Введение
Кошки с потерей веса невыясненного происхождения встречаются в ветеринарной практике достаточно часто, и такие случаи могут оказаться для ветеринарного врача сложными и даже вызывать фрустрацию. В статье описан логический подход к диагностике без очевидного предположительного диагноза, с акцентом на экономичный поэтапный диагностический поиск; типичный сценарий показан ниже.
Обращение в клинику
В понедельник в 10 часов утра в клинику обратилась миссис Смит с восьмилетним котом Фредди (кастрированным) для ежегодного профилактического осмотра. Данные непосредственного обследования Фредди были без особенностей, за исключением заболевания пародонта 2-й степени. Стандартные лабораторные показатели* в пределах нормы, но со времени предыдущего визита кот похудел на 0,5 кг.
*Общий анализ крови; биохимический профиль сыворотки крови; анализ мочи с микроскопией осадка; флотация кала; концентрация общего тироксина; тестирование на FeLV и FIV.
Дополнительное обследование Фредди
При дальнейшем опросе владелицы установлено, что Фредди получает сухой корм для пожилых кошек ad libitum. Владелица не отмечала каких‑либо изменений в потреблении пищи, но не смогла назвать точно потребляемое количество корма. Рвоты или изменений консистенции стула не отмечено. Однако сывороточный уровень альбумина у кота снизился с 3,6 г/дл (данные исследования год назад) до 3,1 г/дл (референсный интервал: 2,8–3,6 г/дл).
По подозрению на заболевания желудочно-кишечного тракта в сыворотке крови измерены содержание фолиевой кислоты, кобаламина и PLI**. Все значения находились в пределах референсного интервала, но уровень кобаламина 388 мкг/дл был признан сомнительным (нормальные уровни кобаламина в сыворотке крови каждая референтная лаборатория устанавливает сама). Результаты ультразвукового исследования брюшной полости были без особенностей; общий внешний вид и толщина стенки тонкой кишки были нормальными.
После тщательного обсуждения с владелицей было принято решение провести Фредди профилактическое обследование зубов с помощью внутриротовой рентгенографии, а также эндоскопическое обследование верхних и нижних отделов желудочно-кишечного тракта и биопсию желудка и двенадцатиперстной, подвздошной и ободочной кишок с применением анестезии.
При стоматологическом обследовании было подтверждено заболевание пародонта легкой степени и проведено его лечение. При гистопатологическом исследовании биоптатов желудка и двенадцатиперстной кишки была выявлена лимфоплазмоцитарная инфильтрация легкой степени; при биопсии подвздошной кишки и толстой кишки — гистиоцитарная инфильтрация с разрастанием дрожжей в пределах поражения (по внешнему виду, Histoplasma capsulatum).
Диагноз «гистоплазмоз» впоследствии был подтвержден методом ферментативного иммуноанализа образца мочи, и Фредди прошел успешное лечение итраконазолом.
**Иммунореактивность липазы, специфичной для поджелудочной железы (PLI — pancreas-specific lipase immunoreactivity)
Шаг 1: повторите сбор анамнеза
Владельцы могут привыкнуть к нетипичным проявлениям у кошки и не придавать значения некоторым клиническим признакам, например рвоте. Нередко владелец считает, что кошка здорова, в то время как ее еженедельно рвет. Точно так же владелец может не осознавать важности незначительного изменения консистенции стула или увеличения диуреза. Периодический кашель может быть вызван проглатываемой шерстью, и владелец может не сообщать о нем ветеринарному врачу. Тщательный анализ анамнеза с использованием открытых вопросов, позволяющих получать более подробные ответы, может выявить возможные причины потери веса, нуждающиеся в дальнейшем исследовании.
Шаг 2: повторите непосредственное обследование
Часто в таких случаях бывает полезно повторить непосредственное обследование, поскольку исходно можно упустить из виду или не принять во внимание незначительные отклонения. Если ранее не определяли балльную оценку мышечной массы, следует сделать это и записать результат. Осмотреть ротовую полость у бодрствующей кошки часто непросто, но значимую патологию можно выявить уже при осмотре зубов и края десен. Однако важно иметь в виду, что беглый визуальный осмотр не позволяет исключить выраженного и клинически значимого заболевания зубов; тяжесть болезненных состояний, таких как резорбция корня зуба, можно определить только рентгенографически (Рисунок 1) (1). Следует провести тщательное офтальмологическое обследование для выявления симптомов увеита или хориоретинита. Эти симптомы неспецифичны, но часто наблюдаются у кошек при грибковых или протозойных инфекциях (Рисунок 2) (2). Нужно тщательно обследовать любые кожные или подкожные узелки, особенно в области внутренних парастернальных лимфоузлов. Также разумно понаблюдать за движениями кошки, чтобы выявить признаки заболеваний суставов, позвоночника или нервной системы; обычно кошек осматривают на столе и поэтому не замечают изменений походки, координации или силы мышц.
Шаг 3: соберите подробный анамнез питания
Следует собрать подробную информацию о типе и калорийности корма, режиме питания, предлагаемого и потребляемого ежедневно, чтобы установить реальную калорийность рациона кошки. К сожалению, сбор этой информации может быть затруднен, поскольку кошкам часто предлагают сухой корм без ограничений (ad libitum), и владелец может слабо представлять, сколько корма кошка потребляет на самом деле. В таких случаях владельца просят в течение нескольких 24-часовых периодов тщательно отмерять или взвешивать суточную норму корма и определять его несъеденное количество.
Также важно узнать об изменениях в пищевых предпочтениях или поведении при кормлении. Владельцы иногда отмечают повышение аппетита у кошки по поисковому поведению, например если кошка трется о ноги владельца или вокализирует в установленное время кормления. Хотя эти действия свидетельствуют об интересе к пище, все равно важно выяснить, сколько кошка съедает фактически. Некоторые кошки продолжают «выпрашивать» (и потреблять) лакомства или консервированный корм, но при этом снижается потребление сухого корма. Невнимательные владельцы могут считать, что кошка получает достаточно калорий, в то время как на самом деле общая калорийность рациона оказывается недостаточной.
Если в доме живут несколько кошек, определить, сколько корма съедает конкретная кошка, особенно трудно. В таких случаях владельцу следует тщательно наблюдать за групповой динамикой, поскольку более напористая кошка может затруднять доступ к пище более робкой (3). Считается, что кошки, когда они одни и за ними никто не наблюдает, предпочитают есть маленькими порциями; присутствие других животных, даже без явной агрессии между кошками, может ограничить потребление пищи. Следует также обратить внимание на расположение мисок с кормом; если они стоят на возвышении, а кошка страдает ортопедическим заболеванием, она может потреблять меньше калорий просто из‑за дискомфорта или значительных усилий для доступа к корму. Также потребление пищи может снижаться при расположении мисок рядом с шумными механизмами, такими как стиральная машина.
Фактическое количество калорий, необходимых для поддержания стабильной массы тела, у разных кошек различается и зависит от возраста, репродуктивного статуса и уровня активности. Для малоподвижной кастрированной взрослой кошки можно первоначально ориентироваться на 40–66 ккал/кг массы тела в день, но это значение приблизительное. Можно также рассчитать базальное потребление энергии в покое (resting energy requirement — RER) по нелинейной формуле: масса тела (кг) 0,75 × 70. Чтобы определить фактическое суточное (поддерживающее) потребление энергии (maintenance energy requirement — MER) у среднестатистической кошки среднего возраста, RER следует умножить на коэффициент от 1,2 до 1,4 (4). Если вес кошки недостаточный, определять истинное суточное потребление энергии следует по идеальной массе тела.
По опыту автора, потеря веса невыясненного происхождения (т. е. потеря веса у кошки со стандартными лабораторными данными без особенностей) на фоне адекватной или повышенной калорийности диеты встречается редко. В круг дифференциальной диагностики в этих случаях включают ранние стадии гипертиреоза, воспалительное заболевание кишечника (ВЗК), экзокринную недостаточность поджелудочной железы (Таблица 1). Кроме того, у некоторых кошек потеря веса, несмотря на достаточное потребление пищи, развивается при кахексии на фоне опухолей или хронической инфекции; однако она обычно сопровождается гипорексией (5). Заболевания, приводящие к кахексии, можно распознать по потере мышечной, а не жировой ткани; она вызвана изменениями метаболизма, частично обусловленными повышением уровня воспалительных цитокинов, таких как фактор некроза опухоли альфа и интерлейкины 1 и 6. Диагностический подход при потере веса невыясненного происхождения и снижении потребления корма у кошек расширяется и требует рассмотрения большого списка дифференциальных диагнозов (Таблица 2).
Шаг 4: тщательно изучите имеющиеся лабораторные данные
Минимальный объем обследования кошки с потерей веса должен включать развернутый анализ крови, биохимический профиль сыворотки с электролитами и анализ мочи. У кошки, имеющей доступ на улицу, следует провести анализ кала методом флотации. Если пациенту 7 лет и старше, следует также измерить концентрацию общего тироксина. Согласно рекомендациям Американской ассоциации ветеринарных врачей, работающих с кошками, при системных симптомах также следует провести тестирование на вирус лейкоза кошек (FeLV) и вирус иммунодефицита кошек (FIV).
Хотя предлагаемый подход комплексный, даже при тяжелом органическом поражении анализ крови может оказаться «нормальным». Поэтому важно внимательно оценить имеющиеся данные и по возможности сравнить их с данными анамнеза (см. Таблицу 3). Уровни некоторых анализируемых веществ, например креатинина и альбумина, в течение многих лет у здоровых кошек меняются на удивление слабо; поэтому очень полезно искать тенденции изменений, а не просто выходящие за рамки нормального диапазона значения. Например:
• Снижение сывороточного уровня альбумина (даже если он все еще остается в пределах референсного интервала) может указывать на заболевание желудочно-кишечного тракта (ЖКТ), например ВЗК или мелкоклеточную лимфому (МКЛ) (6). Важно иметь в виду, что у многих кошек со значительной дисфункцией желудочно-кишечного тракта стул продолжает оставаться оформленным; нормальный стул у этого вида животных не исключает диагноза ВЗК или аналогичных состояний. При необходимости следует измерить в сыворотке крови концентрацию фолиевой кислоты и кобаламина; субнормальные уровни любого из анализируемых веществ подтверждают подозрение на заболевание желудочно-кишечного тракта (подробнее см. в следующем разделе).
• Концентрация креатинина в сыворотке крови у кошек с хронической болезнью почек (ХБП) 1-й стадии находится в пределах референсного интервала и может сохраняться «нормальной» даже у некоторых кошек со 2-й стадией заболевания. Однако даже на ранней стадии ХБП функция почек значительно снижена и может сопровождаться значительной потерей веса (7). Причины этого сложные, но, вероятно, отражают обширные метаболические изменения в рамках ХБП и влияние воспалительных цитокинов на потребление пищи. Увеличение концентрации креатинина в сыворотке крови > 26 мкмоль/л (0,3 мг/дл) по сравнению с предыдущим значением на фоне эуволемии свидетельствует о значительном снижении функции почек. Диагноз подтверждается, если удельный вес мочи < 1,035 или имеется сопутствующая протеинурия (8). В таких случаях следует назначить дополнительные исследования функции почек, измерить систолическое артериальное давление и провести ультразвуковое исследование почек.
• Следует также тщательно проанализировать концентрацию общего тироксина (Т4), даже если она выглядит «нормальной». По мере старения кошки уровень общего T4 постепенно смещается к нижней границе референсного интервала. Таким образом, стабильно высокий или растущий уровень этого гормона у кошки с потерей веса свидетельствует о ранней стадии гипертиреоза и требует дальнейшего обследования (9). Как правило, если у страдающей потерей веса кошки старшего возраста общий T4 находится в верхней половине референсного интервала, необходимо измерить уровень свободного Т4. Также могут быть информативны концентрации специфичного для кошек тиреотропного гормона, поскольку при гипертиреозе они будут ниже нормы (10).
• У кошек общая концентрация кальция в сыворотке крови слабо коррелирует с уровнем ионизированного кальция; если общее значение находится в пределах референсного интервала, потенциально значимое повышение уровня ионизированного кальция можно не заметить. Если общее содержание кальция близко к верхней границе референсного интервала, может потребоваться измерить уровень ионизированного кальция (11). Гиперкальциемия любого генеза обычно сопровождается гипорексией, потеря веса описана почти у 20% кошек с окончательным диагнозом «идиопатическая гиперкальциемия» (12).
• «Нормальные» результаты общего анализа крови менее информативны для выявления причины потери веса; значимым может быть количество эозинофилов, приближающееся к верхней границе референсного интервала. Эозинофилы активируются при высвобождении хемокинов, например вследствие новообразований, таких как лимфома и мастоцитома, грибковых и протозойных инфекций (13). Значительное количество эозинофилов также выявляют у кошек с эозинофильным вариантом ВЗК.
Шаг 5: проведите дополнительное лабораторное обследование
Если минимальный объем обследования не дал полезных подсказок, автор рекомендует в первую очередь исследовать функцию желудочно-кишечного тракта и измерить в сыворотке крови концентрацию фолиевой кислоты и кобаламина. Гипофолатемия указывает на нарушение всасывания в двенадцатиперстной кишке, но относительно малочувствительна для диагностики заболеваний, ее нормальное значение не исключает воспалительных или неопластических изменений в этом сегменте кишечника (14). Концентрация кобаламина (В12) в сыворотке крови более полезна, ее субнормальные значения указывают на заболевание подвздошной кишки, дисбактериоз кишечника или экзокринную недостаточность поджелудочной железы. В практике автора значимым считают снижение до концентраций < 400 нг/л (референсный интервал: 290–1500 нг/л). Дефицит кобаламина может сам по себе снижать аппетит, поэтому гипокобаламинемию важно своевременно распознавать и лечить (15).
Также важно исключить хронический панкреатит. Это заболевание не всегда сопровождается рвотой или явным дискомфортом в области живота; проявления могут ограничиваться некоторым снижением потребления пищи. Хотя окончательный диагноз устанавливают только по результатам гистопатологического исследования образца ткани поджелудочной железы, предполагаемый клинический диагноз обычно основывают на сочетании симптомов (в том числе и изолированной гипорексии) с данными ультразвукового исследования органов брюшной полости и/или измерения иммунореактивности липазы, специфичной для поджелудочной железы. Увеличение этого параметра однозначно указывает на активное повреждение ацинарных клеток поджелудочной железы; однако оно может оказаться не единственной причиной потери веса пациента, и следует учитывать возможность сопутствующих нарушений работы желудочно-кишечного тракта или других системных заболеваний (16). Кроме того, активность воспалительного процесса тканей поджелудочной железы может изменяться, поэтому результат в пределах референсного интервала не позволяет исключить возможность циклической активации воспаления; рекомендуется измерять в динамике уровни липазы, специфичной для поджелудочной железы.
У собак новым биомаркером воспалительных состояний считают С-реактивный белок, концентрации которого повышаются при множестве заболеваний (17). Это положительный белок острой фазы, концентрация которого у собак существенно (часто более чем в 20 раз) возрастает при воспалении, травме, новообразованиях.
К сожалению, у кошек С-реактивный белок, по-видимому, мало полезен, и его не считают надежным показателем развития воспалительных заболеваний или опухолей. В одном из исследований было показано, что его концентрации в сыворотке крови у клинически здоровых кошек и кошек в послеоперационном периоде значимо не различались (18).
Шаг 6: проведите визуализирующие исследования
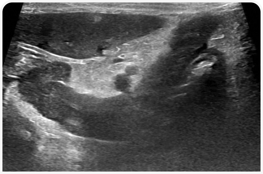
По мнению автора, у кошки с потерей веса невыясненного происхождения часто очень информативным для диагностики оказывается ультразвуковое исследование органов брюшной полости. Особенно внимательно исследуют желудочно-кишечный тракт, определяя общую толщину стенки различных отделов кишечника и соотношение толщины слизистой оболочки и мышечного слоя. Как правило, требуется дообследование любых сегментов тонкой кишки с толщиной стенки > 3 мм; на патологию также может указывать увеличение толщины мышечного слоя (19). Диффузное утолщение мышечного слоя иногда наблюдается у клинически здоровых кошек, но чаще — при ВЗК или инфильтративных заболеваниях желудочно-кишечного тракта, таких как мелкоклеточная лимфома и гистоплазмоз (Рисунок 3).
Ультразвуковое исследование позволяет обнаружить и другие проявляющиеся только незначительным дискомфортом и вызывающие вторичную гипорексию поражения органов брюшной области, такие как хронический панкреатит, хотя подобные малозаметные изменения эхогенности трудно оценить корректно, не имея высококачественного аппарата или значительного опыта специалиста (Рисунок 4) (16). При ультразвуковом исследовании легко выявить поражения почек (например, обструкцию мочеточника или гидронефроз), нередко вызывающие хронический дискомфорт, достаточно выраженный, чтобы нарушить потребление пищи (20). Если контралатеральная почка не поражена, уровень креатинина в сыворотке крови и удельный вес мочи будут находиться в пределах референсного интервала.
Если изменены размеры или эхогенность печени, селезенки и лимфатических узлов, рассмотрите целесообразность проведения тонкоигольной аспирационной биопсии для получения цитологических образцов.
Если ультразвуковое исследование органов брюшной полости оказалось неинформативным, целесообразно провести рентгенографию органов грудной клетки. Если клинических признаков респираторных заболеваний нет, причиной потери веса может быть рак легких (21). Исследование проводят в трех проекциях (левой и правой боковых и вентро-дорсальной); рекомендуется направить снимки на описание сертифицированному рентгенологу (Рисунок 5).

Шаг 7: поддерживающая терапия
Если потребление пищи явно неоптимальное, необходимо до завершения диагностического обследования постараться увеличить потребление калорий, например используя другие корма и стимуляторы аппетита. Новые продукты в идеале должны обладать высокой энергетической плотностью и вкусовой привлекательностью; при подозрении на дисфункции желудочно-кишечного тракта важно выбирать легкоусвояемые корма.
Кошки отличаются сложным поведением в отношении пищевых предпочтений и нередко отказываются от незнакомой пищи. Например, перевести кошку, привыкшую к исключительно сухому корму на влажный рацион может быть непросто; кошка может съедать понемногу кусочки нового корма, но не потреблять его в достаточном количестве. Если кошка не привыкла к разнообразным кормам, может оказаться сложным даже просто заменить один сухой корм на другой, с иной формой гранул или составом. Как правило, рекомендуется некоторое время предлагать прежний корм наряду с одним или двумя новыми, причем каждый новый продукт предлагают в отдельной миске и проверяют его потребление через 24 часа, после чего принимают какое‑либо решение. Очень важно тщательно измерять количество съедаемой пищи, чтобы надлежащим образом контролировать потребление калорий.
Можно стимулировать потребление пищи путем повышения вкусовой привлекательности знакомого или нового корма, добавляя к нему небольшое количество белка с выраженным вкусом (например, тунца или лосося). Вряд ли навредит и краткосрочное (2–3 недели) кормление рационом домашнего приготовления. Однако длительное несбалансированное питание может вызывать серьезные последствия, поэтому крайне рекомендуется консультация диетолога.
В последнее десятилетие для стимуляции аппетита у кошек использовался ряд лекарственных препаратов, назначаемых не по официальным показаниям. Безопасность и эффективность многих из них вызывали сомнения. К счастью, в настоящее время во многих странах лицензированы два препарата, специально предназначенные для лечения потери веса у кошек. Миртазапин назначают трансдермально, на внутреннюю сторону ушной раковины каждые 24 ч в дозе 2 мг/кг (22). Считается, что этот препарат улучшает аппетит путем повышения уровня центрального норадреналина и блокирования специфических подтипов серотониновых рецепторов. В исследовании его эффективности у кошек с непреднамеренной потерей веса на ≥ 5%, в группе лечения удалось набрать в среднем 3,9% массы тела за 2 недели, а в группе плацебо прибавка веса составила всего 0,4% (22). Трансдермальное назначение миртазапина, как правило, хорошо переносится, хотя зарегистрированы сообщения о раздражении кожи в месте нанесения. Передозировка может проявляться вокализацией, возбуждением, рвотой, поэтому у всех кошек с явными признаками заболевания печени или почек рекомендуемые дозу или частоту введения препарата снижают.
Капроморелин — агонист рецепторов грелина; в США для применения у кошек лицензирован жидкий препарат для перорального приема по 2 мг/кг каждые 24 часа (23). Грелин — пептидный гормон, секретируемый слизистой желудка; в межпрандиальные периоды его уровень в сыворотке крови повышается, стимулируя направленное на поиск пищи поведение. Препарат специально одобрен для использования при ХБП у кошек, и показано, что он способствует увеличению веса у кошек с этим заболеванием. В ходе восьминедельного исследования прибавка веса у получавших лечение кошек составила в среднем > 5%; в группе плацебо вес снижался в среднем на 1,6% (24). Грелин обладает значительными противовоспалительными свойствами и дополнительно стимулирует секрецию соматотропного гормона. Побочные эффекты включают слюнотечение, иногда — преходящее снижение частоты сердечных сокращений и артериального давления после введения первых нескольких доз.
Если эти простые вмешательства не позволяют достичь адекватного потребления пищи, следует рассмотреть более агрессивные меры (например, установку эзофагеального зонда).
Заключение
Даже небольшое снижение веса кошки может сигнализировать о серьезном фоновом заболевании; вес у кошек (во многом подобно людям) обычно стабильный или медленно увеличивается, если потребление калорий намеренно не ограничено или не развилось заболевание. Таким образом, при потере веса невыясненного происхождения требуются тщательное обследование и логическая оценка данных. Во время диагностического обследования следует начать поддерживающую терапию, способствующую адекватному потреблению калорий.
Литература
-
1.Niemiec B, Gawor J, Nemec A, et al. WSAVA global dental guidelines. J. Small Anim. Pract. 2020;61:E36-161.
-
2.Stiles J, Kimmitt B. Eye examination in the cat: Step-by-step approach and common findings. J. Feline Med. Surg. 2016;18:702-711.
-
3.Delgado M, Dantas LM. Feeding cats for optimal mental and behavioral well-being. Vet. Clin. North Am. Small. Anim. Pract. 2020;50:939-953.
-
4.Witzel-Rollins A, Murphy M. Assessing nutritional requirements and current intake. Vet. Clin. North Am. Small Anim. Pract. 2020;50:925-937.
-
5.Freeman LM. Cachexia and sarcopenia in companion animals: An under-utilized natural animal model of human disease. J. Cachex. Sarco. Muscle Rapid. Commun. 2018;1:1-7.
-
6.Paulin MV, Couronné L, Beguin J, et al. Feline low-grade alimentary lymphoma: an emerging entity and a potential animal model for human disease. BMC Vet. Res. 2018;14:1-9.
-
7.Greene JP, Lefebvre SL, Wang M, et al. Risk factors associated with the development of chronic kidney disease in cats evaluated at primary care veterinary hospitals. J. Am. Vet. Med. Assoc. 2014;244:320-327.
-
8.Sparkes AH, Caney S, Chalhoub S, et al. ISFM consensus guidelines on the diagnosis and management of feline chronic kidney disease. J. Feline Med. Surg. 2016;18:219-239.
-
9.Carney HC, Ward CR, Bailey SJ, et al. 2016 AAFP guidelines for the management of feline hyperthyroidism. J. Feline Med. Surg. 2016;18:400-416.
-
10.TRUFORMA™ point-of-care canine and feline thyroid-stimulating hormone (TSH) assay. Zomedica. http://docplayer.net/186018371-Thyroid-stimulating-hormone-tsh-assay.html. Accessed Nov 22, 2022
-
11.de Brito Galvão JF, Parker V, Schenck PA, et al. Update on feline ionized hypercalcemia. Vet. Clin. North Am. Small Anim. Pract. 2017;47:273-292.
-
12.Midkiff AM, Chew DJ, Randolph JF, et al. Idiopathic hypercalcemia in cats. J. Vet. Intern. Med. 2000;14:619-626.
-
13.Harvey JW. The feline blood film: 2. Leukocyte and platelet morphology. J. Feline Med. Surg. 2017;19:747-757.
-
14.Reed N, Gunn-Moore D, Simpson K. Cobalamin, folate and inorganic phosphate abnormalities in ill cats. J. Feline Med. Surg. 2007;9:278-288.
-
15.Ruaux CG, Steiner JM, Williams DA. Early biochemical and clinical responses to cobalamin supplementation in cats with signs of gastrointestinal disease and severe hypocobalaminemia. J. Vet. Intern. Med. 2005;19:155-160.
-
16.Bazelle J, Watson P. Is it being overdiagnosed? Feline pancreatitis. Vet. Clin. North Am. Small Anim. Pract. 2020;50:1107-1021.
-
17.Eckersall PD, Bell R. Acute phase proteins: Biomarkers of infection and inflammation in veterinary medicine. Vet. J. 2010;185:23-27.
-
18.Kajikawa T, Furuta A, Onishi T, et al. Changes in concentrations of serum amyloid A protein, α1-acid glycoprotein, haptoglobin, and C-reactive protein in feline sera due to induced inflammation and surgery. Vet. Immunol. Immunopathol. 1999;68:91-98.
-
19.Griffin S. Feline abdominal ultrasonography: What’s normal? What’s abnormal? The diseased gastrointestinal tract. J. Feline Med. Surg. 2019;21:1047-1060.
-
20.Griffin S. Feline abdominal ultrasonography: What’s normal? What’s abnormal? The kidneys and perinephric space. J. Feline Med. Surg. 2020;22:409-427.
-
21.Aarsvold S, Reetz JA, Reichle JK, et al. Computed tomographic findings in 57 cats with primary pulmonary neoplasia. Vet. Radiol. Ultrasound 2015;56:272-277.
-
22.Poole M, Quimby JM, Hu T, et al. A double-blind, placebo-controlled, randomized study to evaluate the weight gain drug, mirtazapine transdermal ointment, in cats with unintended weight loss. J. Vet. Pharmacol. Ther. 2019;42:179-188.
-
23.Wofford JA, Zollers B, Rhodes L, et al. Evaluation of the safety of daily administration of capromorelin in cats. J. Vet. Pharmacol. Ther. 2018;41:324-333.
-
24.FDA. Freedom of information summary: Elura (NADA 141-536). https://animaldrugsatfda.fda.gov/adafda/app/search/public/document/downloadFoi/9908. Accessed Nov 22, 2022.
«Потеря веса невыясненного происхождения у кошек»!
баллы
были начислены ранее