Введение
Аденит сальных желез у собак — специфическое кожное заболевание, в патогенезе которого основную роль играет воспаление сальных желез, приводящее к их разрушению (1). С ним сталкиваются практикующие ветеринарные врачи всего мира, и для оптимального лечения крайне важно, чтобы у них сложилось комплексное представление об этом заболевании. В статье представлен подробный обзор аденита сальных желез: его клинические особенности, диагностика, доступные методы лечения, прогноз, — чтобы помочь ветеринарным врачам в лечении этого сложного клинического состояния.
Этиология
Термином «аденит сальных желез» называют воспаление и последующее разрушение сальных желез; эти железы вырабатывают кожное сало — маслянистое вещество, поддерживающее кожу и шерсть в здоровом состоянии (1, 2). Этиология аденита сальных желез у собак точно не определена, и ее считают многофакторной. Значительную роль в развитии этого клинического состояния отводят наследственной предрасположенности (1). У некоторых пород, таких как акита и пудели, предполагают аутосомно-рецессивное наследование и изучают предрасполагающие генетические маркеры и мутации (3–5).
Помимо генетических факторов, одной из основных причин заболевания считают дисфункцию иммунной системы (1). Клеточно-опосредованный иммунологический ответ вызывает разрушение ткани желез. Иммуногистологически в патологических образцах выявляют дендритные антиген-представляющие клетки и Т-клетки, расположенные преимущественно в средней части фолликула и с распространением в проток сальной железы (6). Это убедительно свидетельствует об иммуноопосредованном патогенезе аденита; дополнительным подтверждением этой теории служит часто отмечаемый при лечении циклоспорином положительный ответ.
На этиологию также могут влиять нарушения липидного обмена, патологическое накопление липидов, аномалии кератинизации, которые могут привести к закупорке сальных протоков и вызываемому утечкой липидов воспалению (1). Ряд внешних факторов, включая стрессовые события, такие как болезнь, общая анестезия, хирургическое вмешательство, воздействие высокой температуры, могут спровоцировать или усугубить это состояние (1, 3). Кроме того, воздействие солнечного света (фотоаггравация) может еще сильнее ухудшить его течение (1). Чтобы диагностировать и лечить аденит сальных желез, важно знать об этих потенциальных этиологических факторах.
Группа риска
Аденит сальных желез у собак — редкое и многофакторное дерматологическое заболевание, чаще всего поражающее такие породы, как стандартный пудель, акита, самоед, гаванский бишон, венгерская короткошерстная выжла, хотя может встречаться и у собак смешанных пород (1, 7). Заболевание, как правило, проявляется у собак молодого и среднего возраста, но может развиться в любом возрасте. Предрасположенности по половому признаку не отмечено (1, 7).
Клинические проявления
Клинические проявления аденита сальных желез и их тяжесть могут значительно различаться как между отдельными животными, так и между породами (8). У короткошерстных пород, таких как венгерская короткошерстная выжла, цвергпинчер и такса, на коже вначале обычно появляются кольцевидные образования с выпадением шерсти и эритемой. Они часто покрыты мелкими белыми и неплотно прикрепленными чешуйками (Рисунок 1). Со временем они могут увеличиваться по периферии, приобретая полициклический вид или сливаясь с образованием более крупных участков поражения (Рисунок 2) (1, 6).
Поражения кожи при адените сальных желез часто симметричные и обычно появляются на определенных участках тела. Чаще всего это ушные раковины (Рисунок 3), морда (Рисунок 4), голова, спина (1, 9). В более тяжелых случаях может наблюдаться воспаление наружного уха (наружный отит), также описаны язвенные поражения ушных раковин (10). Кроме того, недавно у собаки с аденитом сальных желез были описаны блефарит и дисфункция мейбомиевых желез (11).
Для аденита сальных желез характерны фолликулярные слепки различной степени выраженности. Слепки представляют собой группы слипшихся волос с общей оболочкой из остатков кератина (Рисунки 5 и 6). Эти остатки не отделяются от волоса над устьем фолликула. В целом эта особенность малоспецифична, но облегчает диагностику аденита (3, 12).
Возможен зуд различной степени выраженности, но обычно его считают малозначимым для диагностики, если только не развилась вторичная пиодермия (2, 7). Тем не менее автор наблюдал случаи аденита сальных желез у собак с зудом даже при отсутствии вторичной пиодермии. Более того, при анализе данных 24 собак с аденитом сальных желез у 19 был отмечен зуд, но только у восьми — поверхностная пиодермия (13).
Проявления аденита сальных желез у собак длинношерстных пород (например, акита, пудель, самоед) схожи с таковыми у короткошерстных. Однако у длинношерстных собак из‑за нарушения выработки кожного сала шерсть может сильно спутываться и слипаться. Эти симптомы у них выражены сильнее, чем у короткошерстных пород, и обычно наблюдаются в области головы, ушных раковин, шеи, спины и хвоста. Волосы часто выпадают, иногда с развитием эритемы, и образуются очаги заметного облысения, особенно на спине, хвосте и шее (Рисунки 7, 8 и 9) (7, 12).
У длинношерстных пород также могут наблюдаться изменения окраса и текстуры шерсти, от вьющейся к волнистой или прямой. Эти изменения могут привести к повреждению, тусклости и ломкости волос. Накопление в этих областях кожи омертвевших клеток и спутанной шерсти может формировать благоприятную среду для вторичных бактериальных кожных инфекций, вызывающих дискомфорт и зуд (1, 7).
Диагностика
При диагностике аденита сальных желез крайне важно дифференцировать его от других кожных заболеваний со сходными клиническими проявлениями. В круг дифференциальных диагнозов включают атопический дерматит, лейшманиоз (в эндемичных районах) и инфекционные заболевания, такие как дерматофития, демодекоз и бактериальный фолликулит. Следует также учитывать иммуноопосредованные кожные заболевания, такие как листовидная пузырчатка и кожная форма красной системной волчанки. Кроме того, аденит сальных желез также могут имитировать гормональный дисбаланс, дефицит питательных веществ (например, цинка или жирных кислот) и нарушения питания (такие как цинк-зависимый или витамин А-зависимый дерматозы) (1, 7).
Из-за такого множества потенциальных дифференциальных диагнозов и разнообразных клинических проявлений диагноз подтверждают комплексно. Начинают с тщательного клинического обследования для выявления характерных симптомов: кольцевидных поражений, выпадения волос, эритемы, фолликулярных слепков. Также при диагностике этого заболевания важно учитывать распределение и симметричность поражений кожи.
Чтобы обнаружить поражения волосяного стержня, проводят трихограмму, выщипав из пораженного участка несколько волос. При адените сальных желез эти волосы могут приобретать характерный восковой вид, а их корни — заполняться кератином (фолликулярные слепки). Кроме того, в сочетании с соскобом кожи это позволяет исключить инфицирование фолликулов паразитами, такими как клещи Demodex.
Цитологическое исследование поражений кожи позволяет выявить любые вторичные инфекции или появление клеток воспаления на пораженных участках. Эта информация может помочь в оценке тяжести состояния и в составлении плана лечения. В некоторых случаях исключить заболевания, имитирующие симптомы аденита сальных желез, можно по данным анализов крови (например, тестирования на лейшманиоз в эндемичных районах, выявления гормональных нарушений).
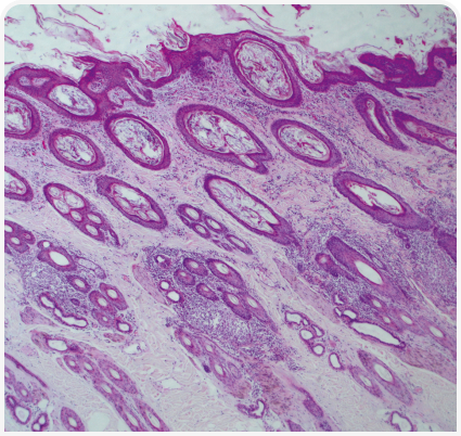
Для окончательного подтверждения диагноза часто рекомендуют проводить биопсию кожи. Гистопатологические признаки аденита сальных желез весьма разнообразны, но обычно к ним относят диффузное исчезновение сальных желез и перифолликулярное гранулематозное или пиогранулематозное воспаление их выводных протоков. Также кожный инфильтрат в области сальной железы может содержать лимфоциты, тучные клетки, плазматические клетки, эозинофилы. Дополнительно выявляют ортокератотический гиперкератоз, кератоз фолликулов и акантоз (Рисунок 10) (2, 14, 15).
Аденит сальных желез может быть идиопатическим либо развиваться как вторичное заболевание на фоне других воспалительных болезней кожи, таких как лейшманиоз, который в эндемичных районах включают в круг дифференциальной диагностики. Гистологически и лейшманиоз, и идиопатический аденит сальных желез могут проявляться гранулематозным или пиогранулематозным воспалением сальных желез; однако в недавнем отчете было отмечено, что эти два клинических состояния можно дифференцировать гистопатологически (14). Согласно исследованию, аденит сальных желез при лейшманиозе гистологически характеризовался узловатой или диффузной инфильтрацией кожи, эпидермальными и субэпидермальными поражениями, отсутствием выраженного гиперкератоза и кератоза фолликулов, тогда как при идиопатическом адените сальных желез воспаление обычно ограничивалось сальными железами и имелись гиперкератоз и кератоз фолликулов.
Варианты лечения
Аденит сальных желез требует комплексного лечения; основные задачи терапии — уменьшить накопление избыточных чешуек, улучшить качество шерсти, снизить степень воспаления и повреждения сальных желез. Такой многогранный подход позволяет улучшить общее состояние и внешний вид собаки. Лечение проводят как системно, так и местно, выбирая методы в зависимости от тяжести состояния и индивидуальных особенностей пациента. Важно отметить, что единого подхода для всех случаев не существует, и для достижения наилучших результатов часто требуется регулярно наблюдать пациента и корректировать первоначальный план лечения.
Для лечения аденита сальных желез широко применяют иммуносупрессант циклоспорин. Он играет решающую роль в модулировании патологического иммунного ответа, запускающего развитие этого клинического состояния, и также может индуцировать гипертрихоз, потенциально уменьшая у пораженных собак закупорку воронки волосяной луковицы ороговевшим материалом. Показано, что циклоспорин в дозе 5 мг/кг/сут (16) уменьшает воспаление при адените сальных желез, и в большинстве случаев после купирования клинических проявлений дозу можно постепенно снижать. Однако крайне важно подчеркнуть, что для купирования этого клинического состояния требуется длительное лечение (16).
Сочетание местной терапии с циклоспорином может дать синергетический эффект, уменьшая шелушение, алопецию и воспаление сальных желез (17). Кроме того, по сравнению с только местным лечением циклоспорин может улучшить регенерацию ткани желез (17).
В некоторых случаях эффективны незаменимые жирные кислоты (НЖК) системно или местно (18). Поскольку побочные эффекты НЖК обычно легкие, лечение часто начинают с этих препаратов либо их сочетания с иммуносупрессивной терапией.
Описано лечение аденита сальных желез витамином А (ретинолом) и производными витамина А — синтетическими ретиноидами, хотя и с разной степенью эффективности (13, 19). Эти соединения, помимо противовоспалительных свойств, играют ключевую роль в регуляции пролиферации и дифференцировки кератиноцитов, тем самым нормализуя процесс кератинизации и укрепляя здоровье кожи (20). Практикующие ветеринарные врачи применяют ретиноиды редко, поскольку они малодоступны и вызывают нежелательные побочные эффекты, включая сухой кератоконъюнктивит, тератогенный эффект, желудочно-кишечные нарушения, гепатотоксичность. Для выявления любого из этих побочных эффектов необходимо тщательно контролировать состояние получавших лечение ретиноидами пациентов (20).
Имеются отдельные сообщения, что в некоторых случаях может быть эффективен прием внутрь комбинации тетрациклина и ниацинамида. Собакам весом менее 25 кг оба препарата обычно дают в дозе 250 мг каждые 8 часов, а более крупным — по 500 мг каждого препарата с аналогичным интервалом (7).
В дополнение к системной терапии для облегчения симптомов и улучшения здоровья кожи и шерсти можно использовать местное лечение. Местные методы особенно важны в легких случаях или в рамках комплексного плана терапии, в их число входят шампуни, увлажнители и масляные маски. Неотъемлемой частью лечения являются специализированные шампуни, содержащие серу и салициловую кислоту, которые используют 2–3 раза в неделю; обычно их наносят на кожу на 10 минут и затем смывают (1, 18). Шелушащуюся кожу можно удалять мягкой щеткой во время купания. После ополаскивания на шерсть собаки наносят кондиционер или распыляют 50–75%-ный раствор пропиленгликоля (9, 18). Эти спреи иногда наносят ежедневно, а затем для постоянного ухода сокращают частоту применения до 2–3 раз в неделю. Пропиленгликоль оказывает увлажняющее действие, удерживая влагу (9, 18). Кроме того, можно втирать в шерсть детское масло, чистое или разведенное водой в соотношении 1:1, и оставлять на 1–6 часов. После этого для удаления остатков масла собаку следует искупать с шампунем или жидкостью для мытья посуды (9).
Прогноз
Прогноз при адените сальных желез может различаться в зависимости от тяжести состояния, реакции на лечение, общего клинического состояния животного. В легких случаях, когда клинические симптомы относительно слабые и поддаются лечению, прогноз обычно более благоприятный.
При надлежащем лечении часто удается поддерживать комфортное качество жизни и заметно улучшить состояние кожи и шерсти собаки. Однако в более тяжелых и запущенных случаях прогноз может быть неблагоприятным. Хотя некоторые варианты лечения позволяют уменьшить выраженность симптомов и повысить качество жизни, важно понимать, что в целом аденит сальных желез — заболевание хроническое. Часто требуется длительное лечение, и даже в процессе лечения могут возникать рецидивы (6, 8). Поэтому ветеринарному врачу крайне важно разрабатывать план терапии в тесном сотрудничестве с владельцем. Обычно прогноз наиболее благоприятный при регулярном последующем наблюдении и корректировке схемы лечения, и заболевание, несмотря на хронический характер, при тщательном уходе и соответствующей терапии позволяет обеспечить животному удовлетворительное качество жизни.
Заключение
Аденит сальных желез у собак — многофакторное дерматологическое заболевание с разнообразными клиническими проявлениями. Его вызывают генетическая предрасположенность, дисфункция иммунной системы, внешние факторы. Диагностика должна быть комплексной, а лечение подбирают в диапазоне от системных иммуносупрессантов до местной терапии. Прогноз различный, часто требуется длительное лечение; решающее значение для оптимизации качества жизни животного имеет разработка индивидуального плана лечения.
Литература
-
1.Miller WH, Griffin CE, Campbell KL. Granulomatous sebaceous adenitis. In: Muller and Kirk’s Small Animal Dermatology, 7th ed. St. Louis, Missouri: Elsevier Mosby, 2013;695-699.
-
2.Gross TL, Ihrke PJ, Walder EJ, et al. Sebaceous Adenitis. In: Skin Diseases of the Dog and Cat. Clinical and Histopathologic Diagnosis, 2nd ed. Oxford: Blackwell, 2005;186-188.
-
3.Reichler IM, Hauser B, Schiller I, et al. Sebaceous adenitis in the Akita: clinical observations, histopathology and heredity. Vet. Dermatol. 2001;12:243-253.
-
4.Pedersen NC, Brucker L, Tessier NG, et al. The effect of genetic bottlenecks and inbreeding on the incidence of two major autoimmune diseases in Standard Poodles, Sebaceous adenitis and Addison’s disease. J. Canine Genetics Epidemiol. 2015;2:1-18.
-
5.Pedersen NC, Liu H, McLaughlin B, et al. Genetic characterization of healthy and sebaceous adenitis affected Standard Poodles from the United States and the United Kingdom. Tissue Antigens 2012;80(1):46-57.
-
6.Pye C. Canine sebaceous adenitis. Can. Vet. J. 2021;62(3):293-296.
-
7.Sousa CA. Sebaceous adenitis. Vet. Clin. North Am. Small Anim. Pract. 2006;36(1):243-249.
-
8.Tevell E, Bergvall K, Egenvall A. Sebaceous adenitis in Swedish dogs, a retrospective study in 104 cases. Acta Vet. Scand. 2008;50:11-19.
-
9.Simpson A, McKay L. Applied dermatology: sebaceous adenitis in dogs. Comp. Contin. Educ. Vet. 2012;34:E1-7.
-
10.Zur G, Botero-Anug AM. Severe ulcerative and granulomatous pinnal lesions with granulomatous sebaceous adenitis in unrelated vizslas. J. Am. Anim. Hosp. Assoc. 2011;47:455-460.
-
11.Sartori R, Peruccio C. A case of sebaceous adenitis and concurrent meibomian gland dysfunction in a dog. Vet. Sci. 2020;7:37-42.
-
12.Frazer MM, Schick AE, Lewis TP, et al. Sebaceous adenitis in Havanese dogs: a retrospective study of the clinical presentation and incidence. Vet. Dermatol. 2011;22:267-274.
-
13.Lam AT, Affolter VK, Outerbridge CA, et al. Oral vitamin A as an adjunct treatment for canine sebaceous adenitis. Vet. Dermatol. 2011;22:305-311.
-
14.Bardagí M, Fondevila D, Zanna G, et al. Histopathological differences between canine idiopathic sebaceous adenitis and canine leishmaniosis with sebaceous adenitis. Vet. Dermatol. 2010;21:159-165.
-
15.Bond R, Brooks H. Transverse sectioning for histological assessment of sebaceous glands in healthy dogs and canine sebaceous adenitis. J. Small Anim. Pract. 2013;54:299-303.
-
16.Linek M, Boss C, Haemmerling R, et al. Effects of cyclosporine A on clinical and histologic abnormalities in dogs with sebaceous adenitis. J. Am. Vet. Med. Assoc. 2005;226:59-64.
-
17.Lortz J, Favrot C, Mecklenburg L, et al. A multicentre placebo-controlled clinical trial on the efficacy of oral ciclosporin A in the treatment of canine idiopathic sebaceous adenitis in comparison with conventional topical treatment. Vet. Dermatol. 2010;21:593-601.
-
18.Rosser EJ. Therapy of sebaceous adenitis. In: Bonagura JD, Kirk RW, eds. Kirk’s Current Veterinary Therapy XIII. Philadelphia, PA: W.B. Saunders Co, 2000;572-573.
-
19.White SD, Rosychuk RA, Scott KV, et al. Sebaceous adenitis in dogs and results of treatment with isotretinoin and etretinate: 30 cases (1990-1994). J. Am. Vet. Med. Assoc. 1995;207:197-200.
-
20.Miller WH, Griffin CE, Campbell KL. Dermatologic therapy. In: Muller and Kirk’s Small Animal Dermatology, 7th ed. St. Louis, Missouri: Elsevier Mosby, 2013;139-141.
«Аденит сальных желез у собак»!
баллы
были начислены ранее