Стоматологические заболевания у собак мелких пород
30 августа 2023 г.
3695
27 мин
Фрэнк Дж.М. Верстрет
DrMedVet, BVSc (Hons), MMedVet, дипл. AVDC, дипл. ECVS, дипл. EVDC
Калифорнийский университет в Дэвисе (UCD), США
После окончания Университета Гента, д-р Верстрет продолжил обучение в Университете Претории, пройдя там резидентуру по хирургии мелких животных. Сейчас является профессором стоматологии и хирургической стоматологии, а также возглавляет службу стоматологии и хирургической стоматологии в UCD. Внештатный преподаватель в школе стоматологии Калифорнийского университета, Сан-Франциско. Основная область его исследовательских интересов – сравнительная оральная патология, рентгенология и хирургия.
Дженна Винер
DVM Калифорнийский университет в Дэвисе (UCD), США
Д-р Винер получила степень в области ветеринарии в Калифорнийском университете в Дэвисе в 2014 г. Пройдя чередующуюся интернатуру по болезням мелких животных в крупной специализированной клинике в Лос-Анджелесе, вернулась в UCD, где сейчас проходит третий год интернатуры по стоматологии и хирургической стоматологии.
Ключевые моменты
01
Собаки мелких пород особенно предрасположены к развитию заболеваний пародонта.
02
Осмотр ротовой полости у пациента является первым шагом при выявлении патологий полости рта, однако судить о степени тяжести пародонтита по уровню накопления зубного налета или зубного камня нельзя. Диагностику пародонтита следует проводить с помощью измерения глубины зубодесневых карманов и внутриротовой рентгенографии зубов.
03
Пародонтит и эндодонтическое заболевание зуба в тяжелой, хронической форме могут приводить к развитию ороназальных свищей или свищевых ходов. Ороназальные свищи часто выглядят как маленькие дефекты, но, как правило, оказываются больше, чем предполагалось, и могут сохраняться или рецидивировать в случае неадекватного лечения.
04
Собаки мелких пород находятся в группе риска перелома нижней челюсти, который может возникать в результате травмы или заболевания либо иметь ятрогенный характер.
Содержание
Заболевания пародонта
Заболевания пародонта диагностируются у собак чаще всего (1). Собаки мелких пород особенно предрасположены к их развитию, в том числе из-за скученности зубов, сниженной интенсивности разгрызания корма по сравнению с собаками крупных пород, а также неспособности владельца эффективно проводить гигиену полости рта для животного. В итоге развивается пародонтит (т. е. воспаление пародонта), который приводит к потере прикрепленности зуба к альвеоле, а именно к убыванию альвеолярной костной ткани, разрушению периодонтальной связки, рецессии десны у собаки.
Рисунок 1. (a) Тяжелая степень отложения зубного камня на левых премолярах верхней челюсти у чихуахуа. Обратите внимание, что пациент располагается в дорсальном лежачем положении для осмотра ротовой полости под общей анестезией. (b) Внутриротовая рентгенограмма зубов (левая латеральная проекция клыка, техника деления угла пополам) показывает верхние левые третий резец, клык и премоляры с первого по третий. Наблюдается легкий пародонтит, показания к удалению отсутствуют. Обратите внимание на значительное отложение зубного камня на коронке левого третьего премоляра верхней челюсти (стрелка).
Количество сформировавшегося зубного налета, а также зубного камня не всегда коррелирует со степенью тяжести пародонтита. У некоторых собак мелких пород при осмотре полости рта выявляется значительное отложение зубного камня, но при этом по результатам рентгенографии диагностируется легкая форма пародонтита (Рис. 1). У других собак стадия заболевания оказывается гораздо серьезнее, чем можно было бы предположить по количеству зубного камня (Рис. 2). Оценка степени тяжести пародонтита при осмотре полости рта у собаки является важным компонентом общего физикального осмотра. Однако чтобы определить истинный масштаб поражения и, соответственно, назначить необходимое лечение заболевания, необходимо тщательное обследование пациента под общей анестезией, включая измерение глубины зубодесневых карманов, рентгенографию зубов.
Рисунок 2. (a) Легкое отложение налета и зубного камня на правых премолярах нижней челюсти у той-пуделя в возрасте 2 лет. Обратите внимание, что пациент располагается в дорсальном лежачем положении для осмотра ротовой полости под общей анестезией. В области фуркации правого четвертого премоляра нижней челюсти видна легкая рецессия десны с накоплением зубного налета (стрелка). Владелец чистил зубы этой собаке два раза в день. (b) Внутриротовая рентгенография зубов (визуализация правых премоляров, техника деления угла пополам) демонстрирует тяжелый пародонтит, характеризующийся обнажением фуркации третьего и четвертого премоляров (стрелки). Данные зубы были удалены без осложнений, наряду с несколькими другими зубами вследствие тяжелого пародонтита.
Показания к удалению зуба у собаки вследствие заболеваний пародонта подразумевают клиническую потерю прикрепленности зуба на 50% или выше (по результатам рентгенографии и измерения глубины зубодесневых карманов), обнажение фуркации корней, чрезмерную подвижность зуба. Владелец может быть обеспокоен тем, что собаке требуется удаление всех зубов (Рис. 3). Однако собаки мелких пород обычно довольно хорошо приспосабливаются к их отсутствию. При повторном послеоперационном осмотре владельцы часто отмечают, что собака снова стала активной, веселой, «как щенок».
Рисунок 3.Маленькая собака смешанной породы под общей анестезией в дорсальном лежачем положении для лечения зубов. (a) Обратите внимание на каменный мост на зубах верхней челюсти с заметным гингивитом. (b) В ходе звукового и ультразвукового удаления зубного камня на верхней челюсти выпали первый и второй левые премоляры, первый и второй левые моляры. Обратите внимание на заметный гингивит, потерю альвеолярной кости и обнажение фуркации третьего и четвертого премоляров (звездочки). (c) Пародонтограмма и рентгенография зубов подтвердили необходимость удаления всех зубов; на послеоперационной фотографии показаны лоскуты, закрывающие места удаления зубов, ушитые простым узловым швом с использованием синтетического материала.
У некоторых собак мелких пород с умеренным пародонтитом здоровье пародонта может быть восстановлено посредством направленной регенерации ткани (Рис. 4) (2, 3). Эта процедура, чувствительная к методике ее проведения, обеспечивает регенерацию костной ткани, а также тканей пародонта, что улучшает его состояние.
Рисунок 4. (a) Внутриротовая рентгенограмма зубов (визуализация левых моляров нижней челюсти, параллельная техника) у норвич-терьера демонстрирует тяжелый пародонтит на дистальном корне первого левого моляра нижней челюсти (20%-ная горизонтальная потеря кости плюс 30%-ная вертикальная потеря кости). Лечение включало в себя удаление второго левого моляра нижней челюсти и направленную регенерацию ткани дистального корня первого левого моляра нижней челюсти. (b) Внутриротовая рентгенограмма зубов (тот же метод), полученная через три месяца при послеоперационном обследовании того же пациента; степень пародонтита улучшилась с 50%-ной потери кости до ~20-30%-ной потери кости, произошло ремоделирование лунки второго левого моляра нижней челюсти.
Ороназальный свищ
Ороназальный свищ представляет собой выстланный эпителием канал, соединяющий полости рта, носа. Свищи могут быть врожденными (например, волчья пасть) или приобретенными (например, проникающая травма). Наиболее распространенными причинами приобретенного ороназального свища являются пародонтит (Рис. 5), а также нарушение заживления лунки клыка после удаления (Рис. 6).
Рисунок 5. (a) Метис мальтийской болонки под общей анестезией в дорсальном лежачем положении; на левом клыке верхней челюсти присутствуют крупные отложения зубного камня, сопровождающиеся рецессией десны. (b) Внутриротовая рентгенография зубов (левая латеральная проекция клыков, техника деления угла пополам) показала 80%-ную вертикальную потерю кости левого клыка верхней челюсти, указывающую на ороназальный свищ. Рентгенограмма также показала практически полную потерю прикрепления второго левого резца верхней челюсти с легкой дилацерацией корня и 80%-ную горизонтальную потерю кости третьего левого резца верхней челюсти, характеризующегося микродентизмом. Первый и второй левые премоляры верхней челюсти отсутствуют. Наблюдаются большие отложения зубного камня на коронке левого клыка верхней челюсти, у которого отмечается аномально прямое строение корня. (c) Левый клык верхней челюсти после удаления зубного камня; пародонтальный зонд вводится передненёбно и демонстрирует глубину свыше 12 мм, что указывает на ороназальный свищ.
Собаки мелких пород, особенно таксы или карликовые пудели, предрасположены к развитию ороназальных свищей в области клыков верхней челюсти, хотя свищи могут образовываться в области любого зуба и у собак любых пород. Ветеринарный врач должен предположить наличие ороназального свища, если владелец описывает такие симптомы, как чихание, особенно во время питья или еды, и слизистые, водянистые или сукровичные выделения из носа. Пластика ороназального свища чаще всего проходит неудачно из-за того, что хирургический лоскут слишком маленький и/или наблюдается натяжение швов. Более того, врач должен аккуратно удалить эпителизированный край дефекта, чтобы обеспечить заживление свежих раневых краев ткани.
Рисунок 6. (a) Ороназальный свищ (стрелка) на месте правого клыка верхней челюсти у карликовой таксы после двух неудачных попыток реконструкции лечащим ветеринарным врачом. Пунктирной линией указана предполагаемая линия разреза лоскута. (b) Внутриротовая рентгенография зубов (правая латеральная проекция клыков, техника деления угла пополам) подтверждает отсутствие правого клыка верхней челюсти с окружающей локальной потерей кости в области носовых раковин, что указывает на ороназальный свищ. (c) Трехмерная реконструкция с помощью конусно-лучевой компьютерной томографии демонстрирует значительную степень локализованной потери кости в области правого ороназального свища. (d) Интраоперационная фотография, демонстрирующая пустую лунку правого третьего резца верхней челюсти (стрелка слева), а также пустую лунку правого первого премоляра верхней челюсти, и отпрепарованный хирургический лоскут для закрытия ороназального свища на месте уже отсутствовавшего правого клыка верхней челюсти (стрелка справа). При осмотре свища в ротовой полости реальный масштаб потери кости часто недооценивается, и, следовательно, зачастую необходим большой лоскут для закрытия дефекта без натяжения, чтобы максимально повысить шансы радикального лечения на успех.
Свищевые ходы эндодонтической природы
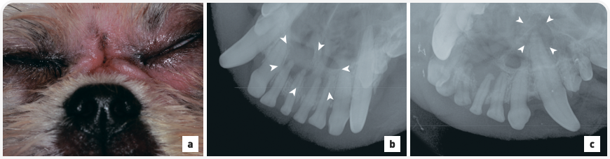
Свищевой ход эндодонтической природы представляет собой ход, выстланный грануляционной тканью, через который гнойные выделения из прикорневого поражения вытекают из ротовой полости на кожу. Обычно свищевые ходы проявляются в виде отека в подглазничной области, связаны у животных с четвертым премоляром верхней челюсти, являются следствием эндодонтической болезни или сочетанной пародонто-эндодонтической патологии соответствующего зуба. Однако свищевой ход может сформироваться на любом зубе с эндодонтической болезнью (4). Внутриротовые свищевые ходы выходят через десневой абсцесс, обычно на слизисто-десневом соединении или апикально от него. Пациенты с хроническими лицевыми патологиями должны подвергаться тщательному осмотру полости рта, включая получение пародонтограммы, проведение рентгенографии для выявления стоматологической причины заболевания (Рис. 7).
Рисунок 7. (a) Собака породы ши-тцу, поступившая с хроническим лицевым свищевым ходом, расположенным между глаз. Патология впервые была замечена владельцами животного примерно за два года до обращения, медикаментозное лечение не дало результатов. При осмотре полости рта было выявлено тяжелое стирание резцов и клыков верхней челюсти. (b) Внутриротовая рентгенография зубов (окклюзионная проекция верхней челюсти, техника деления угла пополам) подтвердила стирание резцов и клыков верхней челюсти и показала единое отчетливое околозубное просветление (стрелки), охватывающее правые и левые первые и вторые резцы. (c) Вторая рентгенограмма (левая латеральная проекция клыков, техника деления угла пополам) выявила неживой левый клык верхней челюсти (отсутствие сужения полости пульпы и отчетливое околозубное просветление [стрелки]). Все резцы верхней челюсти и левый клык верхней челюсти были удалены, осуществлен лаваж рото-лицевого свища 1%-ным раствором повидон-йода. При послеоперационном осмотре спустя две недели наблюдалось заживление рото-лицевого свищевого хода.
Перелом нижней челюсти
Собаки мелких пород предрасположены к переломам нижней челюсти. Переломы могут быть травматическими, патологическими или ятрогенными. Травматические переломы возникают в результате дорожно-транспортных происшествий или укусов других (более крупных) собак. Наиболее частой причиной патологического перелома у собак мелких пород является тяжелый хронический пародонтит (Рис. 8). У собак мелких пород также повышен риск ятрогенного перелома, например вследствие избыточного применения силы при удалении зубов.
Рисунок 8. Мопс в возрасте 6 лет поступил с предполагаемой болью во рту, наблюдавшейся в течение 2 месяцев. (a) Внутриротовая рентгенография зубов (визуализация левых премоляров нижней челюсти, техника деления угла пополам) показала полный поперечный патологический несращенный перелом нижней челюсти через лунку дистального корня нижнего левого третьего премоляра и мезиальный корень нижнего левого четвертого премоляра. Премоляры скучены, наблюдается полная потеря прикрепления корней на линии перелома. Перелом предположительно вызван тяжелым пародонтитом, вероятно, ускоренным в результате скучивания и поворота этих зубов. (b) Трехмерная реконструкция с помощью конусно-лучевой компьютерной томографии позволила получить более подробную информацию о переломе (стрелка). (c) После хирургического удаления третьего и четвертого левого премоляра нижней челюсти для стабилизации перелома во время его сращивания была установлена модифицированная межзубная проволока Рисдона и проведено шинирование композитным материалом. Фотография была получена в дорсальном лежачем положении пациента.
Язвы полости рта
Хронический язвенный стоматит (CUPS) — стоматологическое заболевание, которое характеризуется образованием болезненных язвочек в ротовой полости. Воспаление чаще всего затрагивает слизистую оболочку щек (мукозит), но также могут появляться на языке (глоссит), деснах или слизистой нёба. При воспалении пациент страдает от чрезмерной реакции на зубной налет, которая приводит к образованию контактных изъязвлений (Рис. 9). Примечательно, что количество отложений зубного налета у таких собак часто варьируется от нормального до избыточного, а степень формирования зубного камня меньше предполагаемой. В ветеринарной практике существуют два варианта лечения воспаления: щадящий подход с сохранением зубов или их полное удаление.
К консервативному ветеринарному лечению стоматологического заболевания, которое может оказаться сложным для владельца, относятся полная санация полости рта, рентгенография зубов, составление пародонтограммы, удаление зубов, биопсияязвенных поражений, лечение пародонта, противовоспалительная терапия, прием антибиотиков и обезболивающих препаратов. Чтобы отсрочить повторное возникновение изнуряющей боли, ветеринарные врачи рекомендуют скрупулезную гигиену полости рта, включающую ежедневную чистку зубов животному его владельцем и профессиональное лечение пародонта под анестезией каждые 3–6 месяцев либо при необходимости. Полное удаление зубов — более инвазивный метод лечения, но его применение позволяет ветеринарному врачу полностью избавиться от зубного налета, кроме образующегося на спинке языка, и, таким образом, обеспечить более продолжительный, постоянный эффект по сравнению с консервативным лечением.
Рисунок 9.Правая максиллярная зона слизистой оболочки щеки у чихуахуа с хроническим изъязвлением полости рта (белые стрелки), указывающим на язвенный стоматит. Наблюдается значительное отложение зубного камня (черная стрелка). Пациент находится в дорсальном лежачем положении.
Сохраняющиеся молочные зубы
Сохраняющиеся молочные зубы — это молочные зубы, не выпавшие у животного к тому времени, когда прорезался аналогичный постоянный зуб, пришедший ему на смену. Чаще всего сохраняющимися молочными зубами оказываются клыки и резцы у собак той-пород (Рис. 10) (5). Сохраняющиеся молочные зубы приводят к скученности и изменению контура десен, что является фактором риска развития пародонтита. Помимо этого, они могут менять путь прорезывания, приводя к нарушению прикуса. Однако если постоянного зуба еще нет на месте сохраняющегося молочного, и при этом пародонт и сам молочный зуб здоровы, показания для его удаления отсутствуют.
Рисунок 10. Ши-тцу в возрасте 1 года под общей анестезией и в дорсальном лежачем положении для осмотра и лечения. Фотография демонстрирует ростральную часть верхней челюсти с сохраняющимися молочными резцами (левые с первого по третий и правые первый и второй [маленькие стрелки]) и сохраняющимися молочными правым и левым клыком верхней челюсти (крупные стрелки). Сохраняющиеся молочные зубы были удалены.
Нарушение прикуса
Нарушение прикуса встречается у многих собак мелких пород. Оно может быть скелетным (неправильное положение челюсти, ее размер или длина), зубным (неправильное положение отдельных зубов) или сочетанным (Рис. 11). У собак брахицефалических пород, к примеру, скелетное нарушение прикуса (относительно мезиальный прикус) закрепляется при разведении. Нарушение прикуса у животного требует ветеринарного лечения только в том случае, если оно приводит к травмированию зубов или мягких тканей. Варианты лечения могут включать удаление причинного зуба, ортодонтическое лечение и подпиливание коронки зуба с последующей эндодонтической терапией или лечением витальной части пульпы.
Рисунок 11. Передние левые зубы у 8-месячной мальтийской болонки с легким скелетным нарушением прикуса («прямой прикус» резцов) и зубным нарушением прикуса (ростральное и язычное смещение левого клыка нижней челюсти [звездочка] привело к его контакту с левым третьим резцом верхней челюсти, в результате вызвав щечное смещение последнего).
Литература
1.
Lund E, Armstrong P, Kirk CA, et al. Health status and population characteristics of dogs and cats examined at private veterinary practices in the United States. J Am Vet Med Assoc 1999;214:1336-1341.
2.
Villar CC, Cochran DL. Regeneration of periodontal tissues: guided tissue regeneration. Dent Clin North Am 2010;54:73-92.
3.
Gingerich W, Stepaniuk K. Guided tissue regeneration for infrabony pocket treatment in dogs. J Vet Dent 2010;28:282-288.
4.
Schneider LA, Peralta S. Diagnostic imaging in veterinary dental practice. J Am Vet Med Assoc 2013;243:783-785.
5.
Hale FA. Juvenile veterinary dentistry. Vet Clin North Am Small Anim Pract 2005;35:789-817.
Представленные материалы отражают позицию автора на момент публикации. Пожалуйста, учитывайте возможные изменения в научных данных. ВетАкадемия не несет ответственность за информацию о дозировках и методах применения. Достоверность этих сведений должна проверяться индивидуально по соответствующим источникам.
Если вы заметили ошибку в материале, хотите предложить улучшения или поделиться обратной связью, пожалуйста, заполните форму. Мы внимательно рассматриваем каждое сообщение.
Выберите тип проблемы и опишите подробности.
Спасибо, что поделились!
Ваше мнение очень важно для нас. Команда платформы ВетАкадемия уже уведомлена и обработает информацию в ближайшее время. Мы ценим, что вы с нами!
Понравился материал?
Зарегистрируйтесь и получите возможность сохранять статьи, скачивать дополнительные материалы, проходить тесты и квизы, а также получать баллы за изучение материалов
Мы отправили вам на электронную почту инструкции по восстановлению пароля
Пароль изменён
Через несколько секунд окно закроется и вы сможете войти на сайт, используя свой новый пароль
Восстановление пароля
Код подтверждения направлен на номер +7 {{ formatted_phone }}
Редактировать номер телефона
Код из смс
{{ error }}
Повторное получение возможно через сек.
Получить код повторно
Создание пароля
Придумайте новый пароль
Войти или зарегистрироваться
Поздравляем! Вы успешно прошли тест!
Чтобы узнать свой результат и получить баллы, зарегистрируйтесь на платформе
Для участия в вебинаре необходимо зарегистрироваться/авторизоваться
Материал доступен только для зарегистрированных пользователей
Зарегистрируйтесь и получите возможность сохранять понравившиеся статьи, а также получать баллы за их изучение
Для подачи заявки необходимо авторизоваться или зарегистрироваться на платформе
Войдите или зарегистрируйтесь, чтобы просмотреть сохраненные материалы
Введите номер телефона
Войти через почту
НОМЕР ТЕЛЕФОНА
{{ countries[country][1] }}
{{ value[0] }}
Подтвердите номер
Мы звоним вам на номерОтправили SMS на номерМы прислали код в Telegram на указанный вами номер
{{ formatted_phone }}.
Введите последние четыре цифры номера входящего звонка.
Редактировать номер
{{ send_type == 'phone' ? 'ПОСЛЕДНИЕ ЧЕТЫРЕ ЦИФРЫ НОМЕРА' : (send_type == 'sms' ? 'КОД ИЗ СМС' : 'КОД ИЗ СООБЩЕНИЯ') }}
{{ code_error }}
Повторное получение возможно через сек.
{{ send_type == 'phone' ? 'Позвонить еще раз' : 'Получить код повторно' }}
Вы еще не прошли
весь модуль
Тест откроется после просмотра всех видеоуроков модуля