Введение
Панкреатит собак — это воспалительное заболевание поджелудочной железы. Воспаление может иметь острое и хроническое течение. В случае острого воспаления необратимые изменения в поджелудочной железе не наблюдаются, в то время как при хронической болезни у животного развиваются фиброз и атрофия ткани (1). Несмотря на то, что в последнее время появились новые тест-системы, диагностика этого заболевания может быть затруднительной.
Как правило, панкреатит у собак имеет неясную этиологию, однако рассматривается несколько причин и факторов риска, которые могут привести к развитию воспаления. К частым причинам относят ошибки кормления, ожирение и эндокринные заболевания, такие как сахарный диабет, гиперадренокортицизм, гипотиреоз и гипертриглицеридемия (2–5).
Причиной развития может быть применение многих лекарственных препаратов (3, 6, 7):
• бромид калия;
• фенобарбитал;
• тиазидные диуретики;
• фуросемид;
• L-аспарагиназа;
• азатиоприн;
• фосфорорганические соединения.
Также есть информация, что этиологическим фактором может быть бабезиоз (7).
Несколько исследований показали, что повышенный риск развития острого панкреатита отмечается у представителей таких пород, как миниатюрный шнауцер и йоркширский терьер (2–4). Риск развития хронического воспаления, по данным исследований, проведенных в США, повышен у той-терьеров и неспортивных пород (8). Исследования породной предрасположенности развития заболевания, проведенные в Великобритании, показали повышенный риск у представителей пород кавалер-кинг-чарльз-спаниель, английский кокер-спаниель, боксер и колли (9).
Патофизиология
В норме в поджелудочной железе существует несколько защитных механизмов от самопереваривания пищеварительными ферментами и воспаления. Синтезируемые ею протеолитические ферменты содержатся в виде неактивных зимогенов (проферментов) и активируются только после выхода в двенадцатиперстную кишку. Ацинарные клетки поджелудочной железы синтезируют и секретируют ингибитор панкреатического трипсина. В плазме содержится несколько антипротеаз, которые ограничивают активацию проферментов в поджелудочной железе и инактивируют протеолитические ферменты, если они высвободились в кровоток (7, 10).
Панкреатит развивается в результате преждевременного превращения трипсиногена в трипсин в ацинарных клетках, что становится причиной разрушения клеток железы. Образование трипсина вызывает активацию других панкреатических зимогенов, в результате чего происходит самопереваривание поджелудочной железы, развитие в ней воспалительных и некротических процессов, а также системной воспалительной реакции. В некоторых случаях последствия могут быть очень серьезными и приводят к развитию полиорганной недостаточности (7, 10).
Клинические признаки и диагностика
Степень выраженности клинических проявлений варьирует от легкой до тяжелей и угрожающей жизни. Клинические признаки могут включать тошноту, летаргию, отсутствие или снижение аппетита, диарею и абдоминальные боли (8, 11). У собак с хроническим заболеванием клинические признаки выражены слабо и имеют непостоянный характер, однако они могут проявляться и сильно (1).
Животные могут принимать характерную позу «молящегося», вытягивая передние конечности и приподнимая заднюю часть тела (Рисунок 1).
Результаты клинического осмотра будут различными, в зависимости от тяжести заболевания, и могут включать в себя абдоминальные боли (Рисунок 2), обезвоживание, лихорадку и желтуху, при наличии вторичной постпеченочной обструкции желчных протоков (8, 11).
Изменения биохимических и гематологических показателей у собак имеют неспецифический характер и могут включать (3, 11):
• повышение активности печеночных ферментов;
• гипербилирубинемию;
• азотемию;
• гипоальбуминемию;
• гипокальциемию;
• гипокалиемию;
• анемию;
• тромбоцитопению;
• лейкоцитоз;
• реже лейкопению.
Раньше в качестве маркеров панкреатита использовали изменение уровней амилазы и липазы в сыворотке крови, но в настоящее время их не рекомендуется применять ввиду недостаточной чувствительности и специфичности. Синтез как амилазы, так и липазы помимо поджелудочной железы происходит и в других тканях. К тому же стандартные методы исследования крови не позволяют дифференцировать ферменты разного тканевого происхождения (12).
Тест на определение сывороточной иммунореактивности панкреатической липазы собак (cPLI) является самым чувствительным и специфичным методом диагностики. Проводились исследования по оценке эффективности данного теста в случаях, когда был поставлен клинический или гистопатологический диагноз «панкреатит», показавшие, что не у всех пациентов, которым был поставлен гистопатологический диагноз, наблюдались соответствующие клинические признаки.
Чувствительность теста cPLI выше у собак со средним и тяжелым течением заболевания. Кроме того, специфичность теста снижается в случаях, когда нижнее пороговое значение (200 мкг/л) используется для подтверждения диагноза (12–14). Представленные на рынке экспресс-тесты также показали высокую чувствительность (14), и получение отрицательного результата такого теста при панкреатите маловероятно.
Недавно был разработан новый тест для определения активности липазы с применением 1,2-о-дилаурил-рац-глицеро-3-глутаровой кислоты-(6-метилрезоруфин)-эфира в качестве субстрата, который был одобрен для использования у собак (15). Была отмечена высокая сопоставимость результатов с таковыми при использовании тест-систем cPLI.
Визуальные методы диагностики
По результатам рентгенографического исследования брюшной полости ветеринарный врач может предположить наличие панкреатита, но не поставить окончательный диагноз. У больных собак при этом обнаруживаются следующие симптомы:
• снижение детализации или повышение рентгеноконтрастности в правой краниальной части брюшной полости;
• смещение двенадцатиперстной кишки вправо или преддверия привратника влево;
• наличие газа в нисходящей части двенадцатиперстной кишки или в поперечной ободочной кишке (11).
Однако в этом исследовании рентгенологические изменения, указывающие на острый панкреатит, присутствовали только у 24 % собак с крайне тяжелой формой острого панкреатита.
Наиболее распространенным методом визуальной диагностики, используемым для оценки состояния поджелудочной железы у собак, является ультразвуковое исследование брюшной полости.
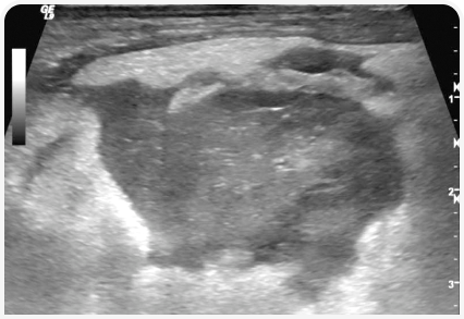
Изменения, наблюдаемые при остром панкреатите, включают в себя увеличение размера и гипоэхогенную структуру поджелудочной железы, часто с гиперэхогенной перипанкреатической областью брыжейки (Рисунок 3).
Также могут выявляться сопутствующие аномалии, такие как псевдокисты, абсцессы или опухолевые образования поджелудочной железы, а также выпот в брюшную полость (6, 11, 17).
В поджелудочной железе могут обнаруживаться гиперэхогенные зоны, что может быть обусловлено фибротическими изменениями ткани (12). Однако УЗИ брюшной полости как единственный метод диагностики острого панкреатита у собак, как правило, имеет низкую чувствительность, по результатам одного исследования составляющую около 68 % (11).
Компьютерная томография (КТ) является наиболее ценным методом визуальной диагностики панкреатита у человека, однако его эффективность у собак точно не установлена. По данным КТ-ангиографии собак с острым панкреатитом, сделанной в рамках недавно проведенного пилотного исследования, изменения включали увеличение, смену структуры от однородной до гетерогенной и усиление контрастности изображения поджелудочной железы, с плохо определяемыми границами у всех собак (18).
Несмотря на то, что исследование не было обширным, результаты оказались обнадеживающими, поскольку КТ-ангиография позволила получить изображение всей поджелудочной железы и общего желчного протока. Было доказано, что данный метод более эффективен, чем ультразвуковое исследование, в тех случаях, когда газ и жидкость, содержащиеся в брюшной полости, ограничивают эффективность ультразвукового исследования.
Лечение
Поскольку специфического лечения при панкреатите не существует, обычно используется поддерживающая терапия (6). Основные меры при остром панкреатите от среднего до тяжелого направлены на устранение таких осложнений, как анорексия, рвота, абдоминальные боли, обезвоживание, нарушения электролитного баланса и иногда синдром системного воспалительного ответа (SIRS) (19, 20). Ниже приводится краткий обзор методов медикаментозного лечения и подробное руководство по лечебному питанию.
Инфузионная терапия
Непрерывное внутривенное введение растворов требуется во всех случаях, за исключением наиболее легкой формы заболевания (19).
У большинства собак в анамнезе отмечается отсутствие аппетита или рвота (Рисунок 4), и введение растворов необходимо для коррекции статуса гидратации и восстановления электролитного баланса.
Лучше всего использовать раствор Рингер лактат или раствор Хартмана. Также может потребоваться дополнительное введение калия.
Коллоидные растворы, такие как гидроксиэтилкрахмал или свежезамороженная плазма, могут быть эффективны при снижении онкотического давления (например, при гипоальбуминемии), однако при этом необходим постоянный мониторинг состояния пациента для своевременного выявления возможных побочных эффектов, таких как коагулопатия (19, 21).
Противорвотные препараты
Рвота значительно ухудшает состояние пациента и усиливает обезвоживание и нарушения кислотно-щелочного и электролитного баланса организма. Новые препараты, такие как маропитант и антагонисты серотониновых рецепторов (ондансетрон, доласетрон), более эффективны в снижении приступов рвоты по сравнению с препаратами предыдущего поколения, например метоклопрамидом (19).
Анальгетики
У собак с панкреатитом зачастую сложно распознать абдоминальные боли, поэтому в большинстве случаев необходимо назначение анальгетических препаратов. Опиаты (агонисты мю-рецепторов), как правило, считаются наиболее эффективными препаратами для облегчения абдоминальных болей. Антагонисты NMDA-рецепторов (например, кетамин) и местные анестетики (например, лидокаин) могут вводиться капельно с постоянной скоростью, как по отдельности, так и в комбинации (19).
Кортикостероиды
Хотя применение кортикостероидных препаратов всегда рассматривалось как фактор риска развития панкреатита, более поздние данные свидетельствуют о том, что они не являются причиной заболевания, и более того, могут использоваться при лечении панкреатита. Кортикостероиды короткого действия в низких физиологических дозах иногда применяются для устранения умеренной и тяжелой форм системного воспалительного ответа (ССВО), связанного с панкреатитом (19).
Питание
Традиционно при лечении острого панкреатита у собак рекомендовалось голодание для обеспечения «покоя поджелудочной железы» (22). Считалось, что диета по принципу «ничего перорально» (nil per os) в течение 48-72 часов (или до 5 дней полного голодания) приведет к сокращению стимуляции панкреатической секреции и чрезмерного высвобождения ферментов (19, 22).
Однако патогенез заболевания включает скорее внутриклеточную активацию протеолитических ферментов, нежели чрезмерную стимуляцию поджелудочной железы (6), к тому же при длительном голодании существует риск развития многочисленных побочных реакций. Белковая недостаточность может вызвать катаболическое состояние и гипопротеинемию.
В результате снижения кровотока через кишечник, атрофии кишечных ворсинок и подавления местного синтеза иммуноглобулинов может наблюдаться нарушение барьерной функции желудочно-кишечного тракта, что является фактором риска бактериальной транслокации и ССВО. Кроме того, подавление моторики кишечника или даже непроходимость могут способствовать усугублению рвоты и диареи (6).
Несколько исследований продемонстрировали безопасность и эффективность принудительного энтерального питания для собак при экспериментальном и спонтанном панкреатите (23-26). Полное парентеральное питание (ППП) также может использоваться, особенно при тяжелой или продолжительной рвоте, хотя это может быть связано с более высокой частотой осложнений (6).
Принудительное энтеральное питание является менее дорогостоящим, более доступным в условиях клинической практики и, скорее всего, более безопасным средством. В настоящее время все более широко рекомендуют нутриционную поддержку на начальном этапе процесса заболевания, а не в более поздние сроки (6, 20, 26).
Существуют питательные трубки (зонды) разных размеров, изготовленные из разных материалов. В случаях острого панкреатита энтеральное питание чаще осуществляется через носожелудочные трубки (НЖ) и эзофагостомы (Э) (6). НЖ-трубки легко устанавливаются без седации и могут оставаться на месте до 7 дней, что, как правило, достаточно для нормализации клинического состояния пациента и возобновления самостоятельного питания.
С помощью НЖ-трубок возможно введение только жидкого корма, что ограничивает выбор продуктов. Установка Э-трубок требует применения общей анестезии и хирургического вмешательства, поэтому у пациентов в критическом состоянии процедура проводится после стабилизации. Через Э-трубку может подаваться любой корм; большинство влажных (консервированных) кормов для собак можно смешать с водой, что делает их консистенцию достаточно жидкой и позволяет избежать закупорки зонда (27, 28).
Идеальная диета для собак с панкреатитом пока не разработана. В большинстве случаев наиболее подходящий вариант – высокоусвояемый корм с ограниченным содержанием жиров (6, 19, 27), так как рационы с высоким содержанием жиров могут создавать риск обострения панкреатита и развития гиперлипидемии.
Обычно рекомендуется использовать готовые корма для собак с содержанием жиров не более 20 г на 1000 ккал (примерно 7 % жиров в пересчете на сухое вещество) (29). Сегодня на рынке доступны ветеринарные диеты с пониженным содержанием жиров, разработанные для животных с желудочно-кишечными заболеваниями.
Тем не менее, использование рационов, предназначенных для животных, страдающих ожирением или непереносимостью клетчатки, не всегда целесообразно ввиду их низкой усвояемости, а также потому, что для обеспечения потребности в энергии необходимо большее количество корма. Представленные на рынке жидкие корма, как правило, не являются обезжиренными, но могут использоваться для питания через НЖ-трубки. При этом необходим мониторинг состояния пациента: при появлении тошноты, рвоты, абдоминального дискомфорта или других нежелательных явлений кормление прекращают (27). В некоторых странах доступны жидкие корма с пониженным содержанием жиров.
Отправной точкой принудительного кормления (через НЖ- или Э-трубки) является расчет потребности в энергии в состоянии покоя (Таблица 1) — суточного количества калорий, необходимого животному в период выздоровления (6, 19, 27, 28).
Собаки с легкой формой панкреатита часто начинают питаться самостоятельно в течение трех дней с момента появления анорексии, в таких случаях в использовании питательных трубок нет необходимости, а постепенный возврат к полноценному кормлению возможен с помощью данных рекомендаций.

Для собак со средней и тяжелой формами панкреатита энтеральное питание (установка зонда) рекомендуется, если анорексия сохраняется в течение трех дней или дольше, и животное не потребляет корм самостоятельно (27, 28).
После выздоровления и выписки из стационара уход на дому за пациентами с острым или хроническим панкреатитом часто включает медикаментозное лечение и переход на постоянный лечебный рацион (1, 20, 27). При развитии гиперлипидемии или высоком риске рецидивирования заболевания следует использовать только легкоусвояемые корма с низким содержанием жиров, упомянутые выше (27, 29).
Для остальных собак возможно использование рациона с умеренным содержанием жиров (до 40 г/1000 ккал или 15 % в пересчете на сухое вещество), но в большинстве случаев следует избегать длительного применения рационов с более высоким содержанием жиров, равно как и кормления «со стола» и лакомств с высоким содержанием жиров.
Литература
-
1.Watson P. Chronic pancreatitis in dogs. Top Comp Anim Med 2012;27(3):133-139.
-
2.Lem KY, Fosgate GT, Norby B, et al. Associations between dietary factors and pancreatitis in dogs. J Am Vet Med Assoc 2008;233(9):1425-1431.
-
3.Cook AK, Breitschwerdt EB, Levine JF. Risk factors associated with acute pancreatitis in dogs: 101 cases (1985-1990). J Am Vet Med Assoc 1993;203(5):673-679.
-
4.Hess RS, Saunders HM, Van Winkle TJ, et al. Evaluation of risk factors for fatal acute pancreatitis in dogs. J Am Vet Med Assoc 1999;214(1):46-51.
-
5.Xenoulis PG, Suchodolski JS, Ruaux CG, et al. Association between serum triglycerides and canine pancreatic lipase immunoreactivity concentrations in Miniature Schnauzers. J Am Anim Hosp Assoc 2010;46:229-234.
-
6.Jensen KB, Chan DL. Nutritional management of acute pancreatitis in dogs and cats. J Vet Emerg Crit Care 2014;24(3):240-250.
-
7.Kalli I, Adamama-Moraitou K, Rallis TS. Acute pancreatitis in dogs: a review article. Eur J Comp Anim Prac 2009;19(2):147-155.
-
8.Bostrom BM, Xenoulis PG, Newman SJ, et al. Chronic pancreatitis in dogs: a retrospective study of clinical, clinicopathological, and histopathological findings in 61 cases. Vet J 2013;195(1):73-79.
-
9.Watson PJ, Roulois AJ, Scase T, et al. Prevalence and breed distribution of chronic pancreatitis at post-mortem examination in first-opinion dogs. J Small Anim Pract 2007;48:609-618.
-
10.Mansfield C. Pathophysiology of acute pancreatitis: potential application from experimental models and human medicine to dogs. J Vet Intern Med 2012;26(4):875-887.
-
11.Hess RS, Saunders HM, Van Winkle TJ, et al. Clinical, clinicopathologic, radiographic, and ultrasonographic abnormalities in dogs with fatal acute pancreatitis: 70 cases (1986-1995). J Am Vet Med Assoc 1998;213(5):665-670.
-
12.Xenoulis PG. Diagnosis of pancreatitis in dogs and cats. J Small Anim Pract 2015;56(1):13-26.
-
13.Trivedi S, Marks SL, Kass PH, et al. Sensitivity and specificity of canine pancreas-specific lipase (cPL) and other markers for pancreatitis in 70 dogs with and without histopathologic evidence of pancreatitis. J Vet Intern Med 2011;25(6):1241-1247.
-
14.McCord K, Morley PS, Armstrong J, et al. A multi-institutional study evaluating the diagnostic utility of the spec cPL™ and SNAP® cPL™ in clinical acute pancreatitis in 84 dogs. J Vet Intern Med 2012;26(4):888-896.
-
15.Graca R, Messick J, Minter H, et al. Validation and diagnostic efficacy of a lipase assay using the substrate 1,2-o-dilauryl-rac-glycero glutaric acid-(6’-methylresorufin)-ester for the diagnosis of acute pancreatitis in dogs. Vet Clin Pathol 2005;34(1):39-43.
-
16.Kook PH, Kohler N, Hartnack S, et al. Agreement of serum Spec cPL with the 1,2-o-dilauryl-rac-glycero glutaric acid-(6’-methylresorufin) ester (DGGR) lipase assay and with pancreatic ultrasonography in dogs with suspected pancreatitis. J Vet Intern Med 2014;28(3):863-870.
-
17.Van Enkevort BA, O’Brien RT, Young KM. Pancreatic pseudocysts in 4 dogs and 2 cats: ultrasonographic and clinicopathologic findings. J Vet Intern Med 1999;13(4):309-313.
-
18.Adrian AM, Twedt DC, Kraft SL, et al. Computed tomographic angiography under sedation in the diagnosis of suspected canine pancreatitis: a pilot study. J Vet Intern Med 2015;29(1):97-103.
-
19.Mansfield C, Beths T. Management of acute pancreatitis in dogs: a critical appraisal with focus on feeding and analgesia. J Small Anim Pract 2015;56:27-39.
-
20.Ruaux CG. Treatment of canine pancreatitis. In Bonagura JD, Twedt DC, eds. Kirk’s Current Veterinary Therapy XV. St. Louis: Elsevier Saunders, 2014;561-565.
-
21.Gauthier V, Holowaychuk MK, Kerr CL, et al. Effect of synthetic colloid administration on coagulation in healthy dogs and dogs with systemic inflammation. J Vet Intern Med 2015;29:276-285.
-
22.Simpson KW. Diseases of the pancreas. In: Tams TR. Handbook of Small Animal Gastroenterology 2nd ed. Philadelphia: Saunders, 2003;363-364.
-
23.Qin HL, Su ZD, Hu LG, et al. Parenteral versus early intrajejunal nutrition: effect on pancreatitic natural course, entero-hormones release and its efficacy on dogs with acute pancreatitis. World J Gastroenterol 2003;9:2270-2273.
-
24.Qin HL, Su ZD, Hu LG, et al. Effect of parenteral and early intrajejunal nutrition on pancreatic digestive enzyme synthesis, storage and discharge in dog models of acute pancreatitis. World J Gastroenterol 2007;13:1123-1128.
-
25.Mansfield CS, James FE, Steiner JM, et al. A pilot study to assess tolerability of early enteral nutrition via esophagostomy tube feeding in dogs with severe acute pancreatitis. J Vet Intern Med 2011;25:419-425.
-
26.Harris JP, Parnell NK, Saker KE. Evaluating the impact of early-targeted nutrition on clinical outcomes for dogs with severe acute pancreatitis. J Anim Physiol Anim Nutr (Berl) 2014;98:1189.
-
27.Villaverde C. Nutritional management of exocrine pancreatic diseases. In: Fascetti AJ, Delaney SJ, eds. Applied Veterinary Clinical Nutrition. West Sussex, UK: Wiley-Blackwell, 2012;221-233.
-
28.Larsen JA. Enteral nutrition and tube feeding. In: Fascetti AJ, Delaney SJ, eds. Applied Veterinary Clinical Nutrition. West Sussex, UK: Wiley-Blackwell, 2012;329-352.
-
29.Xenoulis PG, Steiner JM. Lipid metabolism and hyperlipidemia in dogs. Vet J 2010;183:12-21.
«Панкреатит у собак»!
баллы
были начислены ранее