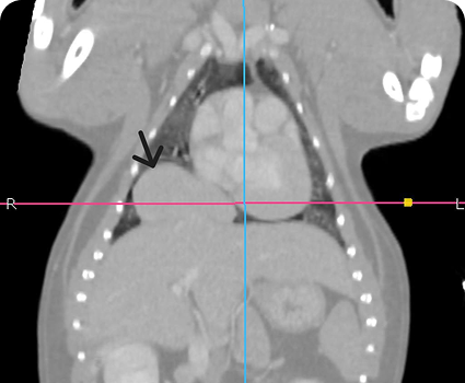
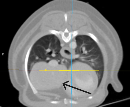
Эктопическая печень в грудной полости у 10-летнего шпица: клинический случай

16 апреля 2025 г.
Кол-во просмотров 504
Время чтения 5 мин
Ветеринарная клиника "Василёк"
Учебный центр
Калевская Яна Феликсовна
Ветеринарный врач-онколог, руководитель образовательного центра СВК «Василек»
Ближайшие мероприятия партнера Образовательный центр Василёк
НЕФРОЛОГИЯ И УРОЛОГИЯ
Курс
Бесплатно
Почечный Компас: старт в ветеринарной нефроурологии
Образовательный центр Василёк
Ельцова Алёна Анатольевна
Ветеринарный врач анестезиолог-реаниматолог
Маркелова Яна Сергеевна
Ветеринарный врач-нефролог, специалист УЗД
Ковыршин Денис Александрович
Ветеринарный врач-рентгенолог, практикующий специалист
Гольша Наталья Сергеевна
Врач УЗД экспертного уровня
Брагина София Сергеевна
Ветеринарный врач-бактериолог. Руководитель бактериологического отдела независимой лаборатории «ПОИСК»
Есенина Дарья Андреевна
Ветеринарный врач-хирург, эндоскопист
Александрова Елизавета Вадимовна
Заведующая отделением банка крови VetCity Clinic. Врач интенсивной терапии
06 -
апреля
01
мая
10:00
По Москве
Образовательный центр Василёк
Ельцова Алёна Анатольевна
Ветеринарный врач анестезиолог-реаниматолог
Маркелова Яна Сергеевна
Ветеринарный врач-нефролог, специалист УЗД
Ковыршин Денис Александрович
Ветеринарный врач-рентгенолог, практикующий специалист
Гольша Наталья Сергеевна
Врач УЗД экспертного уровня
Брагина София Сергеевна
Ветеринарный врач-бактериолог. Руководитель бактериологического отдела независимой лаборатории «ПОИСК»
Есенина Дарья Андреевна
Ветеринарный врач-хирург, эндоскопист
Александрова Елизавета Вадимовна
Заведующая отделением банка крови VetCity Clinic. Врач интенсивной терапии
НЕОТЛОЖНАЯ МЕДИЦИНА
Мастер-Класс
Офлайн
Бесплатно
СЛР без ошибок: практика вместо паники
Образовательный центр Василёк
Заволжинская Вероника Александровна 
Руководитель отделения анестезиологии СВК «Астин», ветеринарный врач анестезиолог-реаниматолог, преподаватель курсов в Международной Ветеринарной академии и ОЦ КВС
25
апреля
10:00
По Москве
Образовательный центр Василёк
Заволжинская Вероника Александровна 
Руководитель отделения анестезиологии СВК «Астин», ветеринарный врач анестезиолог-реаниматолог, преподаватель курсов в Международной Ветеринарной академии и ОЦ КВС
ВИЗУАЛЬНАЯ ДИАГНОСТИКА
Мастер-Класс
Офлайн
Бесплатно
УЗИ труднодоступных структур
Образовательный центр Василёк
Гольша Наталья Сергеевна
Врач УЗД экспертного уровня
Галкина Анна Александровна
ветеринарный врач-гастроэнтеролог, репродуктолог, специалист УЗД
29
апреля
10:00
По Москве
Образовательный центр Василёк
Гольша Наталья Сергеевна
Врач УЗД экспертного уровня
Галкина Анна Александровна
ветеринарный врач-гастроэнтеролог, репродуктолог, специалист УЗД
ГАСТРОЭНТЕРОЛОГИЯ
Мастер-Класс
Офлайн
Бесплатно
Гибкая эндоскопия ЖКТ
Образовательный центр Василёк
Заболотнов Олег Олегович
руководитель отделения хирургии, врач-эндоскопист Skolkovo Vet. 
Проводит операции на грудной и брюшной полостях, занимается эндохирургией 
и остаётся одним из немногих хирургов, делающих пластику ран разной сложности.
15-16
мая
10:00
По Москве
Образовательный центр Василёк
Заболотнов Олег Олегович
руководитель отделения хирургии, врач-эндоскопист Skolkovo Vet. 
Проводит операции на грудной и брюшной полостях, занимается эндохирургией 
и остаётся одним из немногих хирургов, делающих пластику ран разной сложности.
ХИРУРГИЯ
Мастер-Класс
Офлайн
Бесплатно
Мастер-класс «Комплексный подход к хирургическому лечению органов дыхания»
Образовательный центр Василёк
Заболотнов Олег Олегович
руководитель отделения хирургии, врач-эндоскопист Skolkovo Vet. 
Проводит операции на грудной и брюшной полостях, занимается эндохирургией 
и остаётся одним из немногих хирургов, делающих пластику ран разной сложности.
17-18
мая
10:00
По Москве
Образовательный центр Василёк
Заболотнов Олег Олегович
руководитель отделения хирургии, врач-эндоскопист Skolkovo Vet. 
Проводит операции на грудной и брюшной полостях, занимается эндохирургией 
и остаётся одним из немногих хирургов, делающих пластику ран разной сложности.
ОРТОПЕДИЯ
Курс
Офлайн
Бесплатно
Остеосинтез. Основной курс
Образовательный центр Василёк
Бекичеков Вадим Сергеевич:
Ветеринарный врач хирург-ортопед, травматолог, нейрохирург. Основатель ветеринарного центра «Vetmajor» Член АО VET (подразделение AO ASIF — международная ассоциация остеосинтеза) Член Европейского общества ветеринарной ортопедии и травматологии (ESVOT)
21-22
мая
10:00
По Москве
Образовательный центр Василёк
Бекичеков Вадим Сергеевич:
Ветеринарный врач хирург-ортопед, травматолог, нейрохирург. Основатель ветеринарного центра «Vetmajor» Член АО VET (подразделение AO ASIF — международная ассоциация остеосинтеза) Член Европейского общества ветеринарной ортопедии и травматологии (ESVOT)
ХИРУРГИЯ
Мастер-Класс
Офлайн
Бесплатно
Основы хирургического вмешательства на грудной полости
Образовательный центр Василёк
Заболотнов Олег Олегович
руководитель отделения хирургии, врач-эндоскопист Skolkovo Vet. 
Проводит операции на грудной и брюшной полостях, занимается эндохирургией 
и остаётся одним из немногих хирургов, делающих пластику ран разной сложности.
31
мая
10:00
По Москве
Образовательный центр Василёк
Заболотнов Олег Олегович
руководитель отделения хирургии, врач-эндоскопист Skolkovo Vet. 
Проводит операции на грудной и брюшной полостях, занимается эндохирургией 
и остаётся одним из немногих хирургов, делающих пластику ран разной сложности.
1 / 10
Литература
  1. 1.
    Lande R., Dvorak L., Gardiner D.W., Bahr A. Ectopic Intrathoracic Hepatic Tissue and Accessory Lung Lobe Aplasia in a Dog. Journal of the American Animal Hospital Association, 2015; 51(5): 342-345. DOI: 10.5326/JAAHA-MS-6229.
  2. 2.
    Jeong J., Chang J., Lee S., Kim K., Kim J., Eom K. Radiographic and computed tomographic findings of intrathoracic ectopic liver in a dog. Veterinary Radiology & Ultrasound, 2024. DOI: 10.1111/vru.13422.
  3. 3.
    Burton I.R., Limpus K., Thompson K.G. Ectopic hepatocellular carcinoma in a dog. New Zealand Veterinary Journal, 2005; 53: 465-467.
  4. 4.
    Hyttel P., Sinowatz F., Vejlsted M. Essentials of Domestic Animal Embryology. Saunders Elsevier, 2010.
  5. 5.
    Caswell J.L., Williams K.J. Jubb, Kennedy, and Palmer's Pathology of Domestic Animals, Vol. 2. Elsevier Saunders, 2007.
Представленные материалы отражают позицию автора на момент публикации. Пожалуйста, учитывайте возможные изменения в научных данных. ВетАкадемия не несет ответственность за информацию о дозировках и методах применения. Достоверность этих сведений должна проверяться индивидуально по соответствующим источникам.
Понравился материал?
Зарегистрируйтесь и получите возможность сохранять статьи, скачивать дополнительные материалы, проходить тесты и квизы, а также получать баллы за изучение материалов
Зарегистрироваться