Введение
Пиоторакс у кошек характеризуется накоплением в плевральном пространстве гнойно-септической жидкости. Поскольку начальные клинические признаки заболевания обычно неспецифичны, диагностика и/или обращение к ветеринарному врачу часто оказываются запоздалыми, и кошка поступает в клинику при развитии явной одышки и сердечно-сосудистых нарушений, когда уже нуждается в экстренной помощи.
Для обеспечения благоприятного исхода этого опасного для жизни состояния необходимы быстрое распознавание проблемы и адекватное лечение (1–5). В этой статье приводится обзор доступной литературы по пиотораксу у кошек и обсуждаются рекомендуемые варианты терапии.
Плевральное пространство выстлано париетальной и висцеральной плеврой и содержит минимальное количество жидкости, необходимой для снижения трения во время нормального дыхательного цикла. В случае пиоторакса бактерии попадают в плевральное пространство несколькими различными путями (через повреждение на любом участке дыхательных путей, через инфицированную ротоглотку или через пищевод), инициируя воспалительный септический процесс.
Появление бактерий вызывает высвобождение воспалительных цитокинов и вазоактивных медиаторов, изменяющих местную проницаемость капилляров и лимфоток; плевра утолщается, что способствует развитию и накоплению экссудата в плевральной полости. Также развиваются системные признаки генерализованного воспаления, сепсиса, лихорадки и общего недомогания (1, 6).
Поскольку от развития пиоторакса до установления диагноза, как правило, проходит много времени, то выяснить, что именно привело к этому состоянию, часто не удается; и действительно, основная причина заболевания до сих пор остается неизвестной. Возможно, в развитии пиоторакса могут принимать участие разные факторы.
Однако двумя наиболее вероятными причинами считают проникающие ранения грудной клетки после удара когтем или укуса другой кошки (1, 4–8) и распространение бактерий в плевру из ротоглотки при хронической инфекции верхних дыхательных путей (2, 4, 6). До недавнего времени наиболее вероятной причиной считали версию удара когтем / укуса кошкой, в пользу которой были получены данные ретроспективного исследования о том, что в 14–40% случаев пиоторакса были выявлены наружные повреждения или раны от укусов (7).
Кроме того, было показано, что пиоторакс развивается в 3,8 раза чаще у кошек, живущих в доме с несколькими кошками, что поддерживает представление о причинной роли ран от агрессии между кошками (7). В пользу этой теории говорит также гипотеза о сезонной предрасположенности, поскольку пиоторакс чаще регистрируется в конце лета/осенью, когда, вероятно, повышается уровень агрессии и количество драк между кошками за территорию и спаривание, хотя в вышеупомянутом исследовании было отмечено, что доступ на улицу и пол на риск развития пиоторакса не влияют (7).
В другом ретроспективном исследовании было высказано предположение, что наиболее распространенным путем инфицирования при развитии пиоторакса является проникновение бактерий
в плевру из ротоглотки (8). Эта теория была подтверждена результатами вскрытия кошек, умерших от пиоторакса. На вскрытии в легких были выявлены многочисленные абсцессы, свидетельствующие о парапневмоническом распространении инфекции. Животные, живущие в домах с несколькими кошками, вероятно, также предрасположены к развитию хронической инфекции верхних дыхательных путей и более подвержены риску развития пиоторакса (4, 6).
При пиотораксе у кошек обычно выделяют микроорганизмы из микрофлоры ротоглотки, чаще всего Pasteurella multocida, Clostridium spp., Fusobacterium spp., Bacteroides spp., Actinomyces spp., Peptostreptococcus spp. и Prevotella spp. (2, 6, 9). Также часто выделяют Nocardia и Actinomyces spp., но в действительности при посеве обычно обнаруживают полимикробные инфекции облигатными и факультативными аэробными бактериями (4, 6, 9).
Пиоторакс может развиваться у кошек любого возраста, но чаще у молодых и взрослых животных со средним возрастом постановки диагноза — от 3 до 6 лет (2–4, 6, 7). У молодых животных риск выше из‑за особенностей поведения и повышенной склонности к дракам и исследованиям за пределами дома. В некоторых публикациях было показано, что заболевание чаще регистрируется у котов, хотя статистически значимой половой предрасположенности не обнаружено (7, 8). Кроме того, не выявлено породной предрасположенности (6, 7).
Продолжительность клинических проявлений до установления диагноза может составлять от нескольких дней до нескольких недель (4, 6). Неспецифические симптомы включают лихорадку, вялость, анорексию и потерю веса (5, 7). В одном исследовании лихорадка отмечалась только у половины кошек с пиотораксом, то есть отсутствие лихорадки, особенно у этого вида животных, не исключает наличия пиоторакса (3, 5, 8); при сопутствующих сердечно–сосудистых нарушениях (см. ниже) у кошек часто выявляют гипотермию (7).
Чаще всего появляется одышка из‑за наличия плеврального выпота (который, как правило, бывает двусторонним); часто наблюдается учащенное поверхностное дыхание, свидетельствующее о рестриктивной дыхательной недостаточности. Среди других распространенных признаков — тахипноэ и приглушение сердечных тонов, но кашель с плевральным выпотом у кошек обычно не связан (4–7). В одном ретроспективном исследовании нередко отмечалась гиперсаливация, которая могла быть следствием затруднения глотания при большом объеме плеврального выпота (7).
Возможны сердечно-сосудистые осложнения в форме перераспределительного шока, вызванного высвобождением из области пиоторакса воспалительных цитокинов и бактериальных токсинов. При развитии перераспределительного шока на фоне сепсиса появляются бледность слизистых, гипотермия, тахи- или брадикардия, гипотония. В одном исследовании у погибших от пиоторакса кошек была отмечена статистически значимо более низкая частота сердечных сокращений и гипотермия по сравнению с выжившими (7).
Пиоторакс подозревают на основании клинической картины (вялость, депрессия, лихорадка, анорексия, одышка на фоне рестриктивной дыхательной недостаточности, плевральный выпот) и подтверждающих данных клинического анамнеза (Блок 1). Окончательный диагноз устанавливают при сочетании данных макроскопической оценки плеврального выпота с цитологическими и культуральными (бактериологическими) данными (4, 6).
При макроскопическом исследовании выпота часто выявляют зловонную непрозрачную, мутную серозно-геморрагическую жидкость, нередко содержащую белые/желтоватые хлопья (Рисунок 1).
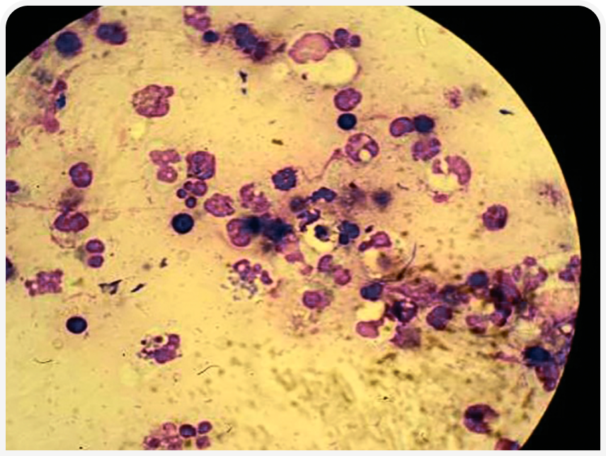
Диагноз окончательно подтверждают обнаружением при цитологической оценке полиморфных воспалительных клеток, преимущественно разрушающихся нейтрофилов с фагоцитированными бактериями (Рисунок 2).
При цитологическом исследовании часто выявляют бактерии нескольких видов, но если до установления диагноза проводили лечение антибиотиками, обнаружить внутриклеточные бактерии не всегда возможно, поэтому выпот всегда следует культивировать (4, 6, 7, 9).
Гематологические и биохимические исследования
Гематологические и биохимические нарушения при пиотораксе у кошек часто неспецифические и отражают наличие основного воспалительно-септического процесса и общее клиническое состояние пациента. Из гематологических нарушений чаще всего, у 36–73% кошек, встречается нейтрофильный лейкоцитоз, иногда со сдвигом влево (5–7).
Часто также обнаруживают легкую нормохромную анемию. Из биохимических нарушений выявляют гипоальбуминемию, гиперглобулинемию, гипо- или гипергликемию, электролитные нарушения и умеренное повышение уровня печеночных ферментов (5, 7).
Методы визуальной диагностики
Для оценки степени плеврального выпота, определения одностороннего или двустороннего поражения и выявления любой возможной основной причины, такой как объемные образования в легких или средостении и пневмония, часто проводят рентгенографию органов грудной клетки (4, 6). Рентгенография также позволяет оценить правильность установки торакостомической трубки и эффективность выбранной терапии.
Для оценки объема выпота, определения эхогенности выпотной жидкости (которая при пиотораксе часто гиперэхогенна) и контроля процедуры дренирования проводят ультразвуковое исследование (4, 6, 10). Более того, при помощи этого метода также можно обнаружить абсцессы легких, объемные образования и инородные тела в грудной полости (11).
Более сложные методы диагностики, такие как компьютерная томография (КТ), при начальной диагностике применяют нечасто; помимо стоимости, для них требуется общая анестезия, что подразумевает стабильное состояние сердечно-сосудистой системы пациента. Тем не менее КТ часто проводят при неэффективности медикаментозной терапии или подозрении на поражение легких по данным рентгенографии и ультразвукового исследования органов грудной клетки (1, 4, 6, 12).
При подозрении на пиоторакс следует расценивать кошку как пациента экстренной помощи, уделяя основное внимание оценке основных физиологических показателей (со стороны дыхательной, сердечно-сосудистой и нервной систем), что позволит быстро определить степень нарушения дыхания и сердечно-сосудистой функции и начать оперативные меры по их стабилизации.
При одышке необходима кислородотерапия любым доступным методом, который вызывает у пациента наименьший стресс (например, базовый поток, бокс с подачей кислорода); также может помочь несколько минут наблюдения за животным, без фиксации или другого контакта с животным, это поможет оценить характер дыхания и даст кошке успокоиться.
При одышке у пациента, находящегося в с сильном стрессе, также полезно назначить мягкий седативный препарат с минимальным кардиодепрессивным действием (например, буторфанол 0,2 мг/кг внутримышечно); это позволяет животному расслабиться и устраняет связанное с одышкой беспокойство. У пациента в состоянии стресса торакоцентез, установку периферического катетера и любые другие стрессовые вмешательства всегда следует выполнять только после введения седативного препарата.
При непосредственном обследовании обычно выявляют одышку на фоне рестриктивной дыхательной недостаточности. Ослабления или отсутствия легочных дыхательных шумов в вентральной области (одно- или двустороннего) при аускультации грудной клетки достаточно для диагностики плеврального выпота. Рентгенографию органов грудной клетки при одышке проводить не следует, поскольку фиксация животного может в наиболее тяжелых случаях привести даже к летальному исходу.
При оказании неотложной и экстренной помощи для быстрой оценки состояния широко применяют «прикроватное» УЗИ (point of care ultrasound — POCUS); это быстрая и безопасная диагностическая процедура для выявления плеврального выпота и патологии легких, не вызывающая у животного чрезмерного стресса (10, 11).
Если уровень стресса у кошки позволяет, следует поставить внутривенный катетер, чтобы стабилизировать сердечно-сосудистую систему и провести медикаментозную терапию, но при слишком сильной одышке перед этим следует провести торакоцентез.
Торакоцентез имеет и диагностическое, и терапевтическое значение. В зависимости от локализации плеврального выпота проводят одно- или двусторонний торакоцентез. При скоплении фибрина и гнойного экссудата полностью удалить выпот трудно, поэтому рекомендуется проводить торакоцентез иглой достаточно большого калибра или иглой-бабочкой. Собранную жидкость всегда следует направлять на цитологическое исследование и посев.
Пиоторакс у кошек лечат медикаментозно и хирургически, и мнения относительно оптимального лечения в доступной литературе различаются (4, 6). Проспективных исследований с оценкой и сравнением эффективности двух этих видов лечения не проводилось; кроме того, в литературе часто описывают и сравнивают лишь ограниченное количество наблюдений, что еще больше затрудняет вывод о каких-либо значимых преимуществах.
Несмотря на это, основой терапии считается медикаментозное лечение, по крайней мере на начальном этапе (1, 4–7). В недавнем ретроспективном исследовании 85% кошек (47 животных) с пиотораксом получали медикаментозное лечение, и только у пяти кошек оно оказалось неэффективным и потребовалось хирургическое вмешательство (5).
Однако только торакоцентеза, даже неоднократного, для лечения пиоторакса недостаточно (1, 4–6). Сразу после стабилизации сердечно-сосудистых показателей и устранения электролитных нарушений в грудную клетку необходимо установить один или несколько дренажей (часто требуются двусторонние дренажи). Дренажи устанавливают под седацией. С их помощью проводят дренирование и промывание грудной полости, а также антибактериальную терапию.
Внутривенное введение антибактериальных препаратов следует начинать немедленно, еще до получения результатов посева и оценки чувствительности; обычно выбирают антибиотик широкого спектра действия, препаратом выбора считают комбинацию амоксициллин / клавулановая кислота, поскольку этот препарат также обладает некоторой эффективностью против Actinomyces spp. и анаэробных микроорганизмов. В зависимости от правил применения антибиотиков в стране для улучшения покрытия грамотрицательных бактерий также часто предлагают применять фторхинолоны (4, 6, 13). Антибиотикотерапию корректируют по результатам посева и продолжают по крайней мере 3–4 недели после купирования клинических проявлений.
Для дренирования и промывания плевральной полости следует установить одну или несколько постоянных торакостомических трубок. Ранее в случае экссудативного и фибринозного выпота при пиотораксе рекомендовали (14) применять крупные (14–16 Fr) дренажи грудной клетки, но их требуется устанавливать под общей анестезией, и они вызывают у пациента боль и дискомфорт. В последнее время методом выбора как в медицине человека, так и в ветеринарии считают торакальные дренажи малого диаметра (small-bore chest drain — SBTT) (10–14 G), устанавливаемые по модифицированной методике Сельдингера. SBTT легко установить под мягкой седацией, пациенты переносят их хорошо, и частота осложнений минимальна (15, 16) — из осложнений чаще всего выявляют перегиб или неправильное положение трубки. Процедура установки дренажа показана на видео онлайн1.
Обратите внимание: важно предварительно измерить глубину установки дренажа в грудную полость — она равна расстоянию от места введения (обычно около 8–9-го межреберного промежутка) до кранио-вентрального отдела грудной полости (2–3-е ребро) — и убедиться, что все боковые отверстия торакального дренажа находятся внутри грудной клетки. Во время установки дренажа пациент должен находиться в положении лежа на животе с вытянутыми вперед передними конечностями, чтобы ему было удобнее дышать, особенно если он находится под действием слабого седативного препарата. Область установки следует закрыть герметичной повязкой, установка проводится в асептических условиях.
Дренажи, в зависимости от расположения плеврального выпота, следует устанавливать с одной или двух сторон (Рисунок 3). Сразу после введения к дренажной трубке подключают отсос, так как нередко ее размещение вызывает легкий ятрогенный пневмоторакс. После дренирования грудной клетки SBTT прикрепляют к коже; если состояние животного стабильное, то выполняют рентгенографию органов грудной клетки, чтобы оценить положение дренажа.
При рентгенографии может оказаться, что катетер находится в плевральной полости не в предполагаемом положении, но, если он функционирует и других нарушений не отмечено, заменять его не следует (Рисунок 4).
Во время дренирования может быть полезно изменить положение животного, чтобы оптимизировать аспирацию выпота; обязательна адекватная анальгезия. В критических случаях вводят опиоиды (метадон 0,2 мг/кг внутривенно или внутримышечно каждые 4 часа или бупренорфин 20 мкг/кг внутривенно каждые 6 часов, возможно, с кетамином по 30–50 мкг/кг/мин в виде инфузии с постоянной скоростью (constant rate infusion — CRI); менее эффективно введение нестероидных противовоспалительных анальгетиков.
Последний вариант, однако, может быть рассмотрен при нормоволемии, хорошей гидратации и стабильном состоянии пациента.Различные авторы подчеркивали, что для удаления гнойного, фибринозного экссудата, бактерий и медиаторов воспаления важно промывать грудную полость (1, 4, 6).
В небольшом ретроспективном исследовании на собаках были описаны преимущества промывания плевральной полости по сравнению с одним только дренажом (17).
Промывать следует путем инфузии теплого стерильного изотонического кристаллоидного раствора, первоначально в дозе 5 мл/кг, чтобы убедиться, что пациент хорошо переносит процедуру и что жидкость выходит, не вызывая каких-либо нарушений.
Если процедура переносится хорошо и выводится большая часть введенной жидкости, объем промывания можно увеличить (10–15 мл/кг), при этом промывание повторяют, пока извлекаемая жидкость не станет прозрачной. Промывание следует проводить как можно чаще, особенно при первой госпитализации кошки, и не менее 4–6 раз в день. Перед промыванием важно сначала осушить грудную полость, чтобы отслеживать образование выпота. Необходимо записывать объем вводимой и извлекаемой жидкости при каждой процедуре и для каждой стороны грудной полости. Добавлять гепарин или антибиотики в промывную жидкость не рекомендуется.
Дренаж в грудной полости следует сохранять на месте, пока выработка жидкости не начнет снижаться примерно до 2–3 мл/кг/сут и пока не будет достигнуто клиническое улучшение. Грудная клетка дренируется самопроизвольно, а при плеврите всегда выделяется некоторое количество жидкости. Перед удалением дренажа очень важно повторить цитологическое исследование выпотной жидкости, чтобы проверить, присутствуют ли в ней разрушающиеся нейтрофилы с фагоцитированными бактериями.
В учреждении автора критериями для удаления дренажа из грудной клетки считают отрицательный результат цитологического исследования и выработку <2 мл/кг/сут жидкости. После удаления дренажа пациента обычно наблюдают 24 часа, а перед выпиской повторяют рентгенографию органов грудной клетки, чтобы сравнить с рентгенографией при повторном обследовании, которое следует запланировать через 2–3 недели.
Хирургическое вмешательство следует рассмотреть при неадекватном ответе на медикаментозную терапию через 2–7 дней, т. е. недостаточном клиническом улучшении, сохраняющейся лихорадке, сохраняющемся выделении жидкости в плевральную полость, или если жидкость остается мутной или хлопьевидной, и/или при обнаружении причины заболевания при диагностической визуализации (например, абсцесса, подозрении на инородное тело, локализованных (разделенных) выпотов, утолщения плевры) (4–6, 15). Хирургическое вмешательство включает диагностическую торакотомию путем стернотомии (если выпот или повреждения двусторонние) либо боковой торакотомии на пораженной стороне (15).
В целом прогноз при пиотораксе довольно благоприятный. В недавнем ретроспективном исследовании (5) была показана высокая краткосрочная (14 дней) и долгосрочная (1 год) выживаемость, 72% и 68% соответственно. Кроме того, была выявлена низкая, всего 2%, частота рецидивов.
При адекватном лечении прогноз пиоторакса благоприятный, но важно сразу обсудить с владельцами вероятные расходы на госпитализацию (которая в среднем составляет 5–6 дней) и лечение, а также возможность рецидива. Пиоторакс следует рассматривать как потенциально опасное для жизни состояние. Ветеринарному врачу важно знать о необходимости немедленного проведения интенсивной терапии, чтобы обеспечить пациенту наилучший возможный исход. Этиология
Клинические проявления и динамика заболевания
Диагностика
Лечение пиоторакса
Заключение
Литература
«Пиоторакс у кошек»!
Заработанные
баллы
были начислены ранее
телефона ниже для сброса пароля.
на номер
+7 {{ formatted_phone }}
Вы успешно прошли тест!
зарегистрироваться/авторизоваться
{{ formatted_phone }}.
Введите последние четыре цифры номера входящего звонка.
весь модуль
всех видеоуроков модуля