Описание клинического случая
На прием к стоматологу поступила собака немецкий шпиц кастрированная самка, шести лет. Взяли ее из приюта 5 лет назад, содержится в квартире с выездами на дачу и прогулками на улице. Кормление влажными промышленными кормами. Вакцинирована.
Жалобы: около 6 месяцев назад заметили отек носа слева, появилось храпение, обращались в стороннюю клинику, было назначено КТ-исследование головы, предоперационные исследования – ока, б/х, кгг крови, ЭКГ, ЭХОКГ.
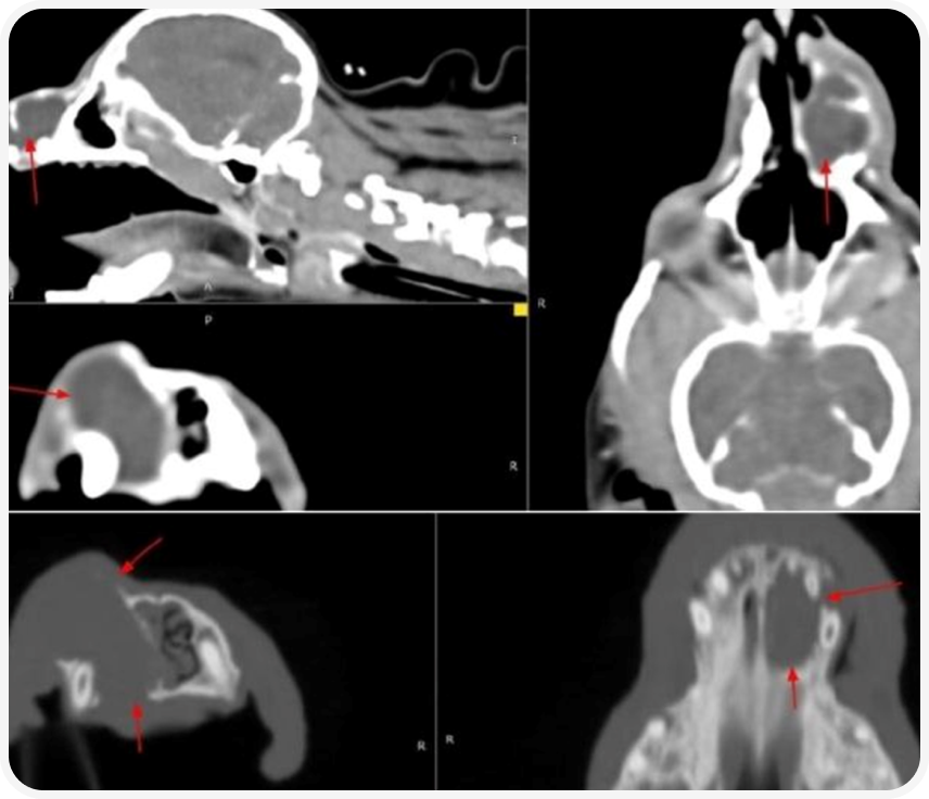
По обследованиям значимых изменений не выявлено. Заключение КТ-исследования головы предоставлено.
Целостность скелета нижней челюсти справа: альвеола 410 зуба умеренно расширена.
Целостность скелета нижней челюсти слева: альвеолы 310 и 309 зубов расширены. Височно-нижнечелюстные суставы: без патологических изменений.
Костная структура турецкого седла: без патологических изменений.
Ретробульбарное пространство: без патологических изменений.
Носовые ходы: полостное образование левой верхнечелюстной области пролабирует в носовую полость (см. описание «Целостность скелета верхней челюсти слева»). Просвет хоан сужен.
Носовая перегородка: в ростральной части не визуализируется.
Решетчатая кость: рисунок решетчатого лабиринта симметричный, проходимость не нарушена.
Область носоглотки: без патологических изменений.
Подъязычный аппарат: без патологических изменений.
Слюнные железы: без патологических изменений.
Щитовидная железа: без патологических изменений.
Лимфатические узлы: без патологических изменений.
Мягкие ткани: без патологических изменений.
Головной мозг: без патологических изменений.
Заключение: Полостное образование левой верхнечелюстной кости с литической деструкцией и инвазией в носовую полость (одонтогенный абсцесс). Комплекс стоматологических патологий. Сужение просветов внутренних отверстий наружных слуховых проходов.
При осмотре на приеме выявлено: асимметрия спинки носа слева, флюктуирующее новообразование верхней челюсти слева, размеры 3-4 см, безболезненно при пальпации, местная температура не увеличена, выделения отсутствуют.
Была назначена стоматологическая операция — санация ротовой полости с экстракцией нежизнеспособных зубов, а также планировалась дополнительная диагностика этого образования —предположительно кисты.
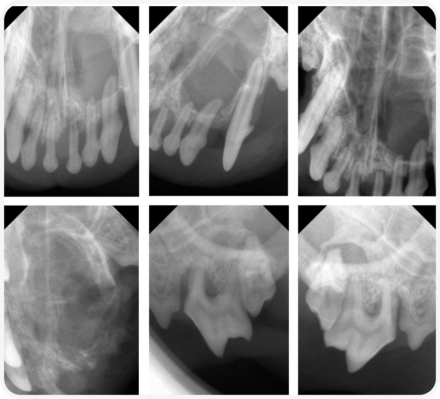
При осмотре в анестезии был подтвержден комплекс стоматологический патологий (гингивит, пародонтит). Провели дентальную рентгенографию с помощью визиографа. Снимки прилагаются.
При исследовании обнаружились зубы с признаками пульпита (расширенный корневой канал), а также связанное с ними четко очерченное просветление в области 202,203,204.
В процессе хирургического удаления зубов из образования эвакуировалась прозрачная невязкая темно-желтая жидкость с мелкими опалесцирующими включениями. Содержимое кисты направлено на цитологическое исследование.
Результаты цитологического исследования жидкости.
Материал: Тонкоигольная аспирационная биопсия кисты в области 202, 203, 204 зубов (примерный диаметр 3 см).
Результат: К исследованию представлен 1 мл буроватой опалесцирующей жидкости. Мазки из осадка. Окраска по Романовскому.
Препараты низкой клеточности. Представлены единичные нейтрофилы и макрофаги. Бактериальная флора (свободнолежащая или фагоцитированная) не визуализируется.
Фон материала обильный: кристаллы холестерина и мелкозернистый базофильный детрит.
Заключение: Кистозное новообразование. Без данных за неопластический процесс.
Был открыт хирургический доступ к выстилке кисты, была проведена цистэктомия, орошение физ. раствором и ушивание десны простыми узловыми швами (полидиоксанон 4/0). Все нежизнеспособные зубы были подвержены экстракции.
Назначенное лечение и динамика
Назначенное лечение
1. Обработки швов 2 раза в день раствором мирамистин, после нанесение на швы геля Регинокс, курс 14 дней;
2. Анальгезия — Неболин Вет на 4-5 дней, амантадин 14 дней;
3. Антибиотикотерапия (Амоксициллин клавулонат) перорально 18 мг/кг курс 10 дней;
4. Собака была доставлена на повторный прием через 14 дней после стоматологической операции.
Владельцы отмечали положительную динамику в общем состоянии пациента (улучшился аппетит, стала более активная и игривая, перестала храпеть), асимметрия мордочки практически не заметна.
При осмотре без анестезии отмечено заживление тканей по первичному натяжению, нет признаков рецидива кисты. Сняты швы, все назначенное лечение отменено.
Рекомендовано посещать стоматолога каждые 3-6 месяцев для оценки динамики.