Пододерматит кошек

13 сентября 2022 г.
Кол-во просмотров 28335
Время чтения 12 мин

Заключение

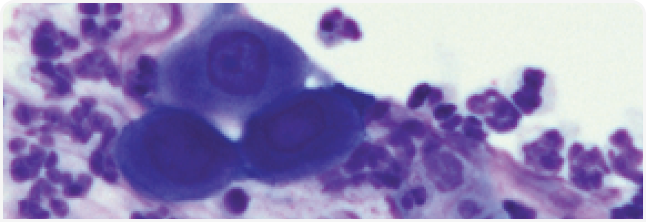
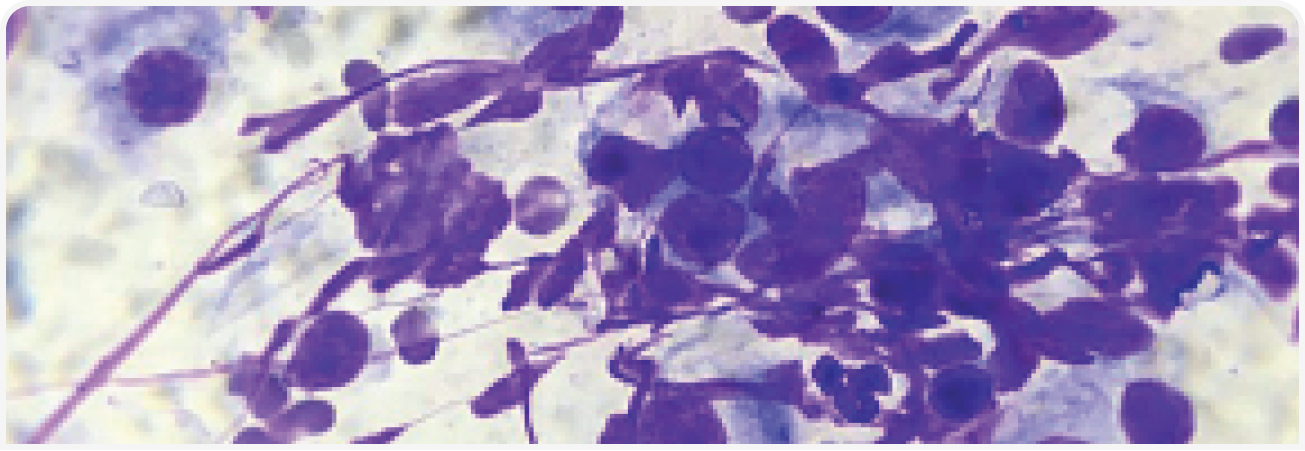
Во всех случаях поражения подушечек лап у кошки необходимы полное дерматологическое обследование и физикальный осмотр. Если поражения ограничиваются только лапами, основной дифференциальный диагноз — плазматический пододерматит и легочно-пальцевой синдром, в меньшей степени эозинофильная гранулема, иногда поражающая только лапы; заболевания можно предварительно дифференцировать по внешнему виду, с подкреплением результатами тонкоигольной аспирационной биопсии. Листовидная пузырчатка также редко ограничивается поражением только подушечек лап и обычно поражает всю лапу и сопровождается тяжелой паронихией. При эозинофильной гранулеме, реакции на укусы комаров и листовидной пузырчатке чаще поражаются другие участки тела, но при листовидной пузырчатке поражение обычно двусторонне симметричное с пустулами и корками, в отличие от спорадического распространения при эозинофильной гранулеме или локализации на участках морды с небольшим количеством шерсти про реакции на укусы комаров. Наконец, системные проявления чаще встречаются при листовидной пузырчатке. Окончательный диагноз устанавливают гистопатологически, и, хотя в терапию обычно включают иммуномодуляцию, для каждого заболевания она индивидуальна, как и прогноз.

Литература

  1. Scott DW, Miller WH, Erb HN. Feline dermatology at Cornell University: 1407 cases (1988-2003). J Feline Med Surg 2012;15(4):307- 316.
  2. Cain CL, Mauldin EA. Diagnostically Challenging Dermatoses of Cats. In: Little SE (ed.) August's Consultations in Feline Internal Medicine Vol. 7. 1st ed. St Louis, MO; WB Saunders 2016;295-306.
  3. Banovic F. Immune-Mediated Diseases. In: Noli C, Colombo S (eds.) Feline Dermatology. 1st ed. Switzerland AG, Springer Nature 2020;511-530.
  4. Guaguere E, Prelaud P, Degorce-Rubiales F, et al. Feline plasma cell pododermatitis: a retrospective study of 26 cases. Vet Dermatol 2004;15:27.
  5. Scarampella F, Ordeix L. Doxycycline therapy in 10 cases of feline plasma cell pododermatitis: clinical, haematological and serological evaluations. Vet Dermatol 2004;15:27.
  6. Bettenay SV, Mueller RS, Dow K, et al. Prospective study of the treatment of feline plasmacytic pododermatitis with doxycycline. Vet Rec 2003;152:564-566.
  7. Bettenay SV, Lappin MR, Mueller RS. An immunohistochemical and polymerase chain reaction evaluation of feline plasmacytic pododermatitis. Vet Pathol 2007;44:80-83.
  8. Pereira PD, Faustino AMR. Feline plasma cell pododermatitis: a study of 8 cases. Vet Dermatol 2003;14:333-337.
  9. Buckley L, Nuttall T. Feline eosinophilic granuloma complexities: some clinical clarification. J Feline Med Surg 2012;14:471-481.
  10. Bloom PB. Canine and feline eosinophilic skin diseases. Vet Clin North Am Small Anim Pract 2006;36:141-160.
  11. Miller WH, Griffin CE, Campbell KL. Miscellaneous skin diseases. In: Muller and Kirk's Small Animal Dermatology. 7th ed. Philadelphia, WB Saunders, 2013;695-723.
  12. Pressanti C, Cadiergues MC. Feline familial pedal eosinophilic dermatosis in two littermates. J Feline Med Surg 2015;1(1):2055116915579683.
  13. Jordan TJM, Affolter VK, Outerbridge CA, et al. Clinicopathological findings and clinical outcomes in 49 cases of feline pemphigus foliaceus examined in Northern California, USA (1987-2017). Vet Dermatol 2019;30:209-219.
  14. Bizikova P, Burrows A. Feline pemphigus foliaceus: original case series and a comprehensive literature review. BMC Vet Res 2019;22:1-15.
  15. Preziosi DE. Feline pemphigus folliaceus. Vet Clin Small Anim 2019;49:95-104.
  16. Olivry T. A review of autoimmune skin diseases in domestic animals: 1 – superficial pemphigus. Vet Dermatol 2006;17:291-305.
  17. Bizikova P. Autoimmune Diseases. In: Noli C, Colombo S (eds.) Feline Dermatology. 1st ed. Switzerland AG, Springer Nature 2020;495-509.
  18. Klinger CJ, Mueller RS. Pemphigus foliaceus in feline patients. Vet Focus 2018;28.1:15-19.
  19. Mason K. Mosquito-byte Hypersensitivity. In: Noli C, Colombo S (eds.) Feline Dermatology. 1st ed. Switzerland AG Springer Nature, 2020;489-494.
  20. Goldfinch N, Argyle D. Feline lung-digit syndrome: unusual metastatic patterns of primary lung tumors in cats. J Feline Med Surg 2012;14:202-208.
  21. Sugiyama H, Maruo T, Shida T, et al. Clinical findings in lung-digit syndrome in five cats. J Jpn Vet Cancer Soc 2010;1(1):8-13.
  22. Thrift E, Greenwell C, Turner AL, et al. Metastatic pulmonary carcinomas in cats (“feline lung-digit syndrome”): further variations on a theme. J Feline Med Surg open rep 2017;1-8.
  23. van der Limde-Sipman JS, van den Ingh TS. Primary and metastatic carcinomas in the digits of cats. Vet Q 2010;3:141-145.
  24. Wobeser BK, Kidney BA, Powers BE, et al. Diagnoses and clinical outcomes associated with surgically amputated feline digits submitted to multiple veterinary diagnostic laboratories. Vet Pathol 2007;44:362-365.

Готовы прокачать свою диагностическую интуицию?
Пройти квиз
НЕФРОЛОГИЯ И УРОЛОГИЯ
Курс
Бесплатно
Почечный Компас: старт в ветеринарной нефроурологии
Образовательный центр Василёк
Ельцова Алёна Анатольевна
Ветеринарный врач анестезиолог-реаниматолог
Маркелова Яна Сергеевна
Ветеринарный врач-нефролог, специалист УЗД
Ковыршин Денис Александрович
Ветеринарный врач-рентгенолог, практикующий специалист
Гольша Наталья Сергеевна
Врач УЗД экспертного уровня
Брагина София Сергеевна
Ветеринарный врач-бактериолог. Руководитель бактериологического отдела независимой лаборатории «ПОИСК»
Есенина Дарья Андреевна
Ветеринарный врач-хирург, эндоскопист
Александрова Елизавета Вадимовна
Заведующая отделением банка крови VetCity Clinic. Врач интенсивной терапии
06 -
апреля
01
мая
10:00
По Москве
Образовательный центр Василёк
Ельцова Алёна Анатольевна
Ветеринарный врач анестезиолог-реаниматолог
Маркелова Яна Сергеевна
Ветеринарный врач-нефролог, специалист УЗД
Ковыршин Денис Александрович
Ветеринарный врач-рентгенолог, практикующий специалист
Гольша Наталья Сергеевна
Врач УЗД экспертного уровня
Брагина София Сергеевна
Ветеринарный врач-бактериолог. Руководитель бактериологического отдела независимой лаборатории «ПОИСК»
Есенина Дарья Андреевна
Ветеринарный врач-хирург, эндоскопист
Александрова Елизавета Вадимовна
Заведующая отделением банка крови VetCity Clinic. Врач интенсивной терапии
ОФТАЛЬМОЛОГИЯ
Мастер-Класс
Офлайн
Бесплатно
Офтальмология для практиков: от знаний к уверенным действиям
Vetcity Academy: образование, построенное на доверии, опыте и ценностях.
Миронович Артем Олегович
ведущий офтальмолог Vetcity, эксперт с международным бэкграундом (ESVO/ACVO).
16-30
апреля
10:00
По Москве
Vetcity Academy: образование, построенное на доверии, опыте и ценностях.
Миронович Артем Олегович
ведущий офтальмолог Vetcity, эксперт с международным бэкграундом (ESVO/ACVO).
НЕФРОЛОГИЯ И УРОЛОГИЯ
Курс
Офлайн
Бесплатно
Ветеринарная нефрология и урология. Первый модуль
Многопрофильный научно-образовательный центр “DuoCor”
Прокофьева Наталия Игоревна
Ветеринарный врач интернальной медицины со специализацией в области нефрологии и урологии
Сурикова Регина Юрьевна
Ветеринарный врач-терапевт, уролог, нефролог МВЦ «ДваСердца»
Глухина (Андреева) Екатерина
ветеринарный врач терапевт, нефролог, уролог ВК «ProVet»
Дарья Новикова
ветеринарный врач-терапевт, нефролог, уролог ВК Сотникова
20-24
апреля
10:00
По Москве
Многопрофильный научно-образовательный центр “DuoCor”
Прокофьева Наталия Игоревна
Ветеринарный врач интернальной медицины со специализацией в области нефрологии и урологии
Сурикова Регина Юрьевна
Ветеринарный врач-терапевт, уролог, нефролог МВЦ «ДваСердца»
Глухина (Андреева) Екатерина
ветеринарный врач терапевт, нефролог, уролог ВК «ProVet»
Дарья Новикова
ветеринарный врач-терапевт, нефролог, уролог ВК Сотникова
НЕОТЛОЖНАЯ МЕДИЦИНА
Мастер-Класс
Офлайн
Бесплатно
СЛР без ошибок: практика вместо паники
Образовательный центр Василёк
Заволжинская Вероника Александровна 
Руководитель отделения анестезиологии СВК «Астин», ветеринарный врач анестезиолог-реаниматолог, преподаватель курсов в Международной Ветеринарной академии и ОЦ КВС
25
апреля
10:00
По Москве
Образовательный центр Василёк
Заволжинская Вероника Александровна 
Руководитель отделения анестезиологии СВК «Астин», ветеринарный врач анестезиолог-реаниматолог, преподаватель курсов в Международной Ветеринарной академии и ОЦ КВС
ВИЗУАЛЬНАЯ ДИАГНОСТИКА
Мастер-Класс
Офлайн
Бесплатно
УЗИ труднодоступных структур
Образовательный центр Василёк
Гольша Наталья Сергеевна
Врач УЗД экспертного уровня
Галкина Анна Александровна
ветеринарный врач-гастроэнтеролог, репродуктолог, специалист УЗД
29
апреля
10:00
По Москве
Образовательный центр Василёк
Гольша Наталья Сергеевна
Врач УЗД экспертного уровня
Галкина Анна Александровна
ветеринарный врач-гастроэнтеролог, репродуктолог, специалист УЗД
АНЕСТЕЗИОЛОГИЯ
Курс
Офлайн
Бесплатно
Основы ветеринарной анестезиологии
Многопрофильный научно-образовательный центр “DuoCor”
Корольчук Михаил Витальевич
Ветеринарный врач-анестезиолог МВЦ "ДваСердца"
Мерзликина Екатерина Сергеевна
Ветеринарный врач-анестезиолог МВЦ «ДваСердца»
Рубанов Максим Вячеславович
Ветеринарный врач-анестезиолог МВЦ «ДваСердца»
Нагайка Маргарита
Ветеринарный врач-анестезиолог МВЦ «ДваСердца»
11-15
мая
10:00
По Москве
Многопрофильный научно-образовательный центр “DuoCor”
Корольчук Михаил Витальевич
Ветеринарный врач-анестезиолог МВЦ "ДваСердца"
Мерзликина Екатерина Сергеевна
Ветеринарный врач-анестезиолог МВЦ «ДваСердца»
Рубанов Максим Вячеславович
Ветеринарный врач-анестезиолог МВЦ «ДваСердца»
Нагайка Маргарита
Ветеринарный врач-анестезиолог МВЦ «ДваСердца»
ГАСТРОЭНТЕРОЛОГИЯ
Курс
Онлайн и офлайн
Бесплатно
Гастроэнтерология мелких домашних животных - программа дополнительной профессиональной переподготовки
Dr.Hug
Пожарская Дарья
Ветеринарный врач, дерматолог, эндокринолог
Кулешов Алексей Алексеевич
научный руководитель, гастроэнтеролог ветеринарных центров «Dr.Hug» и образовательного центра «Vet Brain».
Махкамова Шахноза
Ветеринарный врач-дерматолог, диетолог ветеринарных центров Dr.Hug
Имберт Габриела
Ветеринарный врач УЗД
Громова Алёна Львовна
Ветеринарный врач-реаниматолог МВЦ «ДваСердца»
Калашникова Ольга Владимировна
ветеринарный врач-гастроэнтеролог, токсиколог ВК Сотникова
Скоробогатова Маргарита
Ветеринарный врач-диетолог, дерматолог, врач поведенческой медицины СВК «Астин»
12 -
мая
12
ноября
10:00
По Москве
Dr.Hug
Пожарская Дарья
Ветеринарный врач, дерматолог, эндокринолог
Кулешов Алексей Алексеевич
научный руководитель, гастроэнтеролог ветеринарных центров «Dr.Hug» и образовательного центра «Vet Brain».
Махкамова Шахноза
Ветеринарный врач-дерматолог, диетолог ветеринарных центров Dr.Hug
Имберт Габриела
Ветеринарный врач УЗД
Громова Алёна Львовна
Ветеринарный врач-реаниматолог МВЦ «ДваСердца»
Калашникова Ольга Владимировна
ветеринарный врач-гастроэнтеролог, токсиколог ВК Сотникова
Скоробогатова Маргарита
Ветеринарный врач-диетолог, дерматолог, врач поведенческой медицины СВК «Астин»
НЕОТЛОЖНАЯ МЕДИЦИНА
Вебинар
Онлайн
Бесплатно
Шок (гиповолемический, кардиогенный, септический): диагностика и терапия
Типисова Вероника Олеговна
Врач интенсивной терапии и стационара, руководитель стационарного отделения, заместитель главного врача филиала «Крылатское» ветеринарной клиники 
«Белый Клык».
14
мая
11:00
По Москве
Типисова Вероника Олеговна
Врач интенсивной терапии и стационара, руководитель стационарного отделения, заместитель главного врача филиала «Крылатское» ветеринарной клиники 
«Белый Клык».
ГАСТРОЭНТЕРОЛОГИЯ
Мастер-Класс
Офлайн
Бесплатно
Гибкая эндоскопия ЖКТ
Образовательный центр Василёк
Заболотнов Олег Олегович
руководитель отделения хирургии, врач-эндоскопист Skolkovo Vet. 
Проводит операции на грудной и брюшной полостях, занимается эндохирургией 
и остаётся одним из немногих хирургов, делающих пластику ран разной сложности.
15-16
мая
10:00
По Москве
Образовательный центр Василёк
Заболотнов Олег Олегович
руководитель отделения хирургии, врач-эндоскопист Skolkovo Vet. 
Проводит операции на грудной и брюшной полостях, занимается эндохирургией 
и остаётся одним из немногих хирургов, делающих пластику ран разной сложности.
ХИРУРГИЯ
Мастер-Класс
Офлайн
Бесплатно
Мастер-класс «Комплексный подход к хирургическому лечению органов дыхания»
Образовательный центр Василёк
Заболотнов Олег Олегович
руководитель отделения хирургии, врач-эндоскопист Skolkovo Vet. 
Проводит операции на грудной и брюшной полостях, занимается эндохирургией 
и остаётся одним из немногих хирургов, делающих пластику ран разной сложности.
17-18
мая
10:00
По Москве
Образовательный центр Василёк
Заболотнов Олег Олегович
руководитель отделения хирургии, врач-эндоскопист Skolkovo Vet. 
Проводит операции на грудной и брюшной полостях, занимается эндохирургией 
и остаётся одним из немногих хирургов, делающих пластику ран разной сложности.
КАРДИОЛОГИЯ
Курс
Офлайн
Бесплатно
Ветеринарная кардиология 2 Модуль
Многопрофильный научно-образовательный центр “DuoCor”
Крашенинников Леонид Валерьевич
Ведущий кардиолог ЕВЦ, заведующий отделением кардиологии, лектор множества ветеринарных конференций, член РКВО
Иванова Екатерина Валентиновна
ветеринарный врач-кардиолог, руководитель направления «Ветеринарная медицина» ЧОУ ДПО «МНОЦ «ДуоКор», член экспертного совета КВО, врач-эксперт НВП
Каменева Анна Владимировна
ветеринарный врач-кардиолог, врач визуальной диагностики, зав. отделением кардиологии ВЦ «Зоостатус» г. Москва
Строгуш Полина Андреевна
ветеринарный врач-кардиолог МВЦ "ДваСердца"
Плахотина Елена Юрьевна
ветеринарный врач-кардиолог МВЦ "ДваСердца"
18-24
мая
10:00
По Москве
Многопрофильный научно-образовательный центр “DuoCor”
Крашенинников Леонид Валерьевич
Ведущий кардиолог ЕВЦ, заведующий отделением кардиологии, лектор множества ветеринарных конференций, член РКВО
Иванова Екатерина Валентиновна
ветеринарный врач-кардиолог, руководитель направления «Ветеринарная медицина» ЧОУ ДПО «МНОЦ «ДуоКор», член экспертного совета КВО, врач-эксперт НВП
Каменева Анна Владимировна
ветеринарный врач-кардиолог, врач визуальной диагностики, зав. отделением кардиологии ВЦ «Зоостатус» г. Москва
Строгуш Полина Андреевна
ветеринарный врач-кардиолог МВЦ "ДваСердца"
Плахотина Елена Юрьевна
ветеринарный врач-кардиолог МВЦ "ДваСердца"
НЕОТЛОЖНАЯ МЕДИЦИНА
Вебинар
Онлайн
Бесплатно
Инфузионная терапия 
(шоковая и плановая)
Типисова Вероника Олеговна
Врач интенсивной терапии и стационара, руководитель стационарного отделения, заместитель главного врача филиала «Крылатское» ветеринарной клиники 
«Белый Клык».
19
мая
11:00
По Москве
Типисова Вероника Олеговна
Врач интенсивной терапии и стационара, руководитель стационарного отделения, заместитель главного врача филиала «Крылатское» ветеринарной клиники 
«Белый Клык».
ОРТОПЕДИЯ
Курс
Офлайн
Бесплатно
Остеосинтез. Основной курс
Образовательный центр Василёк
Бекичеков Вадим Сергеевич:
Ветеринарный врач хирург-ортопед, травматолог, нейрохирург. Основатель ветеринарного центра «Vetmajor» Член АО VET (подразделение AO ASIF — международная ассоциация остеосинтеза) Член Европейского общества ветеринарной ортопедии и травматологии (ESVOT)
21-22
мая
10:00
По Москве
Образовательный центр Василёк
Бекичеков Вадим Сергеевич:
Ветеринарный врач хирург-ортопед, травматолог, нейрохирург. Основатель ветеринарного центра «Vetmajor» Член АО VET (подразделение AO ASIF — международная ассоциация остеосинтеза) Член Европейского общества ветеринарной ортопедии и травматологии (ESVOT)
ПСИХОЛОГИЧЕСКОЕ ЗДОРОВЬЕ
Вебинар
Онлайн
Бесплатно
Как принимать критику от старших коллег без потери самооценки
Широковских Елена
Клинический и перинатальный психолог, Специалист Эмоционально-образной терапии, Автор методик в области психологии, колоды метафорических карт 
и трансформационной игры.
26
мая
11:00
По Москве
Широковских Елена
Клинический и перинатальный психолог, Специалист Эмоционально-образной терапии, Автор методик в области психологии, колоды метафорических карт 
и трансформационной игры.
АНЕСТЕЗИОЛОГИЯ
Курс
Офлайн
Бесплатно
Анестезия в торакальной хирургии
Многопрофильный научно-образовательный центр “DuoCor”
Корольчук Михаил Витальевич
Ветеринарный врач-анестезиолог МВЦ "ДваСердца"
Нагайка Маргарита
Ветеринарный врач-анестезиолог МВЦ «ДваСердца»
27-28
мая
10:00
По Москве
Многопрофильный научно-образовательный центр “DuoCor”
Корольчук Михаил Витальевич
Ветеринарный врач-анестезиолог МВЦ "ДваСердца"
Нагайка Маргарита
Ветеринарный врач-анестезиолог МВЦ «ДваСердца»
ХИРУРГИЯ
Мастер-Класс
Офлайн
Бесплатно
Основы хирургического вмешательства на грудной полости
Образовательный центр Василёк
Заболотнов Олег Олегович
руководитель отделения хирургии, врач-эндоскопист Skolkovo Vet. 
Проводит операции на грудной и брюшной полостях, занимается эндохирургией 
и остаётся одним из немногих хирургов, делающих пластику ран разной сложности.
31
мая
10:00
По Москве
Образовательный центр Василёк
Заболотнов Олег Олегович
руководитель отделения хирургии, врач-эндоскопист Skolkovo Vet. 
Проводит операции на грудной и брюшной полостях, занимается эндохирургией 
и остаётся одним из немногих хирургов, делающих пластику ран разной сложности.
НЕОТЛОЖНАЯ МЕДИЦИНА
Курс
Офлайн
Бесплатно
Интенсивная терапия и реанимация собак и кошек. 1 Модуль
Многопрофильный научно-образовательный центр “DuoCor”
Малышева Дарья Владимировна
Ветеринарный врач анестезиолог/пульмонолог
Дегтерев Георгий Денисович
Ветеринарный врач визуальной диагностики МВЦ «ДваСердца»
Бойкова Валерия Ростиславовна
Ветеринарный врач клиники DuoCor
Громова Алёна Львовна
Ветеринарный врач-реаниматолог МВЦ «ДваСердца»
Корольчук Михаил Витальевич
Ветеринарный врач-анестезиолог МВЦ "ДваСердца"
Бондарь Тимофей Алексеевич
ветеринарный врач-реаниматолог МВЦ "ДваСердца"
Федорова Анна Руслановна
Ветеринарный врач-реаниматолог МВЦ "ДваСердца"
01-05
июня
10:00
По Москве
Многопрофильный научно-образовательный центр “DuoCor”
Малышева Дарья Владимировна
Ветеринарный врач анестезиолог/пульмонолог
Дегтерев Георгий Денисович
Ветеринарный врач визуальной диагностики МВЦ «ДваСердца»
Бойкова Валерия Ростиславовна
Ветеринарный врач клиники DuoCor
Громова Алёна Львовна
Ветеринарный врач-реаниматолог МВЦ «ДваСердца»
Корольчук Михаил Витальевич
Ветеринарный врач-анестезиолог МВЦ "ДваСердца"
Бондарь Тимофей Алексеевич
ветеринарный врач-реаниматолог МВЦ "ДваСердца"
Федорова Анна Руслановна
Ветеринарный врач-реаниматолог МВЦ "ДваСердца"
ХИРУРГИЯ
Курс
Офлайн
Бесплатно
Диагностическая эндоскопия
Многопрофильный научно-образовательный центр “DuoCor”
Новиков Константин Игоревич
Ведущий хирург, эндоскопист МВЦ "ДваСердца"
Всеволод Ермаков
Ведущий хирург, невролог, нейрохирург, заведующий отделением хирургии МВЦ «ДваСердца»
Гвоздикина Ксения Александровна
Ветеринарный врач — хирург МВЦ «Два Сердца». Специализация — эндоскопия, эндохирургия, общая хирургия. Стаж работы 10 лет. Окончила СПБГАВМ в 2015 году. Постоянный участник национальной ветеринарной конференции, конференций Санкт-Петербургского ветеринарного общества
08-11
июня
10:00
По Москве
Многопрофильный научно-образовательный центр “DuoCor”
Новиков Константин Игоревич
Ведущий хирург, эндоскопист МВЦ "ДваСердца"
Всеволод Ермаков
Ведущий хирург, невролог, нейрохирург, заведующий отделением хирургии МВЦ «ДваСердца»
Гвоздикина Ксения Александровна
Ветеринарный врач — хирург МВЦ «Два Сердца». Специализация — эндоскопия, эндохирургия, общая хирургия. Стаж работы 10 лет. Окончила СПБГАВМ в 2015 году. Постоянный участник национальной ветеринарной конференции, конференций Санкт-Петербургского ветеринарного общества
ОНКОЛОГИЯ
Курс
Офлайн
Бесплатно
Основы ветеринарной онкологии
Многопрофильный научно-образовательный центр “DuoCor”
Соколова Анастасия Львовна
Ветеринарный врач-хирург, ведущий онколог МВЦ «ДваСердца»
Мамбетшаев Ходжамет Сиранович
ветеринарный врач-терапевт, онколог МВЦ «ДваСердца»
Брюшковский Константин Юрьевич
к.в.н., хирург, онколог, член ИРСО и EVONC, ВК «ЛайфВет»
17-21
июня
10:00
По Москве
Многопрофильный научно-образовательный центр “DuoCor”
Соколова Анастасия Львовна
Ветеринарный врач-хирург, ведущий онколог МВЦ «ДваСердца»
Мамбетшаев Ходжамет Сиранович
ветеринарный врач-терапевт, онколог МВЦ «ДваСердца»
Брюшковский Константин Юрьевич
к.в.н., хирург, онколог, член ИРСО и EVONC, ВК «ЛайфВет»
ХИРУРГИЯ
Курс
Офлайн
Бесплатно
Реконструктивная хирургия. 1 Модуль
Многопрофильный научно-образовательный центр “DuoCor”
Лаврова Ксения Андреевна
Ветеринарный врач, хирург, руководитель хирургического отделения в центре ветеринарной онкологии и интенсивной терапии «Zoomama»
Хомутинник Екатерина Игоревна
Кандидат ветеринарных наук, ветеринарный врач-хирург, эндоскопист МВЦ «ДваСердца»
22-25
июня
10:00
По Москве
Многопрофильный научно-образовательный центр “DuoCor”
Лаврова Ксения Андреевна
Ветеринарный врач, хирург, руководитель хирургического отделения в центре ветеринарной онкологии и интенсивной терапии «Zoomama»
Хомутинник Екатерина Игоревна
Кандидат ветеринарных наук, ветеринарный врач-хирург, эндоскопист МВЦ «ДваСердца»
ДЕРМАТОЛОГИЯ
Семинар
Онлайн и офлайн
Бесплатно
Пациент нефролога, дерматолога и эндокринолога
Dr.Hug
Крутицкая Надежда Сергеевна
Ветеринарный врач ВК Ковчег по специализации нефролог - уролог, президент Ассоциации ветеринарных врачей «НефроУроВет»
Романовская Лилия Викторовна
ветеринарный врач-дерматолог, эндокринолог, терапевт
22
июня
11:00
По Москве
Dr.Hug
Крутицкая Надежда Сергеевна
Ветеринарный врач ВК Ковчег по специализации нефролог - уролог, президент Ассоциации ветеринарных врачей «НефроУроВет»
Романовская Лилия Викторовна
ветеринарный врач-дерматолог, эндокринолог, терапевт
ТЕРАПИЯ
Курс
Онлайн
Бесплатно
Заболевания легких у собак и кошек
Многопрофильный научно-образовательный центр “DuoCor”
Малышева Дарья Владимировна
Ветеринарный врач анестезиолог/пульмонолог
Богданова Наталия Валерьевна
Главный врач филиала, руководитель терапевтического отделения, пульмонолог сети ветеринарных центров Котонай, СПб. Регулярный докладчик ММВК, NVC. Преподаватель курсов повышения квалификации по пульмонологии, авторских курсов и мастер-классов, автор телеграмм-канала Respiratorium
Нечепуренко Ксения Александровна
Ветеринарный врач визуальной диагностики МВЦ «ДваСердца»
Бойкова Валерия Ростиславовна
Ветеринарный врач клиники DuoCor
Новиков Константин Игоревич
Ведущий хирург, эндоскопист МВЦ "ДваСердца"
Громова Алёна Львовна
Ветеринарный врач-реаниматолог МВЦ «ДваСердца»
Кривчикова Анастасия Алексеевна
Ветеринарный врач-терапевт, пульмонолог, заведующая отделением терапии МВЦ «ДваСердца»
Многопрофильный научно-образовательный центр “DuoCor”
Малышева Дарья Владимировна
Ветеринарный врач анестезиолог/пульмонолог
Богданова Наталия Валерьевна
Главный врач филиала, руководитель терапевтического отделения, пульмонолог сети ветеринарных центров Котонай, СПб. Регулярный докладчик ММВК, NVC. Преподаватель курсов повышения квалификации по пульмонологии, авторских курсов и мастер-классов, автор телеграмм-канала Respiratorium
Нечепуренко Ксения Александровна
Ветеринарный врач визуальной диагностики МВЦ «ДваСердца»
Бойкова Валерия Ростиславовна
Ветеринарный врач клиники DuoCor
Новиков Константин Игоревич
Ведущий хирург, эндоскопист МВЦ "ДваСердца"
Громова Алёна Львовна
Ветеринарный врач-реаниматолог МВЦ «ДваСердца»
Кривчикова Анастасия Алексеевна
Ветеринарный врач-терапевт, пульмонолог, заведующая отделением терапии МВЦ «ДваСердца»
ВИЗУАЛЬНАЯ ДИАГНОСТИКА
Курс
Онлайн
Бесплатно
Интерпретация МРТ
Многопрофильный научно-образовательный центр “DuoCor”
Карпенко Маруся Михайловна
Ветеринарный врач-невролог, врач МРТ диагностики МВЦ "ДваСердца"
Керножицкая Анна Александровна
Ветеринарный врач МРТ, клиника "Доктор Вет", г. Минск
Многопрофильный научно-образовательный центр “DuoCor”
Карпенко Маруся Михайловна
Ветеринарный врач-невролог, врач МРТ диагностики МВЦ "ДваСердца"
Керножицкая Анна Александровна
Ветеринарный врач МРТ, клиника "Доктор Вет", г. Минск
ВИЗУАЛЬНАЯ ДИАГНОСТИКА
Курс
Онлайн
Бесплатно
Холтеровское мониторирование
Многопрофильный научно-образовательный центр “DuoCor”
Иванова Екатерина Валентиновна
ветеринарный врач-кардиолог, руководитель направления «Ветеринарная медицина» ЧОУ ДПО «МНОЦ «ДуоКор», член экспертного совета КВО, врач-эксперт НВП
Каменева Анна Владимировна
ветеринарный врач-кардиолог, врач визуальной диагностики, зав. отделением кардиологии ВЦ «Зоостатус» г. Москва
Трунов Артём Альбертович
к.в.н., ветеринарный врач-кардиолог ВК доктора Сотникова
Многопрофильный научно-образовательный центр “DuoCor”
Иванова Екатерина Валентиновна
ветеринарный врач-кардиолог, руководитель направления «Ветеринарная медицина» ЧОУ ДПО «МНОЦ «ДуоКор», член экспертного совета КВО, врач-эксперт НВП
Каменева Анна Владимировна
ветеринарный врач-кардиолог, врач визуальной диагностики, зав. отделением кардиологии ВЦ «Зоостатус» г. Москва
Трунов Артём Альбертович
к.в.н., ветеринарный врач-кардиолог ВК доктора Сотникова
ВИЗУАЛЬНАЯ ДИАГНОСТИКА
Курс
Онлайн
Бесплатно
Интернальная медицина
Многопрофильный научно-образовательный центр “DuoCor”
Буравова Татьяна Вячеславовна
Ветеринарный врач-терапевт, эндокринолог МВЦ "ДваСердца"
Гишян Анастасия Аршаковна
Микробиолог лаборатории «ДуоКор Лаб»
Мамбетшаев Ходжамет Сиранович
ветеринарный врач-терапевт, онколог МВЦ «ДваСердца»
Боброва Екатерина Юрьевна
Ветеринарный врач-терапевт, эндокринолог, гематолог МВЦ "Два Сердца"
Многопрофильный научно-образовательный центр “DuoCor”
Буравова Татьяна Вячеславовна
Ветеринарный врач-терапевт, эндокринолог МВЦ "ДваСердца"
Гишян Анастасия Аршаковна
Микробиолог лаборатории «ДуоКор Лаб»
Мамбетшаев Ходжамет Сиранович
ветеринарный врач-терапевт, онколог МВЦ «ДваСердца»
Боброва Екатерина Юрьевна
Ветеринарный врач-терапевт, эндокринолог, гематолог МВЦ "Два Сердца"
НЕВРОЛОГИЯ
Курс
Онлайн
Бесплатно
Ветеринарная неврология
Многопрофильный научно-образовательный центр “DuoCor”
Сердюк Владислав Валентинович
Ведущий хирург, невролог, нейрохирург, заведующий отделением хирургии МВЦ «ДваСердца»
Карпенко Маруся Михайловна
Ветеринарный врач-невролог, врач МРТ диагностики МВЦ "ДваСердца"
Чистова Мария Кирилловна
Ветеринарный врач-невролог, врач МР-диагностики МВЦ "ДваСердца"
Думанская Анастасия Романовна
Ветеринарный врач-невролог ВК Сложного случая
Многопрофильный научно-образовательный центр “DuoCor”
Сердюк Владислав Валентинович
Ведущий хирург, невролог, нейрохирург, заведующий отделением хирургии МВЦ «ДваСердца»
Карпенко Маруся Михайловна
Ветеринарный врач-невролог, врач МРТ диагностики МВЦ "ДваСердца"
Чистова Мария Кирилловна
Ветеринарный врач-невролог, врач МР-диагностики МВЦ "ДваСердца"
Думанская Анастасия Романовна
Ветеринарный врач-невролог ВК Сложного случая
НЕОТЛОЖНАЯ МЕДИЦИНА
Курс
Онлайн
Бесплатно
Инфузионная терапия
Многопрофильный научно-образовательный центр “DuoCor”
Грачева Галина Юрьевна
Ветеринарный врач, преподаватель кафедры внутренних болезней животных СПбГУВМ, руководитель направления «Медицина» ЧОУ ДПО «МНОЦ «ДуоКор», основатель проекта «ICUvetSchool»
Корольчук Михаил Витальевич
Ветеринарный врач-анестезиолог МВЦ "ДваСердца"
Многопрофильный научно-образовательный центр “DuoCor”
Грачева Галина Юрьевна
Ветеринарный врач, преподаватель кафедры внутренних болезней животных СПбГУВМ, руководитель направления «Медицина» ЧОУ ДПО «МНОЦ «ДуоКор», основатель проекта «ICUvetSchool»
Корольчук Михаил Витальевич
Ветеринарный врач-анестезиолог МВЦ "ДваСердца"
ДИЕТОЛОГИЯ
Курс
Онлайн
Бесплатно
Диетология на каждый день
Dr.Hug
Махкамова Шахноза
Ветеринарный врач-дерматолог, диетолог ветеринарных центров Dr.Hug
Скоробогатова Маргарита
Ветеринарный врач-диетолог, дерматолог, врач поведенческой медицины СВК «Астин»
Dr.Hug
Махкамова Шахноза
Ветеринарный врач-дерматолог, диетолог ветеринарных центров Dr.Hug
Скоробогатова Маргарита
Ветеринарный врач-диетолог, дерматолог, врач поведенческой медицины СВК «Астин»
1 / 48
Проверьте свои знания и получите баллы!
Вопрос {{ question_num }} / {{ questions.length }}
{{ rus_letters[index] }}
Поздравляем!
Вы завершили образовательный тест
«Пододерматит кошек»!
Ваш результат: {{ total }} из {{ questions.length }}
50
Заработанные
баллы
Баллы начисляются за изучение материалов, их можно обменять на подарки в разделе Программы лояльности
Баллы за прохождение теста
были начислены ранее
Ваши ошибки
Вопрос {{ error[0] + 1 }} / {{ questions.length }}
Ваш ответ:
Правильный ответ:
Представленные материалы отражают позицию автора на момент публикации. Пожалуйста, учитывайте возможные изменения в научных данных. ВетАкадемия не несет ответственность за информацию о дозировках и методах применения. Достоверность этих сведений должна проверяться индивидуально по соответствующим источникам.
Понравился материал?
Зарегистрируйтесь и получите возможность сохранять статьи, скачивать дополнительные материалы, проходить тесты и квизы, а также получать баллы за изучение материалов
Зарегистрироваться