Гидроцефалия собак

26 февраля 2024 г.
Кол-во просмотров 1683
Время чтения 25 мин
Уильям Б. Томас
DVM, MS, дипл. ACVIM (неврология). Колледж ветеринарной медицины Университета Теннесси, Ноксвилл, США
Уильям Томас получил степень доктора ветеринарной медицины, магистра наук, и прошел резидентуру по неврологии и нейрохирургии в Университете Оберна. Сейчас является профессором неврологии и нейрохирургии в Университете Теннесси. Дипломант ACVIM по неврологии, соавтор двух руководств по неврологии, опубликовал более 
75 рецензируемых статей и глав книг.
Ключевые моменты
01
Педиатрическая гидроцефалия чаще всего поражает молодых собак мелких пород.
02
Диагноз ставится на основании изменения размера и формы черепа, неврологических признаков заболевания и нейровизуализации.
03
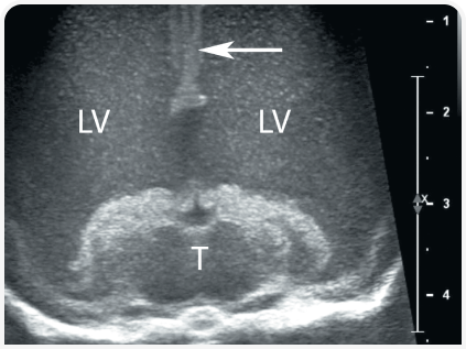
Практичным методом визуализации боковых желудочков является ультразвуковое исследование через открытый родничок.
04
Радикальная терапия заключается в проведении хирургической операции по вентрикулоперитонеальному шунтированию.
НЕФРОЛОГИЯ И УРОЛОГИЯ
Курс
Бесплатно
Почечный Компас: старт в ветеринарной нефроурологии
Образовательный центр Василёк
Ельцова Алёна Анатольевна
Ветеринарный врач анестезиолог-реаниматолог
Маркелова Яна Сергеевна
Ветеринарный врач-нефролог, специалист УЗД
Ковыршин Денис Александрович
Ветеринарный врач-рентгенолог, практикующий специалист
Гольша Наталья Сергеевна
Врач УЗД экспертного уровня
Брагина София Сергеевна
Ветеринарный врач-бактериолог. Руководитель бактериологического отдела независимой лаборатории «ПОИСК»
Есенина Дарья Андреевна
Ветеринарный врач-хирург, эндоскопист
Александрова Елизавета Вадимовна
Заведующая отделением банка крови VetCity Clinic. Врач интенсивной терапии
06 -
апреля
01
мая
10:00
По Москве
Образовательный центр Василёк
Ельцова Алёна Анатольевна
Ветеринарный врач анестезиолог-реаниматолог
Маркелова Яна Сергеевна
Ветеринарный врач-нефролог, специалист УЗД
Ковыршин Денис Александрович
Ветеринарный врач-рентгенолог, практикующий специалист
Гольша Наталья Сергеевна
Врач УЗД экспертного уровня
Брагина София Сергеевна
Ветеринарный врач-бактериолог. Руководитель бактериологического отдела независимой лаборатории «ПОИСК»
Есенина Дарья Андреевна
Ветеринарный врач-хирург, эндоскопист
Александрова Елизавета Вадимовна
Заведующая отделением банка крови VetCity Clinic. Врач интенсивной терапии
ОФТАЛЬМОЛОГИЯ
Мастер-Класс
Офлайн
Бесплатно
Офтальмология для практиков: от знаний к уверенным действиям
Vetcity Academy: образование, построенное на доверии, опыте и ценностях.
Миронович Артем Олегович
ведущий офтальмолог Vetcity, эксперт с международным бэкграундом (ESVO/ACVO).
16-30
апреля
10:00
По Москве
Vetcity Academy: образование, построенное на доверии, опыте и ценностях.
Миронович Артем Олегович
ведущий офтальмолог Vetcity, эксперт с международным бэкграундом (ESVO/ACVO).
НЕФРОЛОГИЯ И УРОЛОГИЯ
Курс
Офлайн
Бесплатно
Ветеринарная нефрология и урология. Первый модуль
Многопрофильный научно-образовательный центр “DuoCor”
Прокофьева Наталия Игоревна
Ветеринарный врач интернальной медицины со специализацией в области нефрологии и урологии
Сурикова Регина Юрьевна
Ветеринарный врач-терапевт, уролог, нефролог МВЦ «ДваСердца»
Глухина (Андреева) Екатерина
ветеринарный врач терапевт, нефролог, уролог ВК «ProVet»
Дарья Новикова
ветеринарный врач-терапевт, нефролог, уролог ВК Сотникова
20-24
апреля
10:00
По Москве
Многопрофильный научно-образовательный центр “DuoCor”
Прокофьева Наталия Игоревна
Ветеринарный врач интернальной медицины со специализацией в области нефрологии и урологии
Сурикова Регина Юрьевна
Ветеринарный врач-терапевт, уролог, нефролог МВЦ «ДваСердца»
Глухина (Андреева) Екатерина
ветеринарный врач терапевт, нефролог, уролог ВК «ProVet»
Дарья Новикова
ветеринарный врач-терапевт, нефролог, уролог ВК Сотникова
НЕОТЛОЖНАЯ МЕДИЦИНА
Мастер-Класс
Офлайн
Бесплатно
СЛР без ошибок: практика вместо паники
Образовательный центр Василёк
Заволжинская Вероника Александровна 
Руководитель отделения анестезиологии СВК «Астин», ветеринарный врач анестезиолог-реаниматолог, преподаватель курсов в Международной Ветеринарной академии и ОЦ КВС
25
апреля
10:00
По Москве
Образовательный центр Василёк
Заволжинская Вероника Александровна 
Руководитель отделения анестезиологии СВК «Астин», ветеринарный врач анестезиолог-реаниматолог, преподаватель курсов в Международной Ветеринарной академии и ОЦ КВС
ВИЗУАЛЬНАЯ ДИАГНОСТИКА
Мастер-Класс
Офлайн
Бесплатно
УЗИ труднодоступных структур
Образовательный центр Василёк
Гольша Наталья Сергеевна
Врач УЗД экспертного уровня
Галкина Анна Александровна
ветеринарный врач-гастроэнтеролог, репродуктолог, специалист УЗД
29
апреля
10:00
По Москве
Образовательный центр Василёк
Гольша Наталья Сергеевна
Врач УЗД экспертного уровня
Галкина Анна Александровна
ветеринарный врач-гастроэнтеролог, репродуктолог, специалист УЗД
АНЕСТЕЗИОЛОГИЯ
Курс
Офлайн
Бесплатно
Основы ветеринарной анестезиологии
Многопрофильный научно-образовательный центр “DuoCor”
Корольчук Михаил Витальевич
Ветеринарный врач-анестезиолог МВЦ "ДваСердца"
Мерзликина Екатерина Сергеевна
Ветеринарный врач-анестезиолог МВЦ «ДваСердца»
Рубанов Максим Вячеславович
Ветеринарный врач-анестезиолог МВЦ «ДваСердца»
Нагайка Маргарита
Ветеринарный врач-анестезиолог МВЦ «ДваСердца»
11-15
мая
10:00
По Москве
Многопрофильный научно-образовательный центр “DuoCor”
Корольчук Михаил Витальевич
Ветеринарный врач-анестезиолог МВЦ "ДваСердца"
Мерзликина Екатерина Сергеевна
Ветеринарный врач-анестезиолог МВЦ «ДваСердца»
Рубанов Максим Вячеславович
Ветеринарный врач-анестезиолог МВЦ «ДваСердца»
Нагайка Маргарита
Ветеринарный врач-анестезиолог МВЦ «ДваСердца»
ГАСТРОЭНТЕРОЛОГИЯ
Курс
Онлайн и офлайн
Бесплатно
Гастроэнтерология мелких домашних животных - программа дополнительной профессиональной переподготовки
Dr.Hug
Пожарская Дарья
Ветеринарный врач, дерматолог, эндокринолог
Кулешов Алексей Алексеевич
научный руководитель, гастроэнтеролог ветеринарных центров «Dr.Hug» и образовательного центра «Vet Brain».
Махкамова Шахноза
Ветеринарный врач-дерматолог, диетолог ветеринарных центров Dr.Hug
Имберт Габриела
Ветеринарный врач УЗД
Громова Алёна Львовна
Ветеринарный врач-реаниматолог МВЦ «ДваСердца»
Калашникова Ольга Владимировна
ветеринарный врач-гастроэнтеролог, токсиколог ВК Сотникова
Скоробогатова Маргарита
Ветеринарный врач-диетолог, дерматолог, врач поведенческой медицины СВК «Астин»
12 -
мая
12
ноября
10:00
По Москве
Dr.Hug
Пожарская Дарья
Ветеринарный врач, дерматолог, эндокринолог
Кулешов Алексей Алексеевич
научный руководитель, гастроэнтеролог ветеринарных центров «Dr.Hug» и образовательного центра «Vet Brain».
Махкамова Шахноза
Ветеринарный врач-дерматолог, диетолог ветеринарных центров Dr.Hug
Имберт Габриела
Ветеринарный врач УЗД
Громова Алёна Львовна
Ветеринарный врач-реаниматолог МВЦ «ДваСердца»
Калашникова Ольга Владимировна
ветеринарный врач-гастроэнтеролог, токсиколог ВК Сотникова
Скоробогатова Маргарита
Ветеринарный врач-диетолог, дерматолог, врач поведенческой медицины СВК «Астин»
НЕОТЛОЖНАЯ МЕДИЦИНА
Вебинар
Онлайн
Бесплатно
Шок (гиповолемический, кардиогенный, септический): диагностика и терапия
Типисова Вероника Олеговна
Врач интенсивной терапии и стационара, руководитель стационарного отделения, заместитель главного врача филиала «Крылатское» ветеринарной клиники 
«Белый Клык».
14
мая
11:00
По Москве
Типисова Вероника Олеговна
Врач интенсивной терапии и стационара, руководитель стационарного отделения, заместитель главного врача филиала «Крылатское» ветеринарной клиники 
«Белый Клык».
ГАСТРОЭНТЕРОЛОГИЯ
Мастер-Класс
Офлайн
Бесплатно
Гибкая эндоскопия ЖКТ
Образовательный центр Василёк
Заболотнов Олег Олегович
руководитель отделения хирургии, врач-эндоскопист Skolkovo Vet. 
Проводит операции на грудной и брюшной полостях, занимается эндохирургией 
и остаётся одним из немногих хирургов, делающих пластику ран разной сложности.
15-16
мая
10:00
По Москве
Образовательный центр Василёк
Заболотнов Олег Олегович
руководитель отделения хирургии, врач-эндоскопист Skolkovo Vet. 
Проводит операции на грудной и брюшной полостях, занимается эндохирургией 
и остаётся одним из немногих хирургов, делающих пластику ран разной сложности.
ХИРУРГИЯ
Мастер-Класс
Офлайн
Бесплатно
Мастер-класс «Комплексный подход к хирургическому лечению органов дыхания»
Образовательный центр Василёк
Заболотнов Олег Олегович
руководитель отделения хирургии, врач-эндоскопист Skolkovo Vet. 
Проводит операции на грудной и брюшной полостях, занимается эндохирургией 
и остаётся одним из немногих хирургов, делающих пластику ран разной сложности.
17-18
мая
10:00
По Москве
Образовательный центр Василёк
Заболотнов Олег Олегович
руководитель отделения хирургии, врач-эндоскопист Skolkovo Vet. 
Проводит операции на грудной и брюшной полостях, занимается эндохирургией 
и остаётся одним из немногих хирургов, делающих пластику ран разной сложности.
КАРДИОЛОГИЯ
Курс
Офлайн
Бесплатно
Ветеринарная кардиология 2 Модуль
Многопрофильный научно-образовательный центр “DuoCor”
Крашенинников Леонид Валерьевич
Ведущий кардиолог ЕВЦ, заведующий отделением кардиологии, лектор множества ветеринарных конференций, член РКВО
Иванова Екатерина Валентиновна
ветеринарный врач-кардиолог, руководитель направления «Ветеринарная медицина» ЧОУ ДПО «МНОЦ «ДуоКор», член экспертного совета КВО, врач-эксперт НВП
Каменева Анна Владимировна
ветеринарный врач-кардиолог, врач визуальной диагностики, зав. отделением кардиологии ВЦ «Зоостатус» г. Москва
Строгуш Полина Андреевна
ветеринарный врач-кардиолог МВЦ "ДваСердца"
Плахотина Елена Юрьевна
ветеринарный врач-кардиолог МВЦ "ДваСердца"
18-24
мая
10:00
По Москве
Многопрофильный научно-образовательный центр “DuoCor”
Крашенинников Леонид Валерьевич
Ведущий кардиолог ЕВЦ, заведующий отделением кардиологии, лектор множества ветеринарных конференций, член РКВО
Иванова Екатерина Валентиновна
ветеринарный врач-кардиолог, руководитель направления «Ветеринарная медицина» ЧОУ ДПО «МНОЦ «ДуоКор», член экспертного совета КВО, врач-эксперт НВП
Каменева Анна Владимировна
ветеринарный врач-кардиолог, врач визуальной диагностики, зав. отделением кардиологии ВЦ «Зоостатус» г. Москва
Строгуш Полина Андреевна
ветеринарный врач-кардиолог МВЦ "ДваСердца"
Плахотина Елена Юрьевна
ветеринарный врач-кардиолог МВЦ "ДваСердца"
НЕОТЛОЖНАЯ МЕДИЦИНА
Вебинар
Онлайн
Бесплатно
Инфузионная терапия 
(шоковая и плановая)
Типисова Вероника Олеговна
Врач интенсивной терапии и стационара, руководитель стационарного отделения, заместитель главного врача филиала «Крылатское» ветеринарной клиники 
«Белый Клык».
19
мая
11:00
По Москве
Типисова Вероника Олеговна
Врач интенсивной терапии и стационара, руководитель стационарного отделения, заместитель главного врача филиала «Крылатское» ветеринарной клиники 
«Белый Клык».
ОРТОПЕДИЯ
Курс
Офлайн
Бесплатно
Остеосинтез. Основной курс
Образовательный центр Василёк
Бекичеков Вадим Сергеевич:
Ветеринарный врач хирург-ортопед, травматолог, нейрохирург. Основатель ветеринарного центра «Vetmajor» Член АО VET (подразделение AO ASIF — международная ассоциация остеосинтеза) Член Европейского общества ветеринарной ортопедии и травматологии (ESVOT)
21-22
мая
10:00
По Москве
Образовательный центр Василёк
Бекичеков Вадим Сергеевич:
Ветеринарный врач хирург-ортопед, травматолог, нейрохирург. Основатель ветеринарного центра «Vetmajor» Член АО VET (подразделение AO ASIF — международная ассоциация остеосинтеза) Член Европейского общества ветеринарной ортопедии и травматологии (ESVOT)
ПСИХОЛОГИЧЕСКОЕ ЗДОРОВЬЕ
Вебинар
Онлайн
Бесплатно
Как принимать критику от старших коллег без потери самооценки
Широковских Елена
Клинический и перинатальный психолог, Специалист Эмоционально-образной терапии, Автор методик в области психологии, колоды метафорических карт 
и трансформационной игры.
26
мая
11:00
По Москве
Широковских Елена
Клинический и перинатальный психолог, Специалист Эмоционально-образной терапии, Автор методик в области психологии, колоды метафорических карт 
и трансформационной игры.
АНЕСТЕЗИОЛОГИЯ
Курс
Офлайн
Бесплатно
Анестезия в торакальной хирургии
Многопрофильный научно-образовательный центр “DuoCor”
Корольчук Михаил Витальевич
Ветеринарный врач-анестезиолог МВЦ "ДваСердца"
Нагайка Маргарита
Ветеринарный врач-анестезиолог МВЦ «ДваСердца»
27-28
мая
10:00
По Москве
Многопрофильный научно-образовательный центр “DuoCor”
Корольчук Михаил Витальевич
Ветеринарный врач-анестезиолог МВЦ "ДваСердца"
Нагайка Маргарита
Ветеринарный врач-анестезиолог МВЦ «ДваСердца»
ХИРУРГИЯ
Мастер-Класс
Офлайн
Бесплатно
Основы хирургического вмешательства на грудной полости
Образовательный центр Василёк
Заболотнов Олег Олегович
руководитель отделения хирургии, врач-эндоскопист Skolkovo Vet. 
Проводит операции на грудной и брюшной полостях, занимается эндохирургией 
и остаётся одним из немногих хирургов, делающих пластику ран разной сложности.
31
мая
10:00
По Москве
Образовательный центр Василёк
Заболотнов Олег Олегович
руководитель отделения хирургии, врач-эндоскопист Skolkovo Vet. 
Проводит операции на грудной и брюшной полостях, занимается эндохирургией 
и остаётся одним из немногих хирургов, делающих пластику ран разной сложности.
НЕОТЛОЖНАЯ МЕДИЦИНА
Курс
Офлайн
Бесплатно
Интенсивная терапия и реанимация собак и кошек. 1 Модуль
Многопрофильный научно-образовательный центр “DuoCor”
Малышева Дарья Владимировна
Ветеринарный врач анестезиолог/пульмонолог
Дегтерев Георгий Денисович
Ветеринарный врач визуальной диагностики МВЦ «ДваСердца»
Бойкова Валерия Ростиславовна
Ветеринарный врач клиники DuoCor
Громова Алёна Львовна
Ветеринарный врач-реаниматолог МВЦ «ДваСердца»
Корольчук Михаил Витальевич
Ветеринарный врач-анестезиолог МВЦ "ДваСердца"
Бондарь Тимофей Алексеевич
ветеринарный врач-реаниматолог МВЦ "ДваСердца"
Федорова Анна Руслановна
Ветеринарный врач-реаниматолог МВЦ "ДваСердца"
01-05
июня
10:00
По Москве
Многопрофильный научно-образовательный центр “DuoCor”
Малышева Дарья Владимировна
Ветеринарный врач анестезиолог/пульмонолог
Дегтерев Георгий Денисович
Ветеринарный врач визуальной диагностики МВЦ «ДваСердца»
Бойкова Валерия Ростиславовна
Ветеринарный врач клиники DuoCor
Громова Алёна Львовна
Ветеринарный врач-реаниматолог МВЦ «ДваСердца»
Корольчук Михаил Витальевич
Ветеринарный врач-анестезиолог МВЦ "ДваСердца"
Бондарь Тимофей Алексеевич
ветеринарный врач-реаниматолог МВЦ "ДваСердца"
Федорова Анна Руслановна
Ветеринарный врач-реаниматолог МВЦ "ДваСердца"
ХИРУРГИЯ
Курс
Офлайн
Бесплатно
Диагностическая эндоскопия
Многопрофильный научно-образовательный центр “DuoCor”
Новиков Константин Игоревич
Ведущий хирург, эндоскопист МВЦ "ДваСердца"
Всеволод Ермаков
Ведущий хирург, невролог, нейрохирург, заведующий отделением хирургии МВЦ «ДваСердца»
Гвоздикина Ксения Александровна
Ветеринарный врач — хирург МВЦ «Два Сердца». Специализация — эндоскопия, эндохирургия, общая хирургия. Стаж работы 10 лет. Окончила СПБГАВМ в 2015 году. Постоянный участник национальной ветеринарной конференции, конференций Санкт-Петербургского ветеринарного общества
08-11
июня
10:00
По Москве
Многопрофильный научно-образовательный центр “DuoCor”
Новиков Константин Игоревич
Ведущий хирург, эндоскопист МВЦ "ДваСердца"
Всеволод Ермаков
Ведущий хирург, невролог, нейрохирург, заведующий отделением хирургии МВЦ «ДваСердца»
Гвоздикина Ксения Александровна
Ветеринарный врач — хирург МВЦ «Два Сердца». Специализация — эндоскопия, эндохирургия, общая хирургия. Стаж работы 10 лет. Окончила СПБГАВМ в 2015 году. Постоянный участник национальной ветеринарной конференции, конференций Санкт-Петербургского ветеринарного общества
ОНКОЛОГИЯ
Курс
Офлайн
Бесплатно
Основы ветеринарной онкологии
Многопрофильный научно-образовательный центр “DuoCor”
Соколова Анастасия Львовна
Ветеринарный врач-хирург, ведущий онколог МВЦ «ДваСердца»
Мамбетшаев Ходжамет Сиранович
ветеринарный врач-терапевт, онколог МВЦ «ДваСердца»
Брюшковский Константин Юрьевич
к.в.н., хирург, онколог, член ИРСО и EVONC, ВК «ЛайфВет»
17-21
июня
10:00
По Москве
Многопрофильный научно-образовательный центр “DuoCor”
Соколова Анастасия Львовна
Ветеринарный врач-хирург, ведущий онколог МВЦ «ДваСердца»
Мамбетшаев Ходжамет Сиранович
ветеринарный врач-терапевт, онколог МВЦ «ДваСердца»
Брюшковский Константин Юрьевич
к.в.н., хирург, онколог, член ИРСО и EVONC, ВК «ЛайфВет»
ХИРУРГИЯ
Курс
Офлайн
Бесплатно
Реконструктивная хирургия. 1 Модуль
Многопрофильный научно-образовательный центр “DuoCor”
Лаврова Ксения Андреевна
Ветеринарный врач, хирург, руководитель хирургического отделения в центре ветеринарной онкологии и интенсивной терапии «Zoomama»
Хомутинник Екатерина Игоревна
Кандидат ветеринарных наук, ветеринарный врач-хирург, эндоскопист МВЦ «ДваСердца»
22-25
июня
10:00
По Москве
Многопрофильный научно-образовательный центр “DuoCor”
Лаврова Ксения Андреевна
Ветеринарный врач, хирург, руководитель хирургического отделения в центре ветеринарной онкологии и интенсивной терапии «Zoomama»
Хомутинник Екатерина Игоревна
Кандидат ветеринарных наук, ветеринарный врач-хирург, эндоскопист МВЦ «ДваСердца»
ДЕРМАТОЛОГИЯ
Семинар
Онлайн и офлайн
Бесплатно
Пациент нефролога, дерматолога и эндокринолога
Dr.Hug
Крутицкая Надежда Сергеевна
Ветеринарный врач ВК Ковчег по специализации нефролог - уролог, президент Ассоциации ветеринарных врачей «НефроУроВет»
Романовская Лилия Викторовна
ветеринарный врач-дерматолог, эндокринолог, терапевт
22
июня
11:00
По Москве
Dr.Hug
Крутицкая Надежда Сергеевна
Ветеринарный врач ВК Ковчег по специализации нефролог - уролог, президент Ассоциации ветеринарных врачей «НефроУроВет»
Романовская Лилия Викторовна
ветеринарный врач-дерматолог, эндокринолог, терапевт
ТЕРАПИЯ
Курс
Онлайн
Бесплатно
Заболевания легких у собак и кошек
Многопрофильный научно-образовательный центр “DuoCor”
Малышева Дарья Владимировна
Ветеринарный врач анестезиолог/пульмонолог
Богданова Наталия Валерьевна
Главный врач филиала, руководитель терапевтического отделения, пульмонолог сети ветеринарных центров Котонай, СПб. Регулярный докладчик ММВК, NVC. Преподаватель курсов повышения квалификации по пульмонологии, авторских курсов и мастер-классов, автор телеграмм-канала Respiratorium
Нечепуренко Ксения Александровна
Ветеринарный врач визуальной диагностики МВЦ «ДваСердца»
Бойкова Валерия Ростиславовна
Ветеринарный врач клиники DuoCor
Новиков Константин Игоревич
Ведущий хирург, эндоскопист МВЦ "ДваСердца"
Громова Алёна Львовна
Ветеринарный врач-реаниматолог МВЦ «ДваСердца»
Кривчикова Анастасия Алексеевна
Ветеринарный врач-терапевт, пульмонолог, заведующая отделением терапии МВЦ «ДваСердца»
Многопрофильный научно-образовательный центр “DuoCor”
Малышева Дарья Владимировна
Ветеринарный врач анестезиолог/пульмонолог
Богданова Наталия Валерьевна
Главный врач филиала, руководитель терапевтического отделения, пульмонолог сети ветеринарных центров Котонай, СПб. Регулярный докладчик ММВК, NVC. Преподаватель курсов повышения квалификации по пульмонологии, авторских курсов и мастер-классов, автор телеграмм-канала Respiratorium
Нечепуренко Ксения Александровна
Ветеринарный врач визуальной диагностики МВЦ «ДваСердца»
Бойкова Валерия Ростиславовна
Ветеринарный врач клиники DuoCor
Новиков Константин Игоревич
Ведущий хирург, эндоскопист МВЦ "ДваСердца"
Громова Алёна Львовна
Ветеринарный врач-реаниматолог МВЦ «ДваСердца»
Кривчикова Анастасия Алексеевна
Ветеринарный врач-терапевт, пульмонолог, заведующая отделением терапии МВЦ «ДваСердца»
ВИЗУАЛЬНАЯ ДИАГНОСТИКА
Курс
Онлайн
Бесплатно
Интерпретация МРТ
Многопрофильный научно-образовательный центр “DuoCor”
Карпенко Маруся Михайловна
Ветеринарный врач-невролог, врач МРТ диагностики МВЦ "ДваСердца"
Керножицкая Анна Александровна
Ветеринарный врач МРТ, клиника "Доктор Вет", г. Минск
Многопрофильный научно-образовательный центр “DuoCor”
Карпенко Маруся Михайловна
Ветеринарный врач-невролог, врач МРТ диагностики МВЦ "ДваСердца"
Керножицкая Анна Александровна
Ветеринарный врач МРТ, клиника "Доктор Вет", г. Минск
ВИЗУАЛЬНАЯ ДИАГНОСТИКА
Курс
Онлайн
Бесплатно
Холтеровское мониторирование
Многопрофильный научно-образовательный центр “DuoCor”
Иванова Екатерина Валентиновна
ветеринарный врач-кардиолог, руководитель направления «Ветеринарная медицина» ЧОУ ДПО «МНОЦ «ДуоКор», член экспертного совета КВО, врач-эксперт НВП
Каменева Анна Владимировна
ветеринарный врач-кардиолог, врач визуальной диагностики, зав. отделением кардиологии ВЦ «Зоостатус» г. Москва
Трунов Артём Альбертович
к.в.н., ветеринарный врач-кардиолог ВК доктора Сотникова
Многопрофильный научно-образовательный центр “DuoCor”
Иванова Екатерина Валентиновна
ветеринарный врач-кардиолог, руководитель направления «Ветеринарная медицина» ЧОУ ДПО «МНОЦ «ДуоКор», член экспертного совета КВО, врач-эксперт НВП
Каменева Анна Владимировна
ветеринарный врач-кардиолог, врач визуальной диагностики, зав. отделением кардиологии ВЦ «Зоостатус» г. Москва
Трунов Артём Альбертович
к.в.н., ветеринарный врач-кардиолог ВК доктора Сотникова
ВИЗУАЛЬНАЯ ДИАГНОСТИКА
Курс
Онлайн
Бесплатно
Интернальная медицина
Многопрофильный научно-образовательный центр “DuoCor”
Буравова Татьяна Вячеславовна
Ветеринарный врач-терапевт, эндокринолог МВЦ "ДваСердца"
Гишян Анастасия Аршаковна
Микробиолог лаборатории «ДуоКор Лаб»
Мамбетшаев Ходжамет Сиранович
ветеринарный врач-терапевт, онколог МВЦ «ДваСердца»
Боброва Екатерина Юрьевна
Ветеринарный врач-терапевт, эндокринолог, гематолог МВЦ "Два Сердца"
Многопрофильный научно-образовательный центр “DuoCor”
Буравова Татьяна Вячеславовна
Ветеринарный врач-терапевт, эндокринолог МВЦ "ДваСердца"
Гишян Анастасия Аршаковна
Микробиолог лаборатории «ДуоКор Лаб»
Мамбетшаев Ходжамет Сиранович
ветеринарный врач-терапевт, онколог МВЦ «ДваСердца»
Боброва Екатерина Юрьевна
Ветеринарный врач-терапевт, эндокринолог, гематолог МВЦ "Два Сердца"
НЕВРОЛОГИЯ
Курс
Онлайн
Бесплатно
Ветеринарная неврология
Многопрофильный научно-образовательный центр “DuoCor”
Сердюк Владислав Валентинович
Ведущий хирург, невролог, нейрохирург, заведующий отделением хирургии МВЦ «ДваСердца»
Карпенко Маруся Михайловна
Ветеринарный врач-невролог, врач МРТ диагностики МВЦ "ДваСердца"
Чистова Мария Кирилловна
Ветеринарный врач-невролог, врач МР-диагностики МВЦ "ДваСердца"
Думанская Анастасия Романовна
Ветеринарный врач-невролог ВК Сложного случая
Многопрофильный научно-образовательный центр “DuoCor”
Сердюк Владислав Валентинович
Ведущий хирург, невролог, нейрохирург, заведующий отделением хирургии МВЦ «ДваСердца»
Карпенко Маруся Михайловна
Ветеринарный врач-невролог, врач МРТ диагностики МВЦ "ДваСердца"
Чистова Мария Кирилловна
Ветеринарный врач-невролог, врач МР-диагностики МВЦ "ДваСердца"
Думанская Анастасия Романовна
Ветеринарный врач-невролог ВК Сложного случая
НЕОТЛОЖНАЯ МЕДИЦИНА
Курс
Онлайн
Бесплатно
Инфузионная терапия
Многопрофильный научно-образовательный центр “DuoCor”
Грачева Галина Юрьевна
Ветеринарный врач, преподаватель кафедры внутренних болезней животных СПбГУВМ, руководитель направления «Медицина» ЧОУ ДПО «МНОЦ «ДуоКор», основатель проекта «ICUvetSchool»
Корольчук Михаил Витальевич
Ветеринарный врач-анестезиолог МВЦ "ДваСердца"
Многопрофильный научно-образовательный центр “DuoCor”
Грачева Галина Юрьевна
Ветеринарный врач, преподаватель кафедры внутренних болезней животных СПбГУВМ, руководитель направления «Медицина» ЧОУ ДПО «МНОЦ «ДуоКор», основатель проекта «ICUvetSchool»
Корольчук Михаил Витальевич
Ветеринарный врач-анестезиолог МВЦ "ДваСердца"
ДИЕТОЛОГИЯ
Курс
Онлайн
Бесплатно
Диетология на каждый день
Dr.Hug
Махкамова Шахноза
Ветеринарный врач-дерматолог, диетолог ветеринарных центров Dr.Hug
Скоробогатова Маргарита
Ветеринарный врач-диетолог, дерматолог, врач поведенческой медицины СВК «Астин»
Dr.Hug
Махкамова Шахноза
Ветеринарный врач-дерматолог, диетолог ветеринарных центров Dr.Hug
Скоробогатова Маргарита
Ветеринарный врач-диетолог, дерматолог, врач поведенческой медицины СВК «Астин»
1 / 48
Литература
  1. 1.
    Rekate HL. A contemporary definition and classification of hydrocephalus. Semin Pediatr Neurol 2009;16:9-15.
  2. 2.
    Yamada H, Yokota A, Furuta A, et al. Reconstitution of shunted mantle in experimental hydrocephalus. J Neurosurg 1992;76:856-862.
  3. 3.
    Selby LA, Hayes HM, Jr, Becker SV. Epizootiologic features of canine hydrocephalus. Am J Vet Res 1979;40:411-413.
  4. 4.
    Simpson ST. Hydrocephalus. In: Kirk RW, Bonagura, JD. (eds.) Current Veterinary Therapy X Small Animal Practice. Philadelphia: WB Saunders; 1989;842-845.
  5. 5.
    Nykamp S, Scrivani P, DeLahunta A, et al. Chronic subdural hematomas and hydrocephalus in a dog. Vet Radiol Ultrasound 2001;42:511-514.
  6. 6.
    Laubner S, Ondreka N, Failing K, et al. Magnetic resonance imaging signs of high intraventricular pressure – comparison of findings in dogs with clinically relevant internal hydrocephalus and asymptomatic dogs with ventriculomegaly. BMC Vet Res 2015;11:181.
  7. 7.
    Naidich TP, Schott LH, Baron RL. Computed tomography in evaluation of hydrocephalus. Radiol Clin North Am 1982;20:143-167.
  8. 8.
    Javaheri S, Corbett WS, Simbartl LA, et al. Different effects of omeprazole and Sch 28080 on canine cerebrospinal fluid production. Brain Res 1997;754:321-324.
  9. 9.
    Girod M, Allerton F, Gommeren K, et al. Evaluation of the effect of oral omeprazole on canine cerebrospinal fluid production: a pilot study. Vet J 2016;209:119-124.
  10. 10.
    Iantosca MR, Drake JM. Cerebrospinal fluid shunts. In: Albright AL, Pollack IF, Adelson PD, (eds.) Operative Techniques in Pediatric Neurosurgery. New York: Thieme; 2001;3-14.
  11. 11.
    Cozzens JW, Chandler JP. Increased risk of distal ventriculoperitoneal shunt obstruction associated with slit valves or distal slits in the peritoneal catheter. J Neurosurg 1997;87:682-686.
  12. 12.
    Robinson S, Kaufman BA, Park TS. Outcome analysis of initial neonatal shunts: does the valve make a difference? Pediatr Neurosurg 2002;37:287-294.
  13. 13.
    Biel M, Kramer M, Forterre F, et al. Outcome of ventriculoperitoneal shunt implantation for treatment of congenital internal hydrocephalus in dogs and cats: 36 cases (2001-2009). J Am Vet Med Assoc 2013;242:948-958.
  14. 14.
    Shihab N, Davies E, Kenny PJ, et al. Treatment of hydrocephalus with ventriculoperitoneal shunting in twelve dogs. Vet Surg 2011;40:477-484.
  15. 15.
    de Stefani A, de Risio L, Platt SR, et al. Surgical technique, postoperative complications and outcome in 14 dogs treated for hydrocephalus by ventriculoperitoneal shunting. Vet Surg 2011;40:183-191.
  16. 16.
    Kitagawa M, Kanayama K, Sakai T. Subdural accumulation of fluid in a dog after the insertion of a ventriculoperitoneal shunt. Vet Rec 2005;156:206-208.
  17. 17.
    Sainte-Rose C, Piatt JH, Renier D, et al. Mechanical complications in shunts. Pediatr Neurosurg 1991;17:2-9.
Представленные материалы отражают позицию автора на момент публикации. Пожалуйста, учитывайте возможные изменения в научных данных. ВетАкадемия не несет ответственность за информацию о дозировках и методах применения. Достоверность этих сведений должна проверяться индивидуально по соответствующим источникам.
Понравился материал?
Зарегистрируйтесь и получите возможность сохранять статьи, скачивать дополнительные материалы, проходить тесты и квизы, а также получать баллы за изучение материалов
Зарегистрироваться