Введение
Внутриклеточный простейший паразит Toxoplasma gondii может поражать большинство видов позвоночных животных и, хотя кошки являются его единственным окончательным хозяином, постепенно становится серьезной опасностью во многих экосистемах. Попадание паразита в организм окончательного или промежуточного хозяина обычно вызывает хроническую субклиническую (то есть бессимптомную) инфекцию; однако у восприимчивых или неиммунокомпетентных особей токсоплазмоз может привести к аборту и развитию репродуктивной недостаточности или даже недостаточности внутренних органов и смерти (1).
В настоящее время токсоплазмоз встречается по всему миру; распространенность выделения ооцист кошками в любой момент времени в разных странах составляет от 0,7 до 41%. В США распространенность положительных титров антител к T. gondii у кошек достигает 14–100% (2). Хотя инфицированность человека также высокая (например, в США инфицированы около 40 млн человек), большинство случаев инфекции протекают бессимптомно, но некоторые, особенно при ослабленном иммунитете, могут сопровождаться поражениями глаз или нервной системы (3).
Toxoplasma gondii имеет сложный жизненный цикл, требующий попадания к окончательному и промежуточному хозяину для завершения полового и бесполого циклов (Рисунок 1). Паразит существует в трех различных формах — тахизоит, брадизоит и спорозоит (в ооцисте), и все они могут быть заразными для человека.
Тахизоиты представляют собой быстро делящуюся бесполую стадию паразита и могут обнаруживаться в тканях любого позвоночного хозяина. Брадизоиты также распространены повсеместно и также могут быть обнаружены в тканях хозяина, но на этой стадии жизни они делятся медленно и инкапсулируются.
Кошки, окончательные хозяева T. gondii, заражаются при проглатывании цист паразита, например при охоте и поедании инфицированной токсоплазмами добычи (Рисунок 2) или спорулированных или инфекционных ооцист (из почвы, воды или растений, загрязненных фекалиями кошек).
Паразит у этого вида может размножаться половым путем, и инфицированные брадизоитами или ооцистами кошки выделяют ооцисты с фекалиями спустя соответственно 3–10 или 19–48 дней после их проглатывания, выделение ооцист может продолжаться до двух недель (Рисунок 3) (2, 4).
Ооцисты образуют споры и становятся инфекционными через 1–5 дней после выделения и чрезвычайно устойчивы в окружающей среде.
Основные способы заражения T. gondii людей включают употребление в пищу не прошедшего достаточную термическую обработку мяса, содержащего цисты паразита, или попадание ооцист в результате фекального загрязнения пищи, рук и т. д. (4, 5).
Токсоплазмоз у кошек выявить трудно, поскольку в большинстве случаев инфекция протекает бессимптомно; из клинических признаков чаще всего наблюдают лихорадку, анорексию, летаргию.
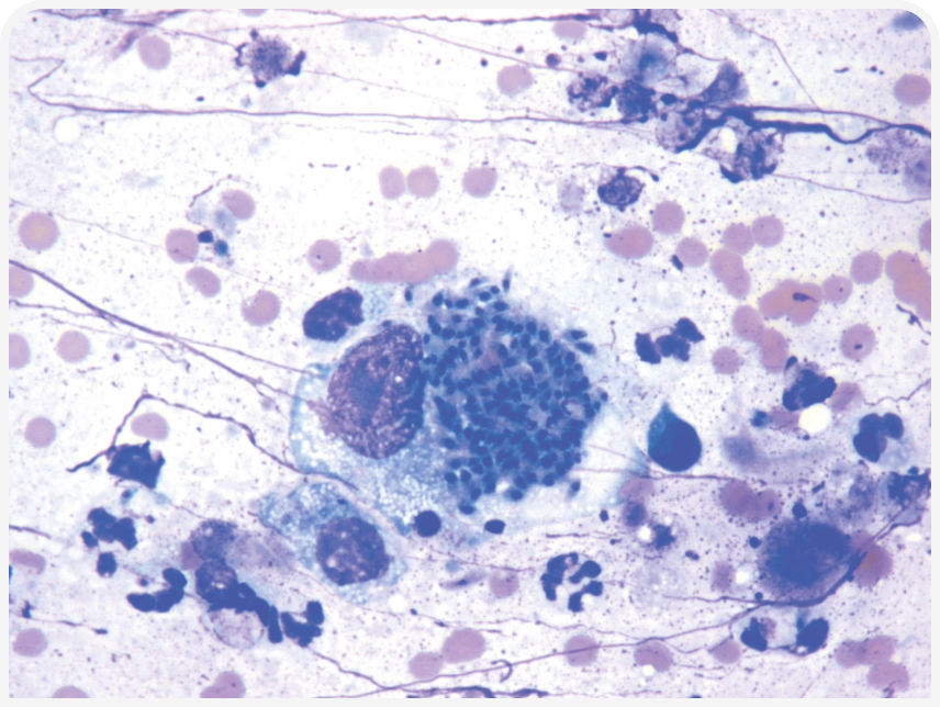
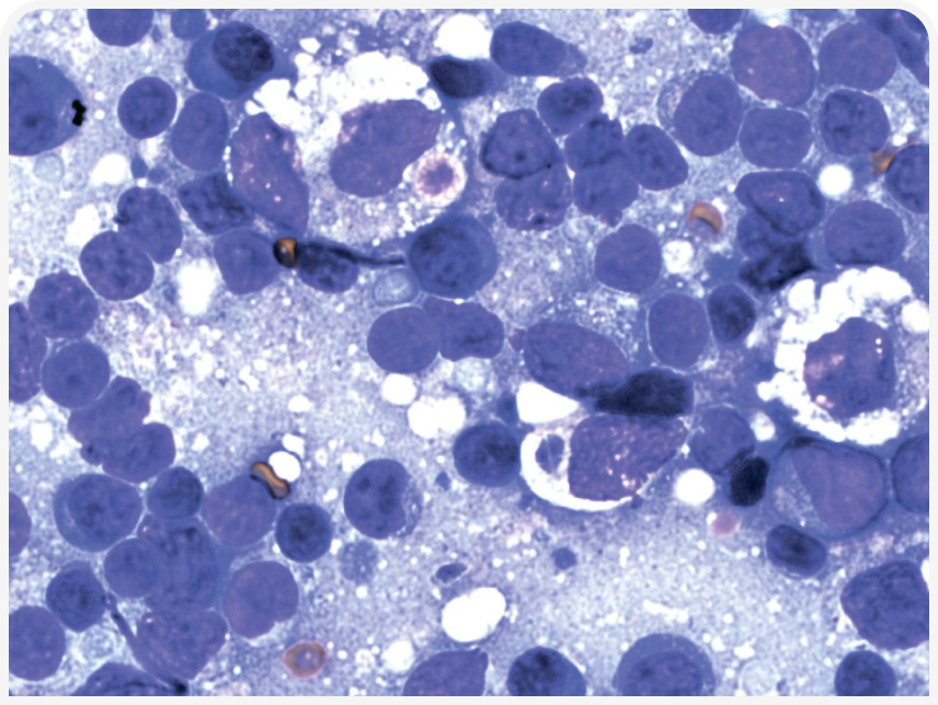
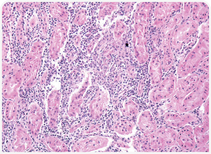
Внутриклеточный рост микроорганизма вызывает прямое цитопатическое действие с воспалением и некрозом клеток хозяина, проявляющееся более специфическими симптомами в зависимости от локализации тахизоитов в организме (Рисунки 4–6); возможны поражение глаз, неврологические симптомы, пневмония, желтуха (4).
Факторы риска развития клинически проявляющегося заболевания: сопутствующая инфекция вирусами лейкемии кошек и иммунодефицита кошек, опухоль, прием иммунодепрессивных препаратов (особенно циклоспорина). Острые инфекции, особенно у котят, обычно приводят к летальному исходу (6).
Достоверная диагностика токсоплазмоза осложнена. Из гематологических нарушений он может проявляться нерегенеративной анемией, лейкоцитозом, лимфоцитозом, моноцитозом, эозинофилией. Тяжелые инфекции также могут вызывать лейкопению; в частности нейтропению со сдвигом формулы влево и появлением дегенеративных форм нейтрофилов. Изменения биохимических показателей сыворотки крови и мочи зависят от пораженных органов (6).
Ограничивать диагностическое обследование анализом фекалий кошки для выявления ооцист T. gondii не рекомендуют, поскольку период их выделения короткий и по морфологии они сходны с другими паразитами (4, 7). Кроме того, выявление ооцист в фекалиях кошек не коррелирует с развитием клинических проявлений заболевания (2).
Вместо этого для окончательной прижизненной диагностики рекомендуют серологическое тестирование; высокие титры IgM (> 1:256), как правило, соответствуют недавней инфекции T. gondii. В качестве альтернативы можно использовать парные титры IgG (взятые с интервалом 2–4 недели), хотя оценить результаты исследования может быть сложно (Таблица 1) (1, 2). У некоторых кошек инфекция T. gondii может протекать хронически, при этом в тканях цисты разрываются и повторно выделяют брадизоиты в кровоток; выделением ооцист такие эпизоды сопровождаются не всегда, в зависимости от иммунного статуса животного (8).
Здоровых кошек обследовать на антитела к T. gondii не рекомендуют (6), поскольку серологическое тестирование не позволяет точно прогнозировать выделение ооцист и большинство кошек при активном выделении ооцист остаются серонегативными (2).
Лечение и прогноз
Лицензированных методов лечения токсоплазмоза кошек нет, но препаратом выбора для лечения острой или диссеминированной инфекции считают клиндамицин (10–12,5 мг/кг внутрь каждые 12 ч в течение 4 недель) в сочетании с соответствующей поддерживающей терапией (6). Для уменьшения выделения ооцист можно назначить пириметамин (0,25–0,5 мг/кг внутрь каждые 12 ч в течение 4 недель) или сульфаниламиды (15–30 мг/кг внутрь каждые 12 ч в течение 4 недель); как правило, они эффективны в острой фазе инфекции, но редко позволяют добиться эрадикации паразита.
Альтернативный вариант — комбинированное лечение триметопримом и сульфаниламидами (15 мг/кг внутрь каждые 12 ч в течение 4 недель) (2), также можно рассмотреть назначение антикокцидиальных препаратов (например, толтразурила, поназурила). Следует отметить, что на брадизоитной стадии инфекции ни один из методов лечения не показал высокую эффективность (1).
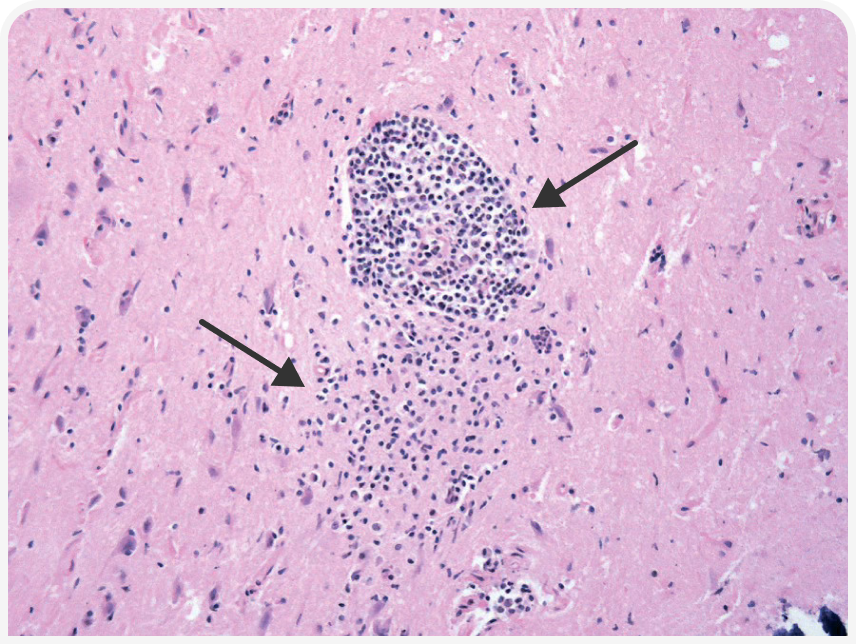
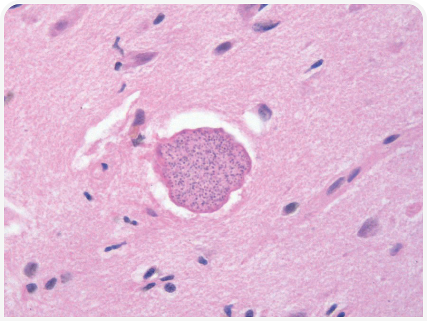
Прогноз для кошек с клиническими проявлениями токсоплазмоза зависит от ряда факторов, в том числе от пораженных систем/органов (Рисунки 7 и 8) и времени, прошедшего от момента заражения до начала лечения. Как правило, если в течение 2–3 дней после начала терапии клинические проявления улучшаются, прогноз благоприятный, но прогноз при поражении легких или печени неблагоприятный (4).
Люди подвержены риску заражения T. gondii при употреблении пищи или воды, загрязненных ооцистами, цист в зараженном мясе, не прошедшем достаточную термическую обработку, а также при переливании крови, трансплантации органов или врожденной инфекции. Большинство случаев инфекции протекают бессимптомно, хотя описано развитие лихорадки, лимфаденопатии и недомогания.
Однако инфекция T. gondii представляет серьезный риск для плода во время беременности; когда тахизоиты мигрируют трансплацентарно и достигают плода, развивается врожденный токсоплазмоз, который может сопровождаться тяжелыми поражениями глаз и/или нервной системы (1).
Хотя обычно при рождении заболевание не сопровождается симптоматикой, в более позднем возрасте могут развиться тяжелые нарушения зрения, судороги или другие неврологические нарушения (9). Кроме того, риск развития клинически проявляющегося токсоплазмоза, часто поражающего мозг, легкие и/или другие жизненно важные органы, возрастает в любом возрасте на фоне ослабленного иммунитета (5).
По всему миру накапливается все больше сообщений, что ооцисты токсоплазмы загрязняют почву и грунтовые воды. Авторы обзора 22 исследований пришли к выводу, что это является серьезным поводом для беспокойства, поскольку инфицированные фекалии кошек в значительной степени загрязняют водоемы (3). Загрязнение океана привело к заражению и гибели различных морских млекопитающих, включая тюленей, китов, дельфинов и каланов (10, 11).
Также появляется риск для питьевой воды; в различных странах смывание использованного наполнителя в унитаз способствовало ряду вспышек токсоплазмоза у человека (12, 13).
Ооцисты весьма устойчивы и могут выживать и оставаться инфекционными многие годы, даже в неоптимальных условиях (14). Более того, вероятно, что заразить человека может очень небольшое количество ооцист; в исследованиях на свиньях было показано, что для индуцирования инфекции достаточно одной ооцисты (15). Таким образом, решающее значение имеют меры по ответственной утилизации фекалий кошек.
Вопреки распространенному мнению, прямой контакт с кошками не является существенным фактором риска заражения человека Toxoplasma gondii (16). Однако простой стратегией предотвращения заражения может служить сама по себе ежедневная уборка кошачьего лотка (Рисунок 9) — ооцисты приобретают инфекционность не ранее чем через 24 часа после выделения (4), — а также содержание кошек исключительно в помещении (где это возможно).
Ветеринарные врачи должны играть решающую роль в информировании клиентов о мерах снижения рисков, связанных с инфекцией T gondii, как у самих кошек, так и в окружающей среде (Таблица 2).
Toxoplasma gondii — паразит, часто вызывающий бессимптомные инфекции у кошек, но при острой или диссеминированной инфекции поражающий глаза, мозг или другие системы организма. Предпочтительный препарат для лечения — клиндамицин. Окончательный диагноз подтверждают серологическим анализом на IgM либо на парный титр IgG.
Токсоплазмоз — зоонозное заболевание, поэтому особенно опасен для беременных или лиц с ослабленным иммунитетом, но само по себе владение кошкой не создает существенного риска заражения человека; значительно более опасно употребление пищи или воды, загрязненных ооцистами, или сохранение цист паразита в не прошедшем достаточную термическую обработку мясе.
Серьезную опасность для здоровья также представляет загрязнение почвы и воды фекалиями кошек. Предотвратить передачу T. gondii позволяет соблюдение простых гигиенических правил; владельцы кошек могут значительно снизить риск зоонозного инфицирования, содержа питомцев в помещении (если это возможно) и ежедневно убирая кошачий лоток. Жизненный цикл Toxoplasma gondii
Клинические признаки токсоплазмоза у кошек
Диагностика
Риск развития зооноза
КАРТИНКА
Заключение
Литература
«Токсоплазмоз у кошек »!
Заработанные
баллы
были начислены ранее
телефона ниже для сброса пароля.
на номер
+7 {{ formatted_phone }}
Вы успешно прошли тест!
зарегистрироваться/авторизоваться
{{ formatted_phone }}.
Введите последние четыре цифры номера входящего звонка.
весь модуль
всех видеоуроков модуля