаками поражения органов‑мишеней, предположительно связанного с гипертензией, или с клиническими признаками состояний, которые могут вызывать системную гипертензию.
При подозрении на идиопатическую гипертензию для исключения ситуационной гипертензии артериальное давление следует измерять несколько раз, обычно 5–7 раз в течение сессии, и усреднить значения. Обычно не учитывают первое полученное значение и отдельные показания значительно выше или ниже большинства результатов. При сомнениях в точности измерений их рекомендуется повторить после адаптации кошки к процедуре или перенести на другой день. У пациентов с заболеваниями, которые могут привести к системной гипертензии, рекомендуется регулярно контролировать артериальное давление, чтобы вовремя выявить ее развитие; автор рекомендует проводить измерения каждые восемь недель. Такой подход также крайне важен для оценки ответа на антигипертензивное лечение.
Для правильной диагностики и надлежащего ведения гипертензии необходимо точное, воспроизводимое и надежное измерение артериального давления. Разработана стандартизированная диагностическая система оценки стадий повышенного артериального давления и риска развития поражения органов‑мишеней (15) (Таблица 2). Золотым стандартом оценки артериального давления считают прямое измерение путем катетеризации артерии, но этот метод инвазивный и не подходит для ежедневного использования у пациентов в сознании, поэтому в клинической ветеринарной практике широко используют косвенные методы, такие как допплеровская сфигмоманометрия и осциллометрия высокого разрешения (high definition oscillometry — HDO).
Прямое измерение артериального давления предполагает установку катетера в артерию, у мелких животных чаще всего в дорсальную артерию стопы, и подключение его к датчику давления. После подготовки места пункции пальпируют пульс и вводят катетер по линии сосуда и под углом 45 ° (Рисунок 4). Если струя крови через катетер пульсирующая и быстрая, он попал в артерию. Затем катетер полностью вводят в сосуд и извлекают проводник. Обратите внимание, что для предотвращения смещения и кровотечения требуется накладывать на артериальные катетеры надежную повязку, а также четко маркировать их (Рисунок 5), чтобы не перепутать с катетерами для внутривенных вливаний. Кроме того, требуется регулярно промывать артериальную линию для обеспечения ее проницаемости и точности измерения. Катетер подключают через заполненную физиологическим раствором трубку к датчику давления, расположенному на высоте сердца.
После подключения к пациенту датчик необходимо откалибровать на ноль, а затем подключить к монитору; на нем будут отображаться непрерывная кривая давления и цифровые показания систолического (SAP), среднего (MAP) и диастолического (DAP) артериального давления (Рисунок 6). С клинической точки зрения прямой мониторинг артериального давления показан у животных в состоянии шока, гемодинамической нестабильности, высокого анестезиологического риска, при выраженной гипертензии и необходимости симпатомиметической поддержки или искусственной вентиляции легких (16).
Получить воспроизводимые, надежные и точные результаты измерения артериального давления косвенными методами нелегко, поскольку на результат могут повлиять несколько факторов со стороны прибора, пациента и оператора.
Однако в исследованиях была показана хорошая корреляция между прямым и непрямым методами, что позволяет практикующим ветеринарным врачам использовать последний, неинвазивный, относительно недорогой и простой в исполнении вариант.
Косвенные методы измерения основаны на обнаружении возвращения пульсирующего кровотока после окклюзии артерии с помощью надувной манжеты. Решающее значение для обеспечения точности показаний имеет выбор манжеты; ее ширина должна составлять около 40% от окружности конечности. Если манжета слишком большая, значения будут недооценены, если слишком маленькая — переоценены (17). В идеале манжета должна располагаться на одном уровне с сердцем.
Для получения точных значений артериального давления очень важно проводить измерение по стандартному протоколу (Таблица 3). В протоколе учитывают не только практические аспекты оценки АД и тип используемого устройства, но и среду, в которой проводят измерения, а также способ регистрации собранных данных. Процедуру измерения АД следует широко внедрять в ветеринарную практику, но для получения значимых результатов необходима стандартизация метода измерения.
Большинство современных авторов рекомендуют допплеровское мониторирование АД в силу его простоты и быстрого получения результатов. Кроме того, полученные с помощью этого метода данные хорошо коррелируют с методом прямой катетеризации (19). При помощи этого метода артериальный кровоток распознается с помощью ультразвукового датчика, подключенного к усилителю и динамику или наушникам. Над дистальной частью артерии ниже надувной манжеты, которая соединена с анероидным манометром, помещают зонд. Наиболее распространенные места размещения — на внутренней стороне пястной области (локтевая артерия) или тыльной стороне плюсневой области (дорсальная артерия стопы) (Рисунок 7). Поскольку для обнаружения кровотока требуется отличный контакт зонда с кожей, выбранный участок лучше предварительно побрить, а кожу обезжирить спиртом. Надувную манжету располагают непосредственно над подготовленной областью, на зонд наносят ультразвуковой гель, а затем удерживают, слегка надавливая, над артерией и параллельно кровотоку. Когда станет слышен звук потока крови, манжету продолжают надувать до исчезновения звука, а затем медленно сдувают, наблюдая за показаниями манометра. Точка, в которой пульс впервые становится слышимым, отражает систолическое давление.
Осциллометрический метод основан на распознавании осцилляций (периодических колебаний) внутри манжеты, вызванных пульсацией стенки артерии. По мере сдувания манжеты колебания быстро нарастают, достигают пика на уровне MAP, а затем быстро снижаются до уровня DAP. На экране прибора будут отображаться значения SAP, MAP, DAP и частота пульса, обычно вместе с графиком обнаруженных колебаний, что помогает подтвердить точность измерения. Большинство приборов обычно измеряют MAP и используют запрограммированные алгоритмы для расчета SAP и DAP.
Методика очень проста, но значительную роль для обеспечения точности результатов играют выбор размера манжеты, ее размещение и положение животного. Чаще всего манжеты устанавливают на передней конечности (на лучевой артерии), в области плюсневых костей задней конечности (каудальная подкожная артерия) или у основания хвоста (копчиковая артерия) (Рисунок 8).
При обследовании по поводу потенциальной гипертензии у кошек рекомендуется надежное измерение артериального давления и выявление возможного поражения органов‑мишеней. Сразу после постановки диагноза «системная гипертензия» необходимо провести дообследование для выявления основного заболевания и подбора соответствующей терапии, что выходит за рамки данной статьи. Тем не менее одного только назначения препаратов, снижающих артериальное давление, недостаточно, сначала следует по возможности определить этиологию гипертензии. Классификация гипертензии
• В сочетании с заболеваниями, для которых известна провоцирующая роль в повышении артериального давления, — вторичная гипертензия.
• При отсутствии других потенциальных причин заболевания — идиопатическая гипертензия.
Последствия и симптомы гипертензии
TOD — глаза
TOD — мозг
TOD — почки
TOD — сердце
Когда следует измерять АД?
Измерение АД
Прямое измерение
Косвенное измерение
Заключение
телефона ниже для сброса пароля.
на номер
+7 {{ formatted_phone }}
Вы успешно прошли тест!
{{ formatted_phone }}.
Введите последние четыре цифры номера входящего звонка.
весь модуль
всех видеоуроков модуля