Патофизиология тромбоэмболии (TЭ). Триада Вирхова
Ухудшение состояния эндотелия. В нормальных условиях эндотелий кровеносного сосуда имеет функцию антикоагулянта. Ненормальный (пораженный) эндотелий способствует формированию тромба в месте поражения.
Изменение скорости кровотока – одна из причин, приводящих к TЭ. Аномалии кровотока являются общими у пациентов с сердечно-сосудистыми заболеваниями. Застой крови позволяет увеличить контакты между тромбоцитами и факторами свертывания с эндотелием сосудов, тем самым способствуя коагуляции. Турбулентный поток может привести к образованию эндотелиальной травмы, а также способствовать коагуляции.
Изменение коагуляции. Гиперкоагуляция была идентифицирована и у собак, и у кошек с TЭ. Увеличение факторов свертывания крови II, V, VII, IX, X, XII и фибриногена в сочетании с уменьшением естественного антикоагулянта антитромбина III были выявлены у разных видов животных при различных патологиях. Некоторые нарушения свертывания крови были выявлены конкретно у кошек с тромбоэмболией аорты.
Тромбы, образующиеся в артериальной системе, где скорость кровотока высока, в основном состоят из тромбоцитов. Последствия артериальной тромбоэмболии проявляются остро и часто приводят к катастрофическим последствиям. Аортальная ТЭ у кошек является наиболее распространенным примером артериальной TЭ в ветеринарной медицине.
Заболевшие кошки почти всегда имеют значительную основную болезнь сердца и застойную сердечную недостаточность. Однако описаны случаи, когда некоторые кошки страдали тромбоэмболией без сердечной недостаточности, даже если они имели склонность к болезням сердца.
Системная тромбоэмболия у кошек (ТЭК) является осложнением гипертрофической кардиомиопатии (ГКМП) по выгорающему типу, рестриктивной кардиомиопатии, дилатационной кардиомиопатии, первичных заболеваний митрального клапана, предсердных и других новообразований сердца.
Застой крови в расширенных камерах сердца и повышенная реактивность тромбоцитов служат предрасполагающими факторами развития данной патологии. Как правило, кровяной сгусток локализуется в трифуркации аорты, что приводит к тяжелым ишемическим поражениям тазовых конечностей и хвоста.
Если тромб мал, он может попасть в одну внутреннюю подвздошную артерию и вызвать паралич или парез только одной тазовой конечности. Реже тромб может оказаться в сосудах, идущих от сердца в краниальном направлении: подключичных и сонных артериях, вызывая нарушение притока крови к грудным конечностям, шее и голове.
Клинические признаки и первичная диагностика
1. Выраженная боль является распространенным симптомом. Основное ее проявление — интенсивная вокализация пациента.
2. Дистресс-синдром: одышка, дыхание с открытым ртом, тахипноэ, тахикардия.
3. Развитие клинических признаков застойной сердечной недостаточности.
4. Парез/паралич пораженных конечностей.
5. Пораженные конечности холодные, подушечки лап и пальцев могут быть бледными или цианотичными (рис. 2).
6. Пульс на артериях пораженной конечности не определяется. В случае, когда тромб локализуется в трифуркации аорты, не определяется пульс на обеих бедренных артериях.
7. Низкая ректальная температура.
8. В случае тромбоэмболии брыжеечных или черепно-мозговых артерий возможно появление рвоты, болезненности в области брюшной полости, симптомов поражения ЦНС. В данном случае тромбоэмболия может быть не распознана.
9. Уровень глюкозы в периферической крови (подушечка лапы, подушечка пальца, коготь) пораженной конечности сравнивается с уровнем глюкозы в здоровой конечности. В пораженной конечности он, как правило, снижен в 2 и более раз. Абсолютная и относительная разница глюкозы в системном венозном кровотоке и кровотоке в области пораженной конечности является точным, легкодоступным диагностическим маркером острой артериальной тромбоэмболии у парализованных кошек. Нижняя граница абсолютной разницы содержания глюкозы в системном венозном кровотоке в области пораженной конечности – 1.8 ммоль/л и 1.08 ммоль/л – соответствуют чувствительности и специфичности 100 % и 90 % у кошек.
Следует учитывать, что не всегда владельцы видят развитие картины с самого начала, например, если кошку обнаружили через несколько часов после начала заболевания, у нее могут отсутствовать одышка и проявления боли, что даст ложный повод владельцам предположить последствия травмы у своего животного.
Диагностические примечания
При классическом седловидном тромбе, локализующемся в трифуркации аорты, диагноз может быть поставлен только на основании физикального обследования и наличия признаков паралича, отсутствия пульса, холодной и бледной конечности/конечностей. Комбинация симптомов нарушения нижнего двигательного нейрона с отсутствием бедренного пульса и холодными конечностями патогномонична для классической артериальной тромбоэмболии.
Диагноз подтверждается непроходимостью артерий на основании исчезновения сигналов при доплерографии или визуализацией тромбов в артериях с помощью ультразвукового сканирования.
Первичная визуальная диагностика
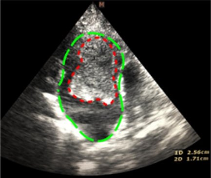
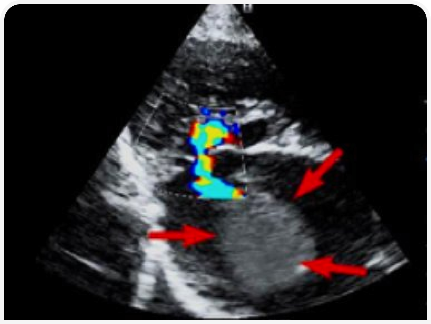
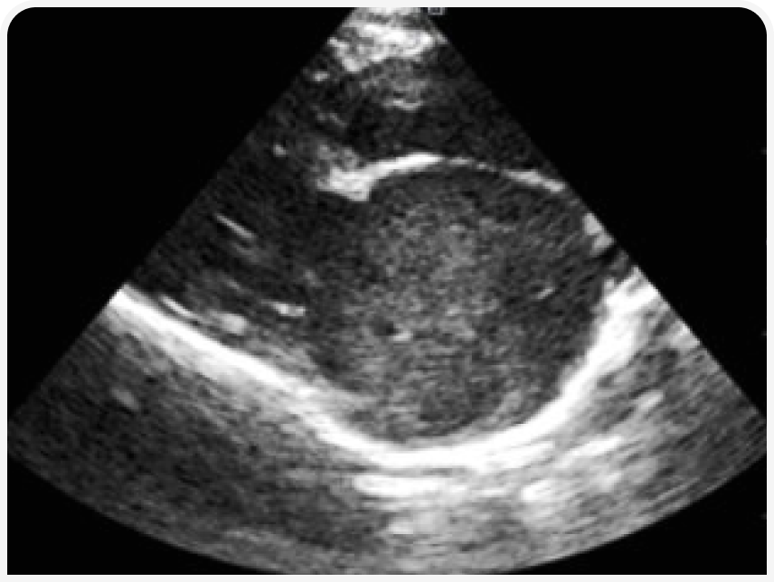
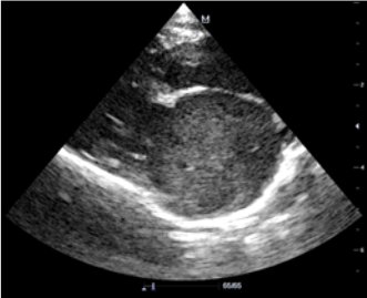
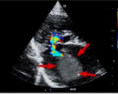
Эхокардиография (рис. 3–5). Данный метод позволяет выявить основное заболевание сердца. Также можно выявить изменение кровотока и замедленное прохождение крови в ушке или в полости левого предсердия посредством импульсно-волнового доплера. У некоторых кошек тромб, формирующийся (в виде облака) или зрелый, можно увидеть в левом предсердии.
УЗИ-скрининг брюшной полости для определения границ аортального поток. Аортальный кровоток можно визуализировать с помощью цветового доплера. Аорта визуализируется дорсальнее мочевого пузыря (рис. 6).
Дополнительные методы диагностики
Рентгенография. Рентгенограммы часто показывают признаки застойной сердечной недостаточности, включая отек легких, плевральный выпот и кардиомегалию. Рентгеновская ангиография: при внутривенном контрастировании проводят рентгенограмму в боковой проекции. На рентгенограмме резкая остановка контраста в проекции брюшной аорты служит подтверждением наличия тромба. Следует отметить, что при подозрении на ТЭК проведение ангиографии оправдано при поражении обеих тазовых конечностей. При поражении одной конечности снимок следует выполнять в прямой проекции. В настоящее время рентгеновская ангиография уступает по своей информативности другим методам визуальной диагностики.
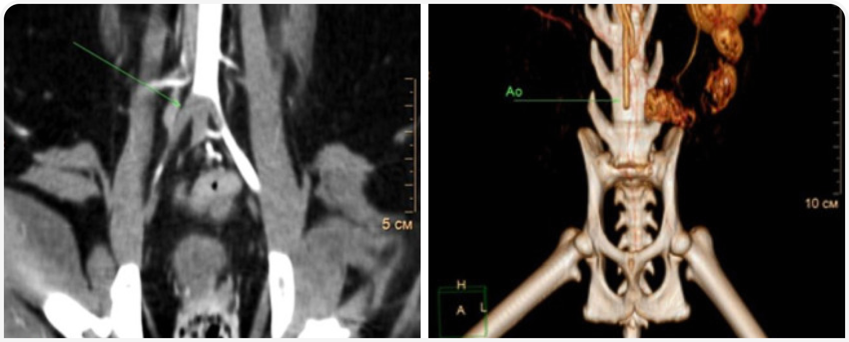
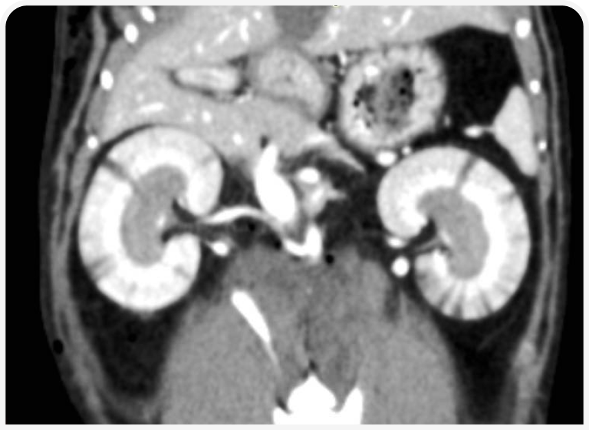
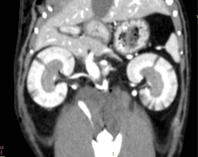
КТ-ангиография – наглядный метод диагностики, который может быть использован для демонстрации расположения тромба. По КТ-ангиографии оценивают дефект заполнения артериального сосуда контрастным веществом (рис. 7).
Помимо расположения самого тромба на КТ, необходимо исследовать другие ткани и органы на наличие дефектов контрастирования. В нашей практике у животных с ТЭК мы обнаруживали мелкие инфаркты коркового слоя почек, которые до этого не удавалось выявить на УЗИ (рис. 8), и сегментарный дефект распределения контраста в паренхиме селезенки.
Визуальная диагностика животных с тромбозами дает нам не только диагноз и топографическое ориентирование патологии, но и алгоритм дальнейшего лечения таких пациентов, прогнозы на жизнь.
Лабораторная диагностика (общий клинический, биохимический анализы крови, исследование электролитов) может выявить разнообразные биохимические нарушения. У большинства кошек обнаруживают стрессовую гипергликемию, преренальную азотемию (которая может также быть ассоциирована с тромбоэмболией почечной артерии), гиперфосфатемию, резкое повышение сывороточной креатинкиназы.
Есть сообщения о гипокальциемии и гипонатриемии. Потенциально опасным осложнением тромбоэмболии является повышение концентрации калия, часто оно возникает внезапно как следствие восстановления перфузии тканей, хотя во время первичного исследования уровень калия может быть снижен. Дополнительно возможно проведение коагуляционных тестов, хотя часто они оказываются в норме.
Лечение тромбоэмболии артерии
Любой метод лечения, который приводит к внезапной реперфузии ишемической ткани, вызывает риск жизнеугрожающих осложнений реперфузионного повреждения, поэтому прогноз обычно бывает от осторожного до неблагоприятного.
Хирургическое лечение (эмболэктомия, проводимая с помощью баллонного катетера, или хирургическая операция) применяется редко, т.к. кошки находятся в группе повышенного риска и часто умирают во время операции, или у них затем повторно образуется тромб. В одной из публикаций иностранных коллег упоминается об удачном удалении тромба из артерий у пяти из шести кошек методом реолитической тромбэктомии.
Терапевтическое лечениеВ настоящее время большинство ветеринарных врачей предпочитают медикаментозные средства лечения артериальной тромбоэмболии.
Если тромб образовался недавно (менее 2–4 часов), можно попробовать провести агрессивную тромболитическую терапиюя: 1. Стрептокиназа 90 000 МЕ/кошку внутривенно в течение 30 минут, затем 4500 МЕ/кошку/час в течение 3 часов; по разным данным, длительность терапии составляет 2–24 часа.
Возможные побочные эффекты: часто возникают опасная для жизни гиперкалиемия, вторичная массивному повреждению мышц; реперфузионное повреждение; кровотечения (так как стрептокиназа вызывает системный фибринолиз).
Тканевый активатор плазминогена (альтеплаза)25–1.0 мг/кг/час внутривенно.
Суммарная доза не должна превышать 1–10 мг/кг. Достоинством является более быстрый лизис тромба и меньший риск кровотечений. Однако при использовании препарата отмечен высокий процент летальных случаев, обусловленных гиперкалиемией и шоком (вследствие реперфузионного повреждения), и не доказана эффективность для выживания по сравнению с консервативной терапией.
Консервативная терапия заключается в лечении застойной сердечной недостаточности, в контроле дегидратации (в т.ч. после агрессивной тромболитической терапии), контроле и коррекции гиперкалиемии, гиперфосфатемии и азотемии, в медикаментозном обезболивании и профилактике артериальной тромбоэмболии низкомолекулярными гепаринами. Препараты, рекомендованные для терапии артериальной тромбоэмболии, если с момента начала проявления признаков болезни прошло более 3 часов:
1. Далтепарин (фрагмин) 100–150 МЕ/кг подкожно каждые 12 часов.
2. Эноксапарин (клексан) 1.5 мг/кг или 180 МЕ/кг подкожно каждые 6–8 часов.
Длительность терапии зависит от улучшения клинического состояния у животных с ТЭК, как правило, минимальный курс составляет порядка 7 дней при наличии положительной динамики в первые 3 суток лечения.
Альтернативная терапия
1. Варфарин, антагонист витамина К. Дозу необходимо титровать до увеличения протромбинового времени в 1.5–2 раза выше базового уровня. Начальная доза составляет от 0,25 до 0,5 мг на кошку каждые 24–48 часов перорально. Доза затем корректируется, чтобы продлить время протромбина примерно в два раза его базового значения или для достижения международного нормализованного отношения (INR) от 2 до 4. Терапия варфарином имеет гораздо больше шансов геморрагических осложнений.
2. Гепарин 200 МЕ/кг внутривенно, затем 150–200 МЕ/кг подкожно каждые 8 часов. Гепарин не растворяет сформировавшийся тромб, но может предотвратить дальнейшую активацию каскада свертывания. Профилактика дальнейшего образования тромбов заключается в лечении хронической сердечной недостаточности, а также контроле уровня калия и креатинина в сыворотке крови с учетом риска гиперкалиемии. Назначается совместное, чаще пожизненное применение следующих препаратов:
3. Аспирин от 5 мг (низкие дозы) до 81 мг (высокие дозы) на кошку перорально 1 раз в 72 часа.
4. Клопидогрел 75 мг/кошку перорально 1 раз в 24 часа.
Прогноз
В целом, прогноз от осторожного до неблагоприятного. Около 50 % пострадавших кошек умирают в течение от 6 до 36 часов. При своевременном проведении терапии часть пациентов может выздоравливать и у некоторых кошек восстанавливаются функции пораженных конечностей. Выжившие кошки, как правило, показывают стабильное улучшение функции конечности, начиная от 24 до 72 часов наблюдения.
Неблагоприятный прогноз для кошек, не показавших никаких улучшений на лечении за 1–3-е сутки. В местах острой ишемии развивается гангрена или сухой некроз. Затраты на медикаменты и стационарное лечение остаются высокими, несмотря на это, выжившие кошки подвергаются риску рецидива (43 % в одном исследовании, в других исследованиях – 17–52 %). Рецидив тромбов происходит даже при применении антикоагулянтов. Кошки с увеличением левого предсердия, особенно более 20 мм в диаметре, подвергаются наибольшему риску аортальной тромбоэмболии.
В нашей практике есть пациент с хронической сердечной недостаточностью, у которого наблюдался трехкратный рецидив (каждые 4–5 месяцев) тромбоэмболии одной из грудных конечностей, причем с каждым разом время на восстановление функции конечности увеличивалось.
Литература
-
1.Gary D. Norsworthy, DVM, DABVP. The Feline Patient Fourth Edition, 2011.
-
2.Макинтайр Д. К., Дробац К. Дж., Хаскингз С. С., Саксон У. Д. Скорая помощь и интенсивная терапия мелких домашних животных, 2013.
-
3.Reimer S. B.,Kittleson M. D., Kyles A. E. Use of rheolytic thrombectomy in the treatment of feline distal aortic thromboembolism, 2006.
-
4.Veterinary focus. 22.1.2012.
-
5.Journal of Feline Medicine and Surgery. July,
-
6.Journal of Internal Medicine. September/October, 2014.
-
7.Goggs R.,Benigni L., Fuentes V. L., Chan D. L. Pulmonary thromboembolism. J Vet Emerg Crit Care (San Antonio), 2009 Feb; 19 (1): 30–52.
-
8.Bright J. M.,Dowers K., Powers B. E. Effects of the glycoprotein IIb/IIIa antagonist abciximab on thrombus formation and platelet function in cats with arterial injury. Vet Ther, 2003 Spring; 4(1): 35–46.
-
9.Klainbart S., Kelmer E., Vidmayer B., Bdolah-Abram T., Segev G., and Aroch I. Peripheral and Central Venous Blood Glucose Concentrations in Dogs and Cats with Acute Arterial Thromboembolism. J Vet Intern Med, 2014; 28.
-
10.Stephanie A. Smith, Anthony H. Tobias, Kristin A. Jacob, Deborah M. Fine, and Pamela L. Grumbles Arterial thromboembolism in cats: acute crisis in 127 cases (1992–2001) and long-term management with low-dose aspirin in 24 cases. J Vet Intern Med, 2003; 17:73-83
-
11.Статья предоставлена журналом «Ветеринарный Петербург»