Эмфизематозный цистит

28 ноября 2025 г.
Кол-во просмотров 755
Время чтения 7 мин
Прокофьева Наталия Игоревна
Ветеринарный врач интернальной медицины со специализацией в области нефрологии и урологии
Ветеринарный врач интернальной медицины со специализацией в области нефрологии и урологии, врач-эксперт Национальной Ветеринарной Палаты в области общей терапии, нефрологии и урологии. Ветеринарный врач сети «Белый клык». Соучредитель Ассоциации Ветеринарных врачей «Нефроуровет»
Эмфизематозный цистит — воспаление мочевого пузыря, при котором в его стенках образуются пузырьки газа. Это происходит из-за того, что бактерии в моче ферментируют глюкозу или белковые субстанции, выделяя газ.
Чаще всего такая проблема возникает у животных с диабетом, так как у них в моче много сахара, что создает идеальные условия для бактерий. Также эмфизематозный цистит может развиться у животных с гиперадренокортицизмом и другими заболеваниями, приводящими к постоянной протеинурии. Реже этот вид цистита развивается у животных с атонией детрузора и спонтанно, без очевидного предрасполагающего заболевания.
Симптомы эмфизематозного цистита такие же, как и при любом другом воспалении стенки мочевого пузыря. У пациента может отмечаться гематурия, поллакиурия, странгурия и др. Может быть также бессимптомное течение заболевания. Рекомендуется проводить терапию инфекции мочевыделительной системы при выявлении эмфизематозного цистита, даже если клинических признаков нет.
Дифференциальные диагнозы для поллакиурии или странгурии с гематурией:
  • Бактериальный цистит.
  • Уролитиаз.
  • Новообразование стенки мочевого пузыря.
  • У кобелей — доброкачественная гиперплазия простаты, бактериальный цистит, рак простаты.
  • Цистит иной этиологии (грибковый, паразитарный, на фоне применения циклофосфамида).
Появление газа в просвете мочевого пузыря может быть также ятрогенным вследствие катетеризации уретры, цистотомии, цистоскопии и т.п.
При выявлении эмфизематозного цистита необходимо провести поиск предрасполагающего заболевания.
Столкнувшись с эмфизематозным циститом впервые некоторые, врачи подозревают у пациента анаэробную инфекцию. И отправляют посев мочи для культивирования анаэробной инфекции, а также назначают антибиотики, действующие против бактерий этого типа. Однако в этих действиях нет смысла.
В основном, эмфизематозный цистит у собак и кошек ассоциирован с самым распространенным уропатогеном Escherichia coli (аэробная флора). Реже мы обнаруживаем в посевах мочи другие бактерии.
В ходе обследования мы можем обнаружить локальное скопление газа в стенке мочевого пузыря. А также столкнуться с трудностями в визуализации мочевого пузыря из-за тотального присутствия газа в стенках мочевого пузыря и артефактов изображения. Присутствие газа также может быть выявлено в уретре, из редка может быть выявлен газ в почечных лоханках и в тканях простаты у кобелей.
Рисунок 1. Рентгеновский снимок брюшной полости и области уретры в боковой проекции пациента с эмфизематозным циститом.
Клинический случай
Интактный кобель 8 лет, вес 50 кг доставлен в клинику в связи с макрогематурией.
Осмотр не примечателен, пациент стабилен. Месяцем ранее проведена кастрации в связи с доброкачественной кистозной гиперплазией простаты. Выявлено присутствие газа в стенке мочевого пузыря и уретры. Исключен сахарный диабет, протеинурия ранее не выявлялась.
Не удалось получить образец мочи в ходе цистоцентеза ввиду плохой визуализации мочевого пузыря. Отбор проб мочи проведен в ходе катетеризации уретры с соблюдением всех правил асептики и антисептики.
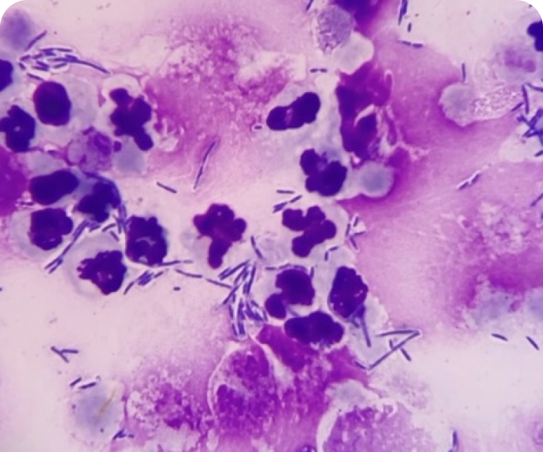
При микроскопии осадка мочи выявлена лейкоцитурия и палочкообразные бактерии. В посеве мочи рост бактерии E.coli 10×6 КОЕ/мл.
По результатам посева мочи назначен энрофлоксацин в дозе 7,5 мг/кг/сутки. Выбор антибиотика связан с тем, что необходимо проникновение препарата не только в мочевой пузырь, но и в простату. Минимальный курс лечения 3 недели и может быть продлен при необходимости.
Рисунок 2. Окрашенный осадок мочи, лейкодиф, х1000, лейкоциты и палочкообразные бактерии.

Выбор терапии при любой инфекции мочевыделительной системы и зависит от:
  • состояния пациента,
  • видовых и породных особенностей,
  • наличия сопутствующих заболеваний,
  • результатов клинического анализа мочи и посева мочи,
  • того, в какие отделы МВС должен проникнуть антибиотик (мочевой пузырь, паренхима почек, ткани простаты),
  • ответ на первичное лечение.
Терапия при эмфизематозном цистите проводится как при любой другой бактериальной инфекции мочевыделительной системы!
Эмфизематозный цистит
АНЕСТЕЗИОЛОГИЯ
Курс
Офлайн
Бесплатно
Основы ветеринарной анестезиологии
Многопрофильный научно-образовательный центр “DuoCor”
Корольчук Михаил Витальевич
Ветеринарный врач-анестезиолог МВЦ "ДваСердца"
Мерзликина Екатерина Сергеевна
Ветеринарный врач-анестезиолог МВЦ «ДваСердца»
Рубанов Максим Вячеславович
Ветеринарный врач-анестезиолог МВЦ «ДваСердца»
Нагайка Маргарита
Ветеринарный врач-анестезиолог МВЦ «ДваСердца»
11-15
мая
10:00
По Москве
Многопрофильный научно-образовательный центр “DuoCor”
Корольчук Михаил Витальевич
Ветеринарный врач-анестезиолог МВЦ "ДваСердца"
Мерзликина Екатерина Сергеевна
Ветеринарный врач-анестезиолог МВЦ «ДваСердца»
Рубанов Максим Вячеславович
Ветеринарный врач-анестезиолог МВЦ «ДваСердца»
Нагайка Маргарита
Ветеринарный врач-анестезиолог МВЦ «ДваСердца»
ГАСТРОЭНТЕРОЛОГИЯ
Курс
Онлайн и офлайн
Бесплатно
Гастроэнтерология мелких домашних животных - программа дополнительной профессиональной переподготовки
Dr.Hug
Пожарская Дарья
Ветеринарный врач, дерматолог, эндокринолог
Кулешов Алексей Алексеевич
научный руководитель, гастроэнтеролог ветеринарных центров «Dr.Hug» и образовательного центра «Vet Brain».
Махкамова Шахноза
Ветеринарный врач-дерматолог, диетолог ветеринарных центров Dr.Hug
Имберт Габриела
Ветеринарный врач УЗД
Громова Алёна Львовна
Ветеринарный врач-реаниматолог МВЦ «ДваСердца»
Калашникова Ольга Владимировна
ветеринарный врач-гастроэнтеролог, токсиколог ВК Сотникова
Скоробогатова Маргарита
Ветеринарный врач-диетолог, дерматолог, врач поведенческой медицины СВК «Астин»
12 -
мая
12
ноября
10:00
По Москве
Dr.Hug
Пожарская Дарья
Ветеринарный врач, дерматолог, эндокринолог
Кулешов Алексей Алексеевич
научный руководитель, гастроэнтеролог ветеринарных центров «Dr.Hug» и образовательного центра «Vet Brain».
Махкамова Шахноза
Ветеринарный врач-дерматолог, диетолог ветеринарных центров Dr.Hug
Имберт Габриела
Ветеринарный врач УЗД
Громова Алёна Львовна
Ветеринарный врач-реаниматолог МВЦ «ДваСердца»
Калашникова Ольга Владимировна
ветеринарный врач-гастроэнтеролог, токсиколог ВК Сотникова
Скоробогатова Маргарита
Ветеринарный врач-диетолог, дерматолог, врач поведенческой медицины СВК «Астин»
НЕОТЛОЖНАЯ МЕДИЦИНА
Вебинар
Онлайн
Бесплатно
Шок (гиповолемический, кардиогенный, септический): диагностика и терапия
Типисова Вероника Олеговна
Врач интенсивной терапии и стационара, руководитель стационарного отделения, заместитель главного врача филиала «Крылатское» ветеринарной клиники 
«Белый Клык».
14
мая
11:00
По Москве
Типисова Вероника Олеговна
Врач интенсивной терапии и стационара, руководитель стационарного отделения, заместитель главного врача филиала «Крылатское» ветеринарной клиники 
«Белый Клык».
ГАСТРОЭНТЕРОЛОГИЯ
Мастер-Класс
Офлайн
Бесплатно
Гибкая эндоскопия ЖКТ
Образовательный центр Василёк
Заболотнов Олег Олегович
руководитель отделения хирургии, врач-эндоскопист Skolkovo Vet. 
Проводит операции на грудной и брюшной полостях, занимается эндохирургией 
и остаётся одним из немногих хирургов, делающих пластику ран разной сложности.
15-16
мая
10:00
По Москве
Образовательный центр Василёк
Заболотнов Олег Олегович
руководитель отделения хирургии, врач-эндоскопист Skolkovo Vet. 
Проводит операции на грудной и брюшной полостях, занимается эндохирургией 
и остаётся одним из немногих хирургов, делающих пластику ран разной сложности.
ХИРУРГИЯ
Мастер-Класс
Офлайн
Бесплатно
Мастер-класс «Комплексный подход к хирургическому лечению органов дыхания»
Образовательный центр Василёк
Заболотнов Олег Олегович
руководитель отделения хирургии, врач-эндоскопист Skolkovo Vet. 
Проводит операции на грудной и брюшной полостях, занимается эндохирургией 
и остаётся одним из немногих хирургов, делающих пластику ран разной сложности.
17-18
мая
10:00
По Москве
Образовательный центр Василёк
Заболотнов Олег Олегович
руководитель отделения хирургии, врач-эндоскопист Skolkovo Vet. 
Проводит операции на грудной и брюшной полостях, занимается эндохирургией 
и остаётся одним из немногих хирургов, делающих пластику ран разной сложности.
КАРДИОЛОГИЯ
Курс
Офлайн
Бесплатно
Ветеринарная кардиология 2 Модуль
Многопрофильный научно-образовательный центр “DuoCor”
Крашенинников Леонид Валерьевич
Ведущий кардиолог ЕВЦ, заведующий отделением кардиологии, лектор множества ветеринарных конференций, член РКВО
Иванова Екатерина Валентиновна
ветеринарный врач-кардиолог, руководитель направления «Ветеринарная медицина» ЧОУ ДПО «МНОЦ «ДуоКор», член экспертного совета КВО, врач-эксперт НВП
Каменева Анна Владимировна
ветеринарный врач-кардиолог, врач визуальной диагностики, зав. отделением кардиологии ВЦ «Зоостатус» г. Москва
Строгуш Полина Андреевна
ветеринарный врач-кардиолог МВЦ "ДваСердца"
Плахотина Елена Юрьевна
ветеринарный врач-кардиолог МВЦ "ДваСердца"
18-24
мая
10:00
По Москве
Многопрофильный научно-образовательный центр “DuoCor”
Крашенинников Леонид Валерьевич
Ведущий кардиолог ЕВЦ, заведующий отделением кардиологии, лектор множества ветеринарных конференций, член РКВО
Иванова Екатерина Валентиновна
ветеринарный врач-кардиолог, руководитель направления «Ветеринарная медицина» ЧОУ ДПО «МНОЦ «ДуоКор», член экспертного совета КВО, врач-эксперт НВП
Каменева Анна Владимировна
ветеринарный врач-кардиолог, врач визуальной диагностики, зав. отделением кардиологии ВЦ «Зоостатус» г. Москва
Строгуш Полина Андреевна
ветеринарный врач-кардиолог МВЦ "ДваСердца"
Плахотина Елена Юрьевна
ветеринарный врач-кардиолог МВЦ "ДваСердца"
НЕОТЛОЖНАЯ МЕДИЦИНА
Вебинар
Онлайн
Бесплатно
Инфузионная терапия 
(шоковая и плановая)
Типисова Вероника Олеговна
Врач интенсивной терапии и стационара, руководитель стационарного отделения, заместитель главного врача филиала «Крылатское» ветеринарной клиники 
«Белый Клык».
19
мая
11:00
По Москве
Типисова Вероника Олеговна
Врач интенсивной терапии и стационара, руководитель стационарного отделения, заместитель главного врача филиала «Крылатское» ветеринарной клиники 
«Белый Клык».
ОРТОПЕДИЯ
Курс
Офлайн
Бесплатно
Остеосинтез. Основной курс
Образовательный центр Василёк
Бекичеков Вадим Сергеевич:
Ветеринарный врач хирург-ортопед, травматолог, нейрохирург. Основатель ветеринарного центра «Vetmajor» Член АО VET (подразделение AO ASIF — международная ассоциация остеосинтеза) Член Европейского общества ветеринарной ортопедии и травматологии (ESVOT)
21-22
мая
10:00
По Москве
Образовательный центр Василёк
Бекичеков Вадим Сергеевич:
Ветеринарный врач хирург-ортопед, травматолог, нейрохирург. Основатель ветеринарного центра «Vetmajor» Член АО VET (подразделение AO ASIF — международная ассоциация остеосинтеза) Член Европейского общества ветеринарной ортопедии и травматологии (ESVOT)
ПСИХОЛОГИЧЕСКОЕ ЗДОРОВЬЕ
Вебинар
Онлайн
Бесплатно
Как принимать критику от старших коллег без потери самооценки
Широковских Елена
Клинический и перинатальный психолог, Специалист Эмоционально-образной терапии, Автор методик в области психологии, колоды метафорических карт 
и трансформационной игры.
26
мая
11:00
По Москве
Широковских Елена
Клинический и перинатальный психолог, Специалист Эмоционально-образной терапии, Автор методик в области психологии, колоды метафорических карт 
и трансформационной игры.
АНЕСТЕЗИОЛОГИЯ
Курс
Офлайн
Бесплатно
Анестезия в торакальной хирургии
Многопрофильный научно-образовательный центр “DuoCor”
Корольчук Михаил Витальевич
Ветеринарный врач-анестезиолог МВЦ "ДваСердца"
Нагайка Маргарита
Ветеринарный врач-анестезиолог МВЦ «ДваСердца»
27-28
мая
10:00
По Москве
Многопрофильный научно-образовательный центр “DuoCor”
Корольчук Михаил Витальевич
Ветеринарный врач-анестезиолог МВЦ "ДваСердца"
Нагайка Маргарита
Ветеринарный врач-анестезиолог МВЦ «ДваСердца»
ХИРУРГИЯ
Мастер-Класс
Офлайн
Бесплатно
Основы хирургического вмешательства на грудной полости
Образовательный центр Василёк
Заболотнов Олег Олегович
руководитель отделения хирургии, врач-эндоскопист Skolkovo Vet. 
Проводит операции на грудной и брюшной полостях, занимается эндохирургией 
и остаётся одним из немногих хирургов, делающих пластику ран разной сложности.
31
мая
10:00
По Москве
Образовательный центр Василёк
Заболотнов Олег Олегович
руководитель отделения хирургии, врач-эндоскопист Skolkovo Vet. 
Проводит операции на грудной и брюшной полостях, занимается эндохирургией 
и остаётся одним из немногих хирургов, делающих пластику ран разной сложности.
НЕОТЛОЖНАЯ МЕДИЦИНА
Курс
Офлайн
Бесплатно
Интенсивная терапия и реанимация собак и кошек. 1 Модуль
Многопрофильный научно-образовательный центр “DuoCor”
Малышева Дарья Владимировна
Ветеринарный врач анестезиолог/пульмонолог
Дегтерев Георгий Денисович
Ветеринарный врач визуальной диагностики МВЦ «ДваСердца»
Бойкова Валерия Ростиславовна
Ветеринарный врач клиники DuoCor
Громова Алёна Львовна
Ветеринарный врач-реаниматолог МВЦ «ДваСердца»
Корольчук Михаил Витальевич
Ветеринарный врач-анестезиолог МВЦ "ДваСердца"
Бондарь Тимофей Алексеевич
ветеринарный врач-реаниматолог МВЦ "ДваСердца"
Федорова Анна Руслановна
Ветеринарный врач-реаниматолог МВЦ "ДваСердца"
01-05
июня
10:00
По Москве
Многопрофильный научно-образовательный центр “DuoCor”
Малышева Дарья Владимировна
Ветеринарный врач анестезиолог/пульмонолог
Дегтерев Георгий Денисович
Ветеринарный врач визуальной диагностики МВЦ «ДваСердца»
Бойкова Валерия Ростиславовна
Ветеринарный врач клиники DuoCor
Громова Алёна Львовна
Ветеринарный врач-реаниматолог МВЦ «ДваСердца»
Корольчук Михаил Витальевич
Ветеринарный врач-анестезиолог МВЦ "ДваСердца"
Бондарь Тимофей Алексеевич
ветеринарный врач-реаниматолог МВЦ "ДваСердца"
Федорова Анна Руслановна
Ветеринарный врач-реаниматолог МВЦ "ДваСердца"
ХИРУРГИЯ
Курс
Офлайн
Бесплатно
Диагностическая эндоскопия
Многопрофильный научно-образовательный центр “DuoCor”
Новиков Константин Игоревич
Ведущий хирург, эндоскопист МВЦ "ДваСердца"
Всеволод Ермаков
Ведущий хирург, невролог, нейрохирург, заведующий отделением хирургии МВЦ «ДваСердца»
Гвоздикина Ксения Александровна
Ветеринарный врач — хирург МВЦ «Два Сердца». Специализация — эндоскопия, эндохирургия, общая хирургия. Стаж работы 10 лет. Окончила СПБГАВМ в 2015 году. Постоянный участник национальной ветеринарной конференции, конференций Санкт-Петербургского ветеринарного общества
08-11
июня
10:00
По Москве
Многопрофильный научно-образовательный центр “DuoCor”
Новиков Константин Игоревич
Ведущий хирург, эндоскопист МВЦ "ДваСердца"
Всеволод Ермаков
Ведущий хирург, невролог, нейрохирург, заведующий отделением хирургии МВЦ «ДваСердца»
Гвоздикина Ксения Александровна
Ветеринарный врач — хирург МВЦ «Два Сердца». Специализация — эндоскопия, эндохирургия, общая хирургия. Стаж работы 10 лет. Окончила СПБГАВМ в 2015 году. Постоянный участник национальной ветеринарной конференции, конференций Санкт-Петербургского ветеринарного общества
ОНКОЛОГИЯ
Курс
Офлайн
Бесплатно
Основы ветеринарной онкологии
Многопрофильный научно-образовательный центр “DuoCor”
Соколова Анастасия Львовна
Ветеринарный врач-хирург, ведущий онколог МВЦ «ДваСердца»
Мамбетшаев Ходжамет Сиранович
ветеринарный врач-терапевт, онколог МВЦ «ДваСердца»
Брюшковский Константин Юрьевич
к.в.н., хирург, онколог, член ИРСО и EVONC, ВК «ЛайфВет»
17-21
июня
10:00
По Москве
Многопрофильный научно-образовательный центр “DuoCor”
Соколова Анастасия Львовна
Ветеринарный врач-хирург, ведущий онколог МВЦ «ДваСердца»
Мамбетшаев Ходжамет Сиранович
ветеринарный врач-терапевт, онколог МВЦ «ДваСердца»
Брюшковский Константин Юрьевич
к.в.н., хирург, онколог, член ИРСО и EVONC, ВК «ЛайфВет»
ХИРУРГИЯ
Курс
Офлайн
Бесплатно
Реконструктивная хирургия. 1 Модуль
Многопрофильный научно-образовательный центр “DuoCor”
Лаврова Ксения Андреевна
Ветеринарный врач, хирург, руководитель хирургического отделения в центре ветеринарной онкологии и интенсивной терапии «Zoomama»
Хомутинник Екатерина Игоревна
Кандидат ветеринарных наук, ветеринарный врач-хирург, эндоскопист МВЦ «ДваСердца»
22-25
июня
10:00
По Москве
Многопрофильный научно-образовательный центр “DuoCor”
Лаврова Ксения Андреевна
Ветеринарный врач, хирург, руководитель хирургического отделения в центре ветеринарной онкологии и интенсивной терапии «Zoomama»
Хомутинник Екатерина Игоревна
Кандидат ветеринарных наук, ветеринарный врач-хирург, эндоскопист МВЦ «ДваСердца»
ДЕРМАТОЛОГИЯ
Семинар
Онлайн и офлайн
Бесплатно
Пациент нефролога, дерматолога и эндокринолога
Dr.Hug
Крутицкая Надежда Сергеевна
Ветеринарный врач ВК Ковчег по специализации нефролог - уролог, президент Ассоциации ветеринарных врачей «НефроУроВет»
Романовская Лилия Викторовна
ветеринарный врач-дерматолог, эндокринолог, терапевт
22
июня
11:00
По Москве
Dr.Hug
Крутицкая Надежда Сергеевна
Ветеринарный врач ВК Ковчег по специализации нефролог - уролог, президент Ассоциации ветеринарных врачей «НефроУроВет»
Романовская Лилия Викторовна
ветеринарный врач-дерматолог, эндокринолог, терапевт
ОФТАЛЬМОЛОГИЯ
Мастер-Класс
Офлайн
Бесплатно
Офтальмология для практиков: от знаний к уверенным действиям
Vetcity Academy: образование, построенное на доверии, опыте и ценностях.
Миронович Артем Олегович
ведущий офтальмолог Vetcity, эксперт с международным бэкграундом (ESVO/ACVO).
23
июня
10:00
По Москве
Vetcity Academy: образование, построенное на доверии, опыте и ценностях.
Миронович Артем Олегович
ведущий офтальмолог Vetcity, эксперт с международным бэкграундом (ESVO/ACVO).
ПСИХОЛОГИЧЕСКОЕ ЗДОРОВЬЕ
Вебинар
Онлайн
Бесплатно
Роли в команде: как понимать и принимать разные типы личности
Комлева Анна
Профессиональный сертифицированный коуч РСС ICF, профессиональный ментор, супервизор, психолог. Автор книги «Настоящий коуч. Вся правда о становлении в профессии»
23
июня
11:00
По Москве
Комлева Анна
Профессиональный сертифицированный коуч РСС ICF, профессиональный ментор, супервизор, психолог. Автор книги «Настоящий коуч. Вся правда о становлении в профессии»
ВИЗУАЛЬНАЯ ДИАГНОСТИКА
Курс
Офлайн
Бесплатно
УЗИ брюшной полости у собак и кошек
Многопрофильный научно-образовательный центр “DuoCor”
Нечепуренко Ксения Александровна
Ветеринарный врач визуальной диагностики МВЦ «ДваСердца»
Дегтерев Георгий Денисович
Ветеринарный врач визуальной диагностики МВЦ «ДваСердца»
01-03
июля
10:00
По Москве
Многопрофильный научно-образовательный центр “DuoCor”
Нечепуренко Ксения Александровна
Ветеринарный врач визуальной диагностики МВЦ «ДваСердца»
Дегтерев Георгий Денисович
Ветеринарный врач визуальной диагностики МВЦ «ДваСердца»
ТЕРАПИЯ
Курс
Онлайн
Бесплатно
Заболевания легких у собак и кошек
Многопрофильный научно-образовательный центр “DuoCor”
Малышева Дарья Владимировна
Ветеринарный врач анестезиолог/пульмонолог
Богданова Наталия Валерьевна
Главный врач филиала, руководитель терапевтического отделения, пульмонолог сети ветеринарных центров Котонай, СПб. Регулярный докладчик ММВК, NVC. Преподаватель курсов повышения квалификации по пульмонологии, авторских курсов и мастер-классов, автор телеграмм-канала Respiratorium
Нечепуренко Ксения Александровна
Ветеринарный врач визуальной диагностики МВЦ «ДваСердца»
Бойкова Валерия Ростиславовна
Ветеринарный врач клиники DuoCor
Новиков Константин Игоревич
Ведущий хирург, эндоскопист МВЦ "ДваСердца"
Громова Алёна Львовна
Ветеринарный врач-реаниматолог МВЦ «ДваСердца»
Кривчикова Анастасия Алексеевна
Ветеринарный врач-терапевт, пульмонолог, заведующая отделением терапии МВЦ «ДваСердца»
Многопрофильный научно-образовательный центр “DuoCor”
Малышева Дарья Владимировна
Ветеринарный врач анестезиолог/пульмонолог
Богданова Наталия Валерьевна
Главный врач филиала, руководитель терапевтического отделения, пульмонолог сети ветеринарных центров Котонай, СПб. Регулярный докладчик ММВК, NVC. Преподаватель курсов повышения квалификации по пульмонологии, авторских курсов и мастер-классов, автор телеграмм-канала Respiratorium
Нечепуренко Ксения Александровна
Ветеринарный врач визуальной диагностики МВЦ «ДваСердца»
Бойкова Валерия Ростиславовна
Ветеринарный врач клиники DuoCor
Новиков Константин Игоревич
Ведущий хирург, эндоскопист МВЦ "ДваСердца"
Громова Алёна Львовна
Ветеринарный врач-реаниматолог МВЦ «ДваСердца»
Кривчикова Анастасия Алексеевна
Ветеринарный врач-терапевт, пульмонолог, заведующая отделением терапии МВЦ «ДваСердца»
ВИЗУАЛЬНАЯ ДИАГНОСТИКА
Курс
Онлайн
Бесплатно
Интерпретация МРТ
Многопрофильный научно-образовательный центр “DuoCor”
Карпенко Маруся Михайловна
Ветеринарный врач-невролог, врач МРТ диагностики МВЦ "ДваСердца"
Керножицкая Анна Александровна
Ветеринарный врач МРТ, клиника "Доктор Вет", г. Минск
Многопрофильный научно-образовательный центр “DuoCor”
Карпенко Маруся Михайловна
Ветеринарный врач-невролог, врач МРТ диагностики МВЦ "ДваСердца"
Керножицкая Анна Александровна
Ветеринарный врач МРТ, клиника "Доктор Вет", г. Минск
ВИЗУАЛЬНАЯ ДИАГНОСТИКА
Курс
Онлайн
Бесплатно
Холтеровское мониторирование
Многопрофильный научно-образовательный центр “DuoCor”
Иванова Екатерина Валентиновна
ветеринарный врач-кардиолог, руководитель направления «Ветеринарная медицина» ЧОУ ДПО «МНОЦ «ДуоКор», член экспертного совета КВО, врач-эксперт НВП
Каменева Анна Владимировна
ветеринарный врач-кардиолог, врач визуальной диагностики, зав. отделением кардиологии ВЦ «Зоостатус» г. Москва
Трунов Артём Альбертович
к.в.н., ветеринарный врач-кардиолог ВК доктора Сотникова
Многопрофильный научно-образовательный центр “DuoCor”
Иванова Екатерина Валентиновна
ветеринарный врач-кардиолог, руководитель направления «Ветеринарная медицина» ЧОУ ДПО «МНОЦ «ДуоКор», член экспертного совета КВО, врач-эксперт НВП
Каменева Анна Владимировна
ветеринарный врач-кардиолог, врач визуальной диагностики, зав. отделением кардиологии ВЦ «Зоостатус» г. Москва
Трунов Артём Альбертович
к.в.н., ветеринарный врач-кардиолог ВК доктора Сотникова
ВИЗУАЛЬНАЯ ДИАГНОСТИКА
Курс
Онлайн
Бесплатно
Интернальная медицина
Многопрофильный научно-образовательный центр “DuoCor”
Буравова Татьяна Вячеславовна
Ветеринарный врач-терапевт, эндокринолог МВЦ "ДваСердца"
Гишян Анастасия Аршаковна
Микробиолог лаборатории «ДуоКор Лаб»
Мамбетшаев Ходжамет Сиранович
ветеринарный врач-терапевт, онколог МВЦ «ДваСердца»
Боброва Екатерина Юрьевна
Ветеринарный врач-терапевт, эндокринолог, гематолог МВЦ "Два Сердца"
Многопрофильный научно-образовательный центр “DuoCor”
Буравова Татьяна Вячеславовна
Ветеринарный врач-терапевт, эндокринолог МВЦ "ДваСердца"
Гишян Анастасия Аршаковна
Микробиолог лаборатории «ДуоКор Лаб»
Мамбетшаев Ходжамет Сиранович
ветеринарный врач-терапевт, онколог МВЦ «ДваСердца»
Боброва Екатерина Юрьевна
Ветеринарный врач-терапевт, эндокринолог, гематолог МВЦ "Два Сердца"
НЕВРОЛОГИЯ
Курс
Онлайн
Бесплатно
Ветеринарная неврология
Многопрофильный научно-образовательный центр “DuoCor”
Сердюк Владислав Валентинович
Ведущий хирург, невролог, нейрохирург, заведующий отделением хирургии МВЦ «ДваСердца»
Карпенко Маруся Михайловна
Ветеринарный врач-невролог, врач МРТ диагностики МВЦ "ДваСердца"
Чистова Мария Кирилловна
Ветеринарный врач-невролог, врач МР-диагностики МВЦ "ДваСердца"
Думанская Анастасия Романовна
Ветеринарный врач-невролог ВК Сложного случая
Многопрофильный научно-образовательный центр “DuoCor”
Сердюк Владислав Валентинович
Ведущий хирург, невролог, нейрохирург, заведующий отделением хирургии МВЦ «ДваСердца»
Карпенко Маруся Михайловна
Ветеринарный врач-невролог, врач МРТ диагностики МВЦ "ДваСердца"
Чистова Мария Кирилловна
Ветеринарный врач-невролог, врач МР-диагностики МВЦ "ДваСердца"
Думанская Анастасия Романовна
Ветеринарный врач-невролог ВК Сложного случая
НЕОТЛОЖНАЯ МЕДИЦИНА
Курс
Онлайн
Бесплатно
Инфузионная терапия
Многопрофильный научно-образовательный центр “DuoCor”
Грачева Галина Юрьевна
Ветеринарный врач, преподаватель кафедры внутренних болезней животных СПбГУВМ, руководитель направления «Медицина» ЧОУ ДПО «МНОЦ «ДуоКор», основатель проекта «ICUvetSchool»
Корольчук Михаил Витальевич
Ветеринарный врач-анестезиолог МВЦ "ДваСердца"
Многопрофильный научно-образовательный центр “DuoCor”
Грачева Галина Юрьевна
Ветеринарный врач, преподаватель кафедры внутренних болезней животных СПбГУВМ, руководитель направления «Медицина» ЧОУ ДПО «МНОЦ «ДуоКор», основатель проекта «ICUvetSchool»
Корольчук Михаил Витальевич
Ветеринарный врач-анестезиолог МВЦ "ДваСердца"
ДИЕТОЛОГИЯ
Курс
Онлайн
Бесплатно
Диетология на каждый день
Dr.Hug
Махкамова Шахноза
Ветеринарный врач-дерматолог, диетолог ветеринарных центров Dr.Hug
Скоробогатова Маргарита
Ветеринарный врач-диетолог, дерматолог, врач поведенческой медицины СВК «Астин»
Dr.Hug
Махкамова Шахноза
Ветеринарный врач-дерматолог, диетолог ветеринарных центров Dr.Hug
Скоробогатова Маргарита
Ветеринарный врач-диетолог, дерматолог, врач поведенческой медицины СВК «Астин»
1 / 38
Представленные материалы отражают позицию автора на момент публикации. Пожалуйста, учитывайте возможные изменения в научных данных. ВетАкадемия не несет ответственность за информацию о дозировках и методах применения. Достоверность этих сведений должна проверяться индивидуально по соответствующим источникам.
Понравился материал?
Зарегистрируйтесь и получите возможность сохранять статьи, скачивать дополнительные материалы, проходить тесты и квизы, а также получать баллы за изучение материалов
Зарегистрироваться